honeypot link
skip to main content
プロフェッショナル版
家庭版
Msd マニュアル
プロフェッショナル版
医学事典
リソース
コラム
診察・手技ビデオ
クイズ
MSDマニュアルについて
医学事典
リソース
<
画像
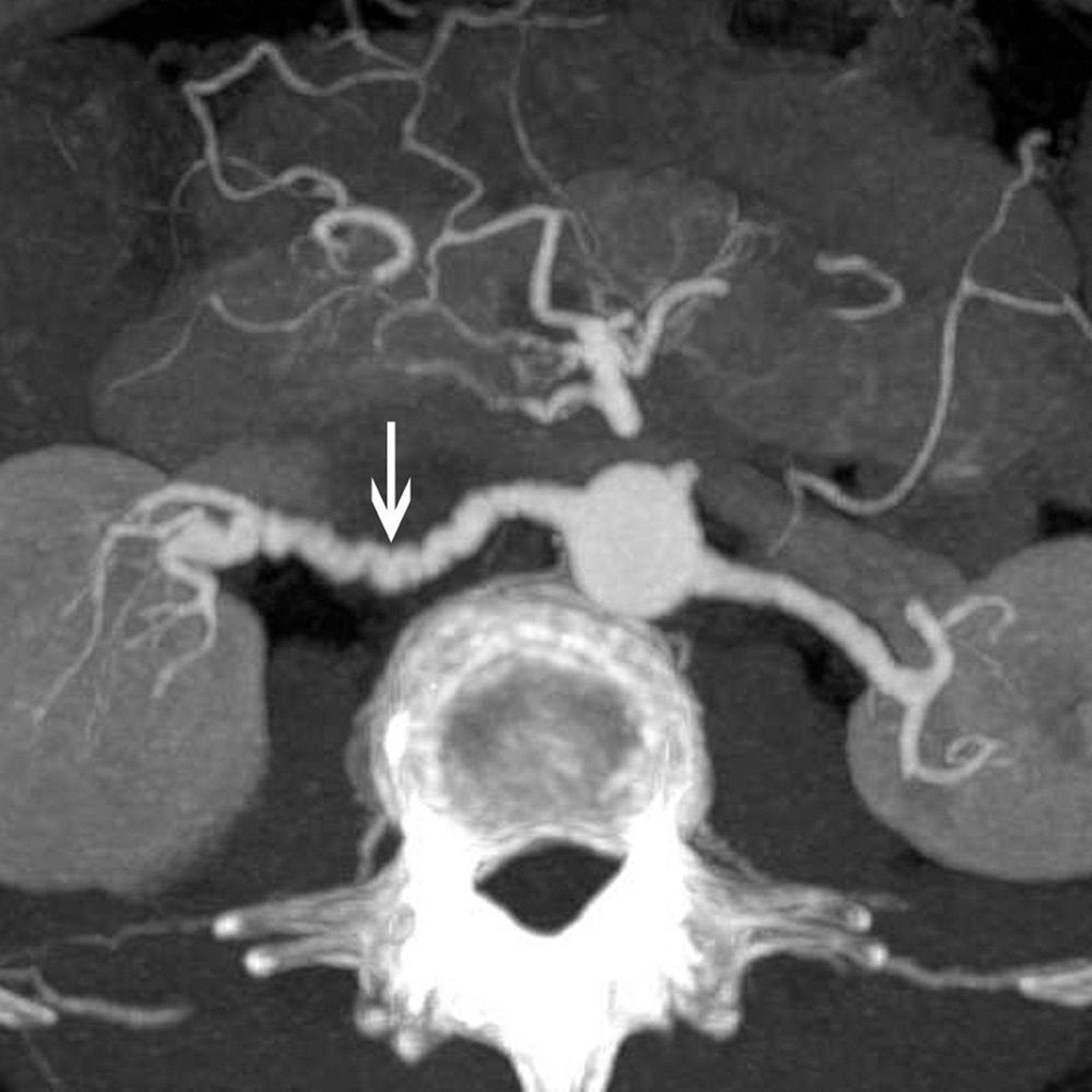
腎動脈の線維筋性異形成
この画像には,腎動脈に線維筋性異形成がある患者の古典的な「念珠状(string of beads)」所見(矢印)が認められる。
© 2017 Elliot K.Fishman, MD.
関連するトピック
線維筋性異形成
>