胸部外側の超音波検査(右)
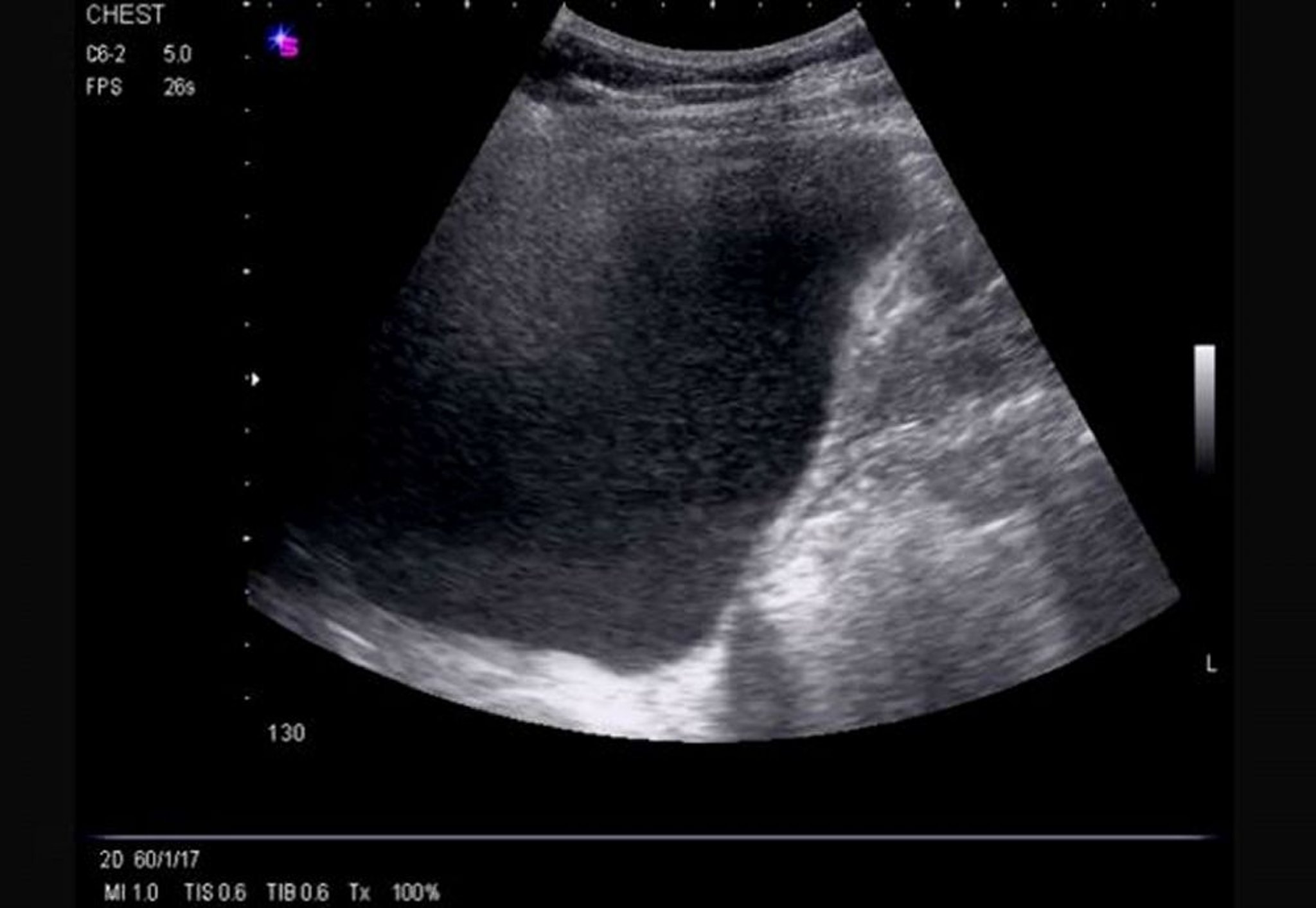
この超音波画像では,流動性のある大量の右側胸水により片側横隔膜の反転が生じており,胸水はエコー源性を示している。
Image courtesy of Najib M.Rahman, BMBCh MA (oxon) DPhil.
関連するトピック
この超音波画像では,流動性のある大量の右側胸水により片側横隔膜の反転が生じており,胸水はエコー源性を示している。
Image courtesy of Najib M.Rahman, BMBCh MA (oxon) DPhil.