腎臓の造影CT(皮髄相および腎実質相)
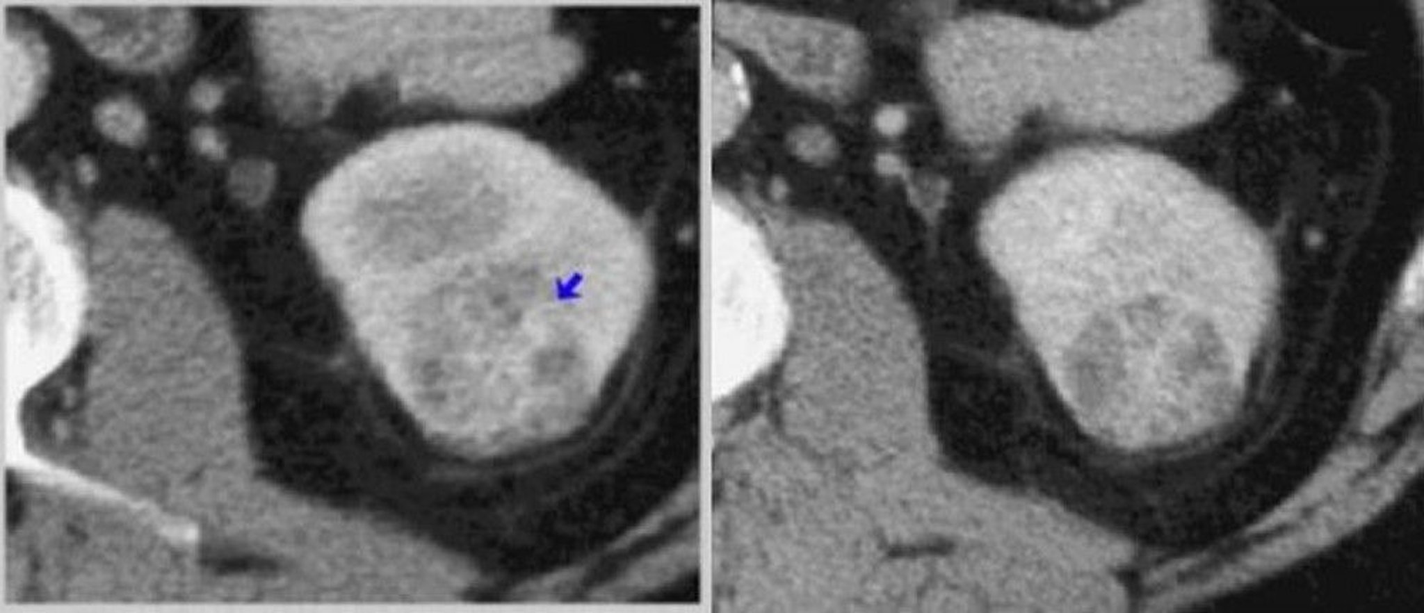
左の画像では,CT皮髄相の撮影により造影効果の不均一な腫瘍(矢印)が描出されている。右の画像では,CT腎実質相の撮影によって腫瘍がより精細に描出されている。
© Springer Science+Business Media
関連するトピック
左の画像では,CT皮髄相の撮影により造影効果の不均一な腫瘍(矢印)が描出されている。右の画像では,CT腎実質相の撮影によって腫瘍がより精細に描出されている。
© Springer Science+Business Media