honeypot link
skip to main content
プロフェッショナル版
家庭版
Msd マニュアル
プロフェッショナル版
医学事典
リソース
コラム
診察・手技ビデオ
クイズ
MSDマニュアルについて
医学事典
リソース
<
画像
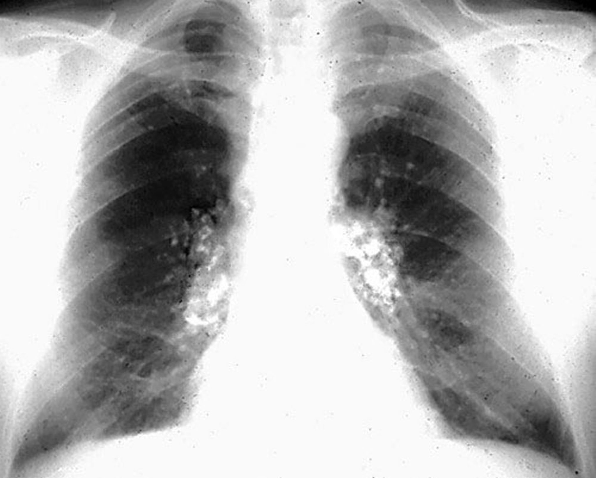
珪肺症—卵殻様石灰化
Image courtesy of David W.Cugell, MD.
関連するトピック
珪肺症
>