honeypot link
skip to main content
プロフェッショナル版
家庭版
Msd マニュアル
プロフェッショナル版
医学事典
リソース
コラム
診察・手技ビデオ
クイズ
MSDマニュアルについて
医学事典
リソース
<
画像
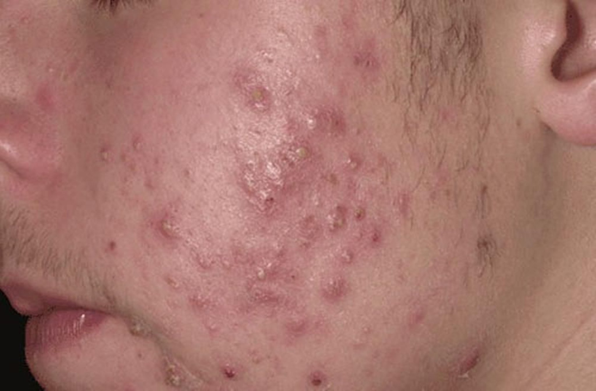
皮膚病変(膿疱)
膿疱は内部に膿を含んだ隆起病変で,通常は頂上に黄点を伴っている。このざ瘡患者の顔面には,散在性に膿疱が生じている。
Photo provided by Thomas Habif, MD.
関連するトピック
皮膚病変の記載
>
尋常性ざ瘡
>