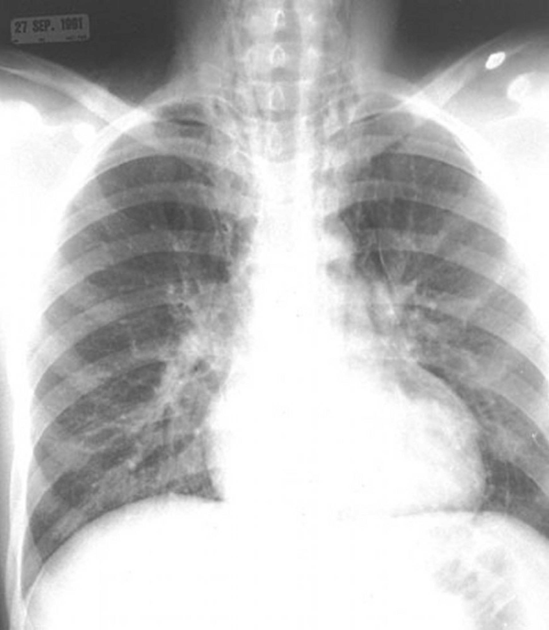
縦隔気腫
縦隔および頸部の軟部組織における空気に注目する。
By permission of the publisher.From Berman L.In Atlas of Anesthesia: Critical Care.Edited by R Miller (series editor) and RR Kirby.Philadelphia, Current Medicine, 1997.
関連するトピック
縦隔および頸部の軟部組織における空気に注目する。
By permission of the publisher.From Berman L.In Atlas of Anesthesia: Critical Care.Edited by R Miller (series editor) and RR Kirby.Philadelphia, Current Medicine, 1997.