honeypot link
skip to main content
プロフェッショナル版
家庭版
Msd マニュアル
プロフェッショナル版
医学事典
リソース
コラム
診察・手技ビデオ
クイズ
MSDマニュアルについて
医学事典
リソース
<
画像
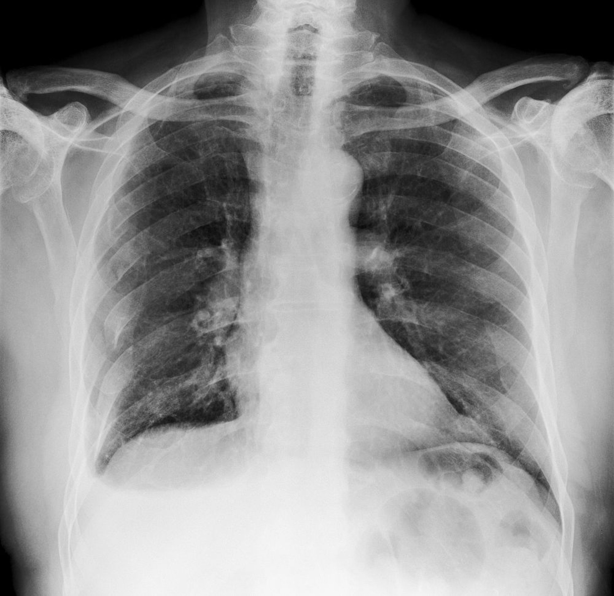
肋骨骨折
この胸部X線写真には,右肋骨に生じた多発骨折が写っている(写真では左側)。
SCIENCE PHOTO LIBRARY
関連するトピック
肋骨骨折
>