発症後間もない狭心症患者のSPECT
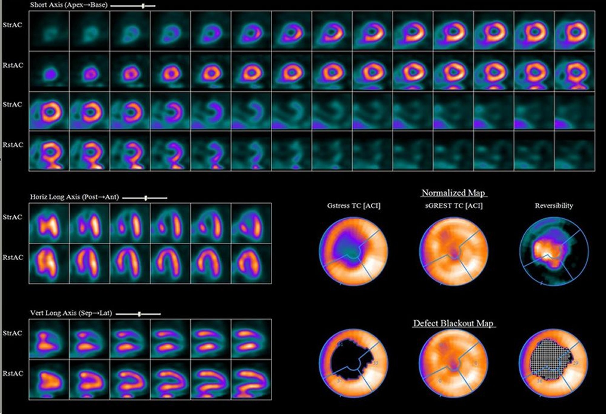
狭心症を最近発症した52歳男性患者における負荷時および安静時のSPECT(単一光子放出型コンピュータ断層撮影)画像。負荷時に撮影された画像(Str[Stress]と表示された画像列と極座標表示)では,左前下行枝(LAD)の灌流領域に広範な虚血領域を認めるが,これは安静時の画像(Rst[Rest]と表示された画像列と極座標表示)では認められない。血管造影により,LADの第1対角枝との分岐部に95~99%閉塞が確認された。負荷時の画像では,安静時の明るい領域より取込みが少ない(紫色または鈍い)。
Image provided by James R.Corbett, MD.
関連するトピック
