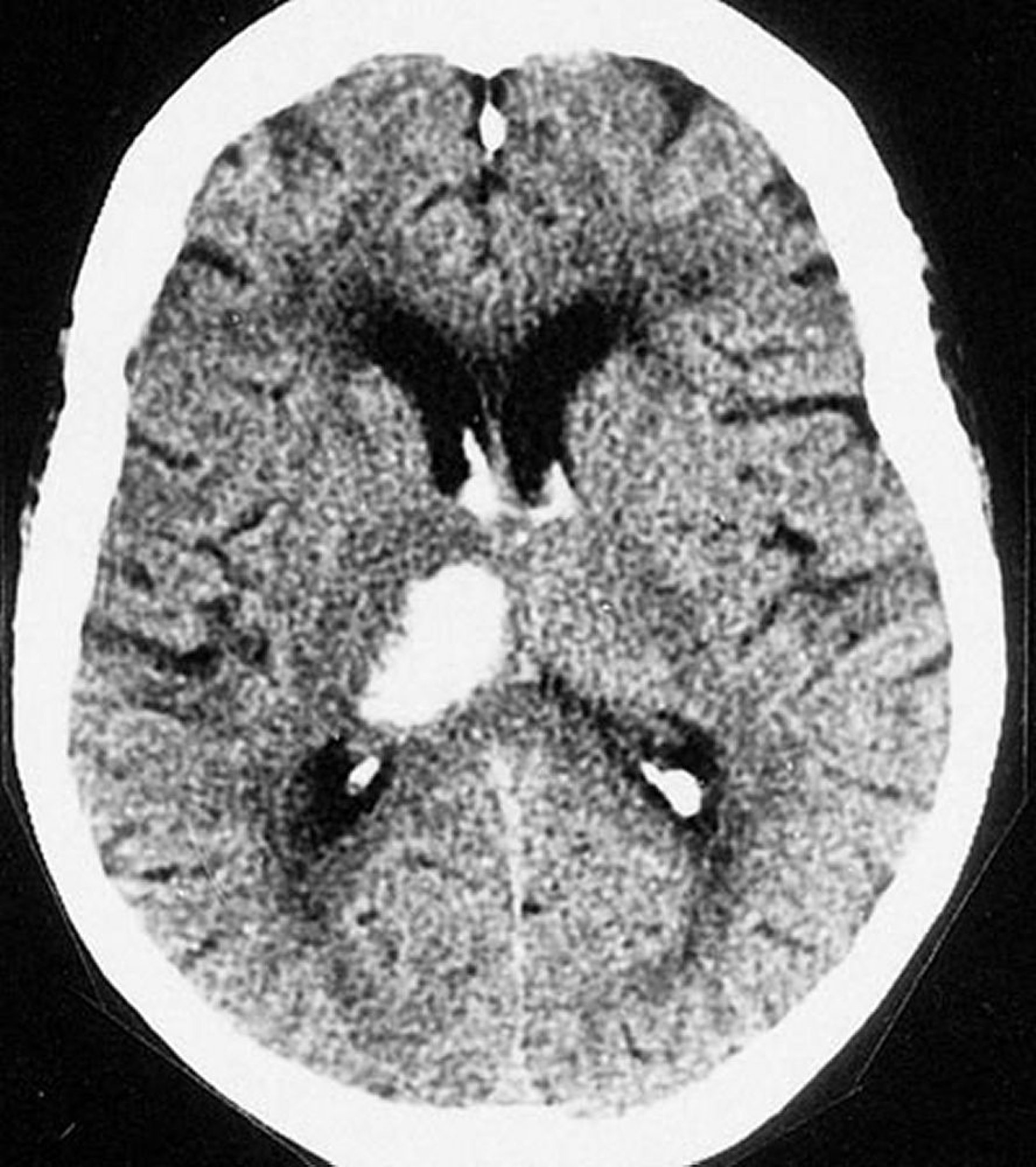
脳内出血(視床)
このCT画像では,視床に出血を認める。脳内出血は視床および基底核内に生じることが多い。
By permission of the publisher.From Furie K, et al.In Atlas of Clinical Neurology.Edited by RN Rosenberg.Philadelphia, Current Medicine, 2002.
関連するトピック
このCT画像では,視床に出血を認める。脳内出血は視床および基底核内に生じることが多い。
By permission of the publisher.From Furie K, et al.In Atlas of Clinical Neurology.Edited by RN Rosenberg.Philadelphia, Current Medicine, 2002.