honeypot link
skip to main content
プロフェッショナル版
家庭版
Msd マニュアル
プロフェッショナル版
医学事典
リソース
コラム
診察・手技ビデオ
クイズ
MSDマニュアルについて
医学事典
リソース
<
画像
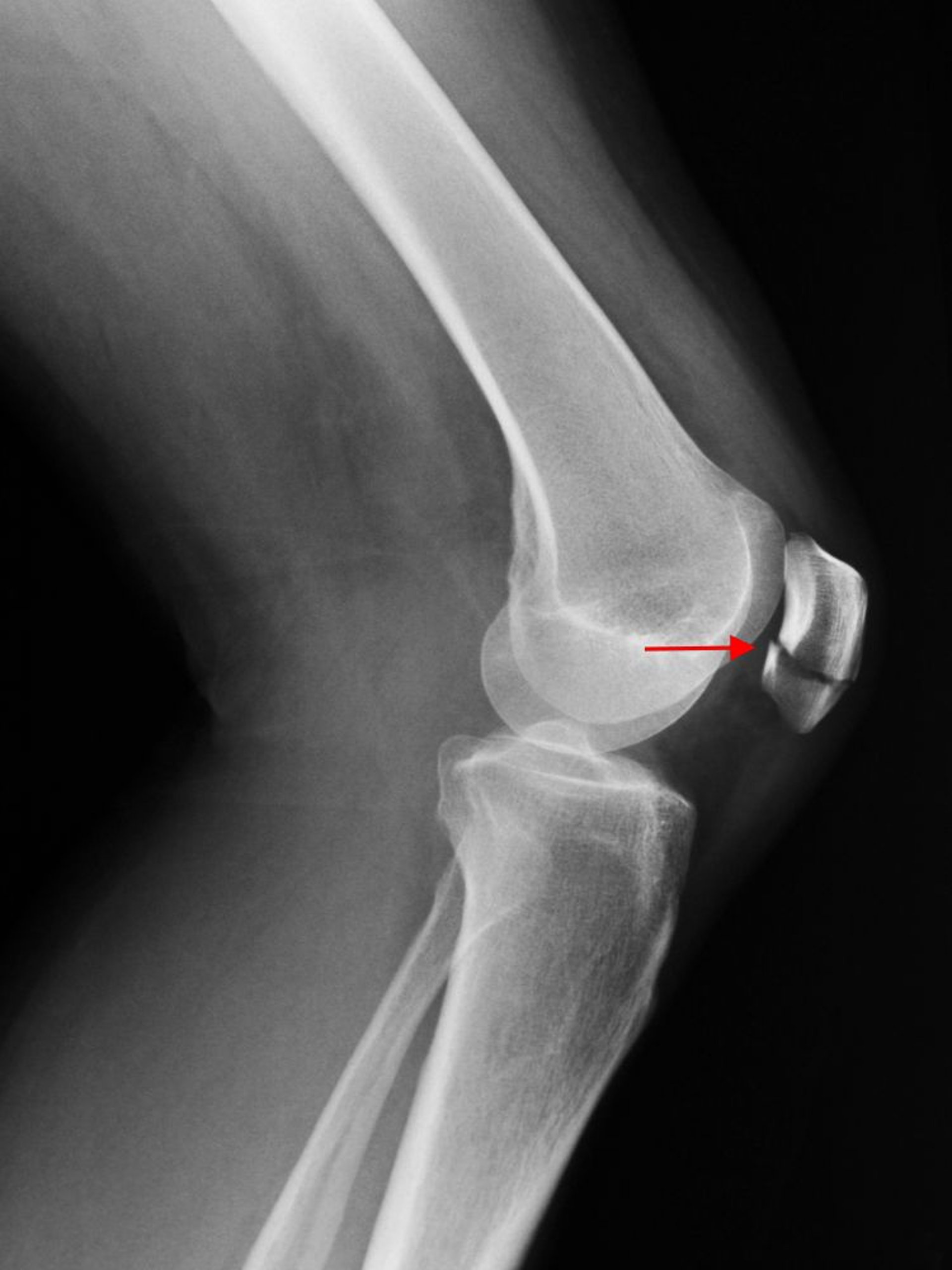
膝蓋骨骨折
膝関節のX線側面像で膝蓋骨の横骨折(矢印)が認められる。
SCOTT CAMAZINE/SCIENCE PHOTO LIBRARY
関連するトピック
膝伸展機構損傷
>