脊索腫
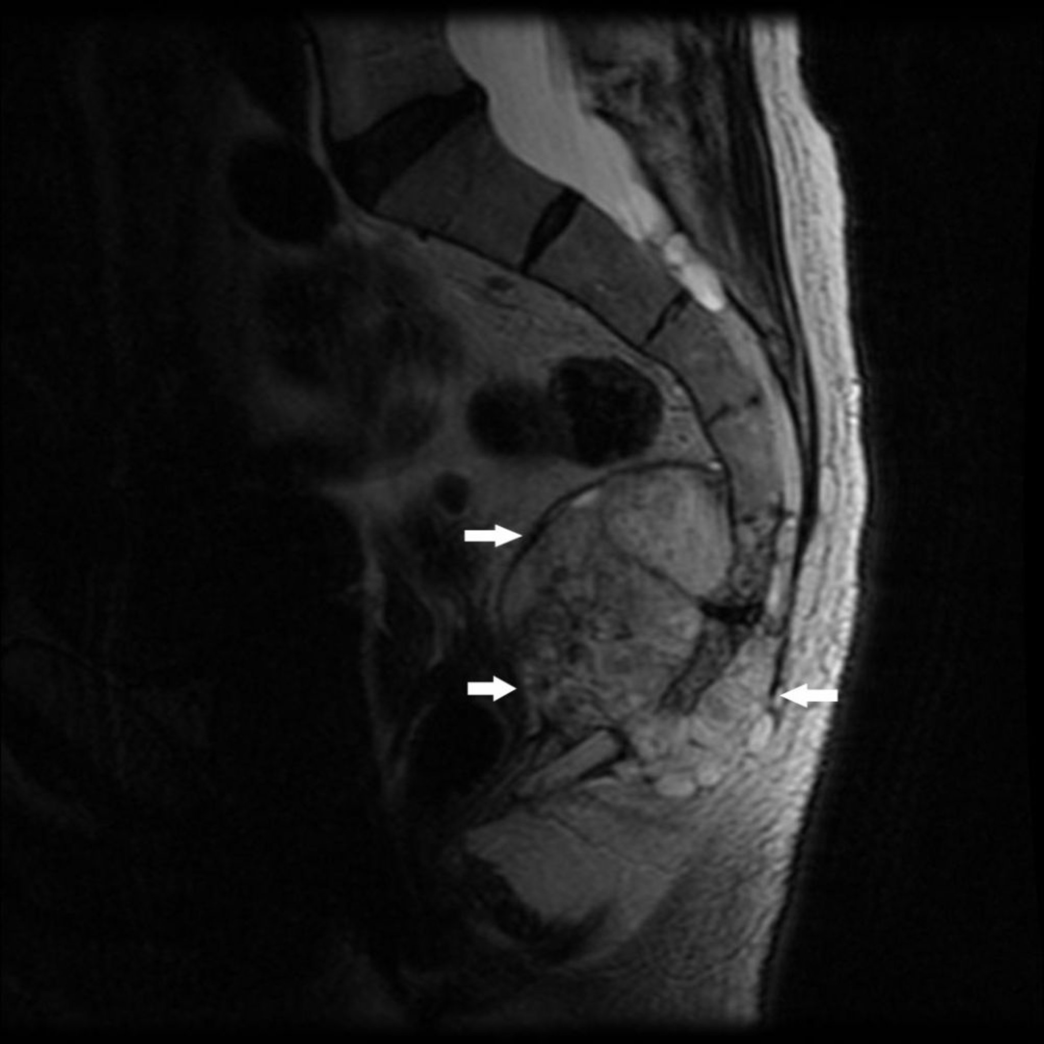
このMRI像では,脊椎末端および尾骨の付近に骨破壊および軟部組織腫瘤(矢印)を伴う腫瘍が認められ,これは脊索腫に典型的な所見である。
Image courtesy of Michael J.Joyce, MD, and Hakan Ilaslan, MD.
関連するトピック
このMRI像では,脊椎末端および尾骨の付近に骨破壊および軟部組織腫瘤(矢印)を伴う腫瘍が認められ,これは脊索腫に典型的な所見である。
Image courtesy of Michael J.Joyce, MD, and Hakan Ilaslan, MD.