honeypot link
skip to main content
プロフェッショナル版
家庭版
Msd マニュアル
プロフェッショナル版
医学事典
リソース
コラム
診察・手技ビデオ
クイズ
MSDマニュアルについて
医学事典
リソース
<
画像
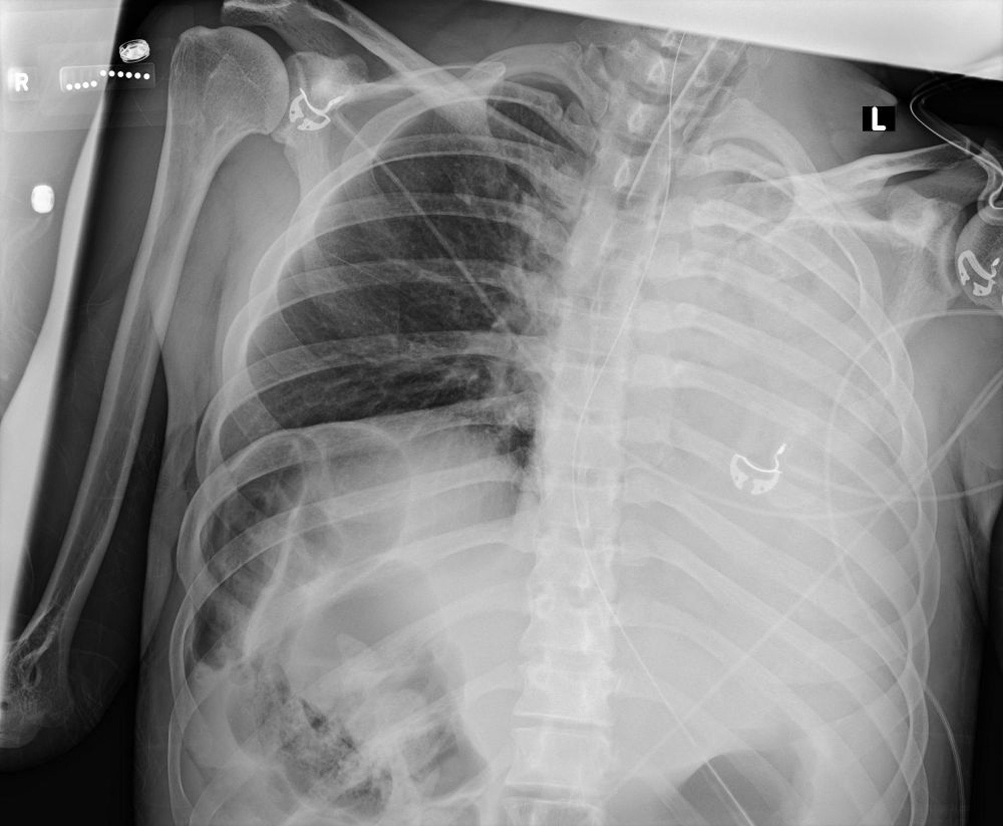
無気肺および左肺虚脱(X線)
この胸部X線写真は,粘液栓子による左肺の虚脱を示している。
Courtesy of Alexander S.Niven, MD
関連するトピック
無気肺
>