honeypot link
skip to main content
プロフェッショナル版
家庭版
Msd マニュアル
プロフェッショナル版
医学事典
リソース
コラム
診察・手技ビデオ
クイズ
MSDマニュアルについて
医学事典
リソース
<
画像
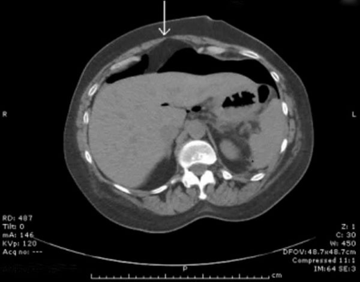
腹腔内遊離ガス像を示したCT画像
肝臓の前方に遊離ガスを認める。矢印は肝鎌状間膜を示している。
Image provided by Parswa Ansari, MD.
関連するトピック
消化管の急性穿孔
>
消化性潰瘍
>