肺ランゲルハンス細胞組織球症
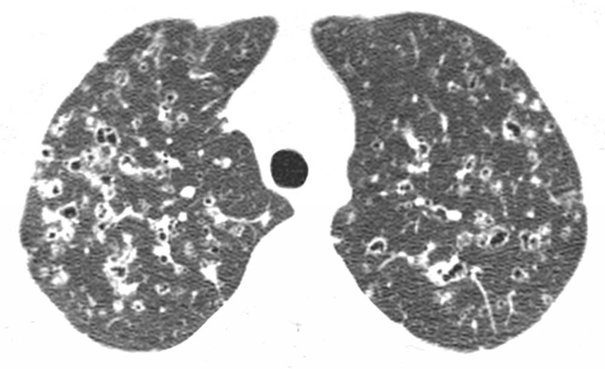
上葉の高分解能CT上で,通常は上葉および中葉領域に,結節および含気を伴う不規則な嚢胞がみられる。このような所見は喫煙歴のある患者におけるランゲルハンス細胞組織球症に特徴的である。
Image courtesy of Harold R.Collard, MD.
関連するトピック
上葉の高分解能CT上で,通常は上葉および中葉領域に,結節および含気を伴う不規則な嚢胞がみられる。このような所見は喫煙歴のある患者におけるランゲルハンス細胞組織球症に特徴的である。
Image courtesy of Harold R.Collard, MD.