honeypot link
skip to main content
プロフェッショナル版
家庭版
Msd マニュアル
プロフェッショナル版
医学事典
リソース
コラム
診察・手技ビデオ
クイズ
MSDマニュアルについて
医学事典
リソース
<
画像
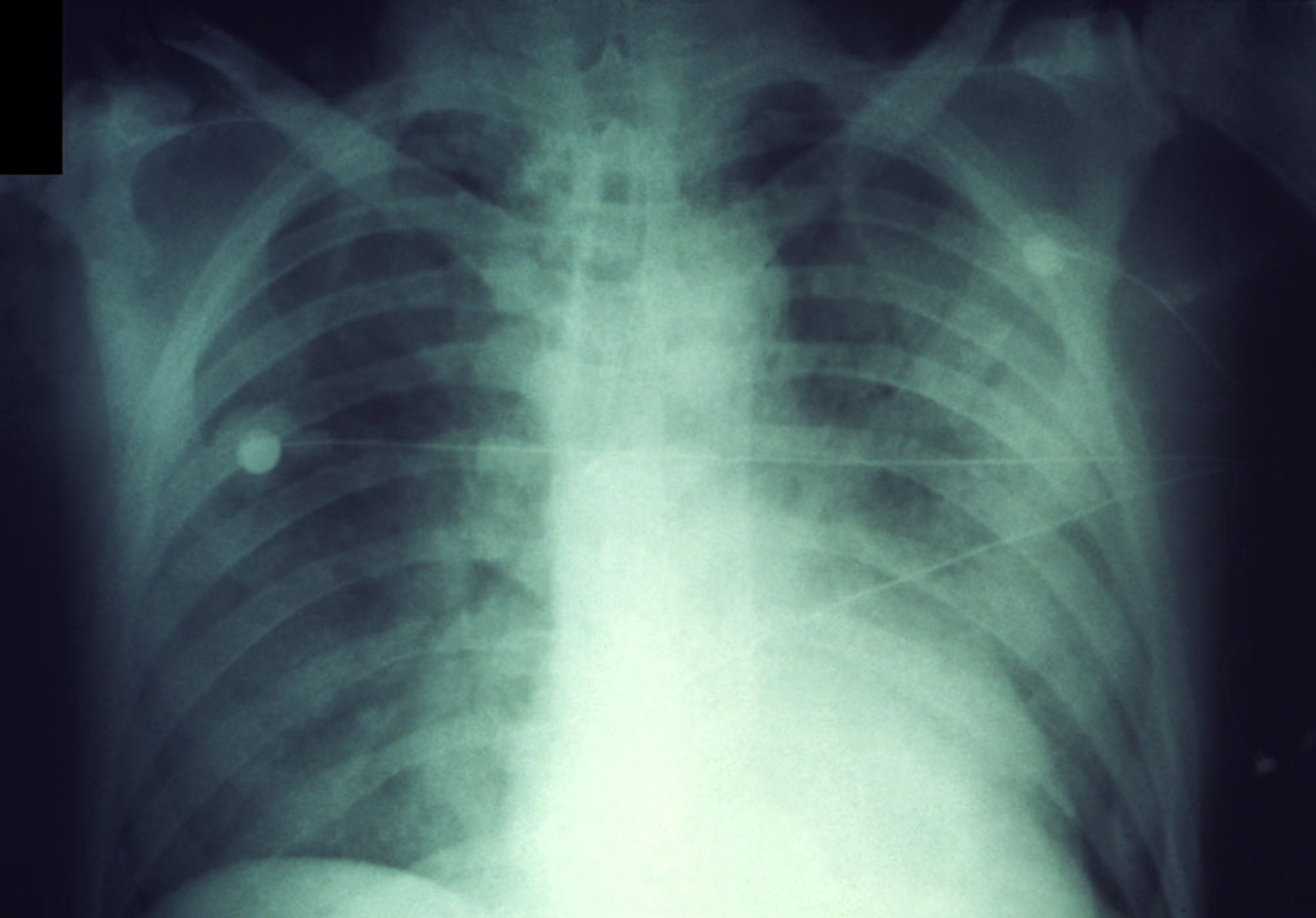
肺ペスト
この胸部X線写真には,肺ペストの急速に進行する浸潤影が写っている。
CDC/Dr. Jack Poland
関連するトピック
ペストおよび
Yersinia
属細菌によるその他の感染症
>