海綿状血管腫

海綿状血管腫

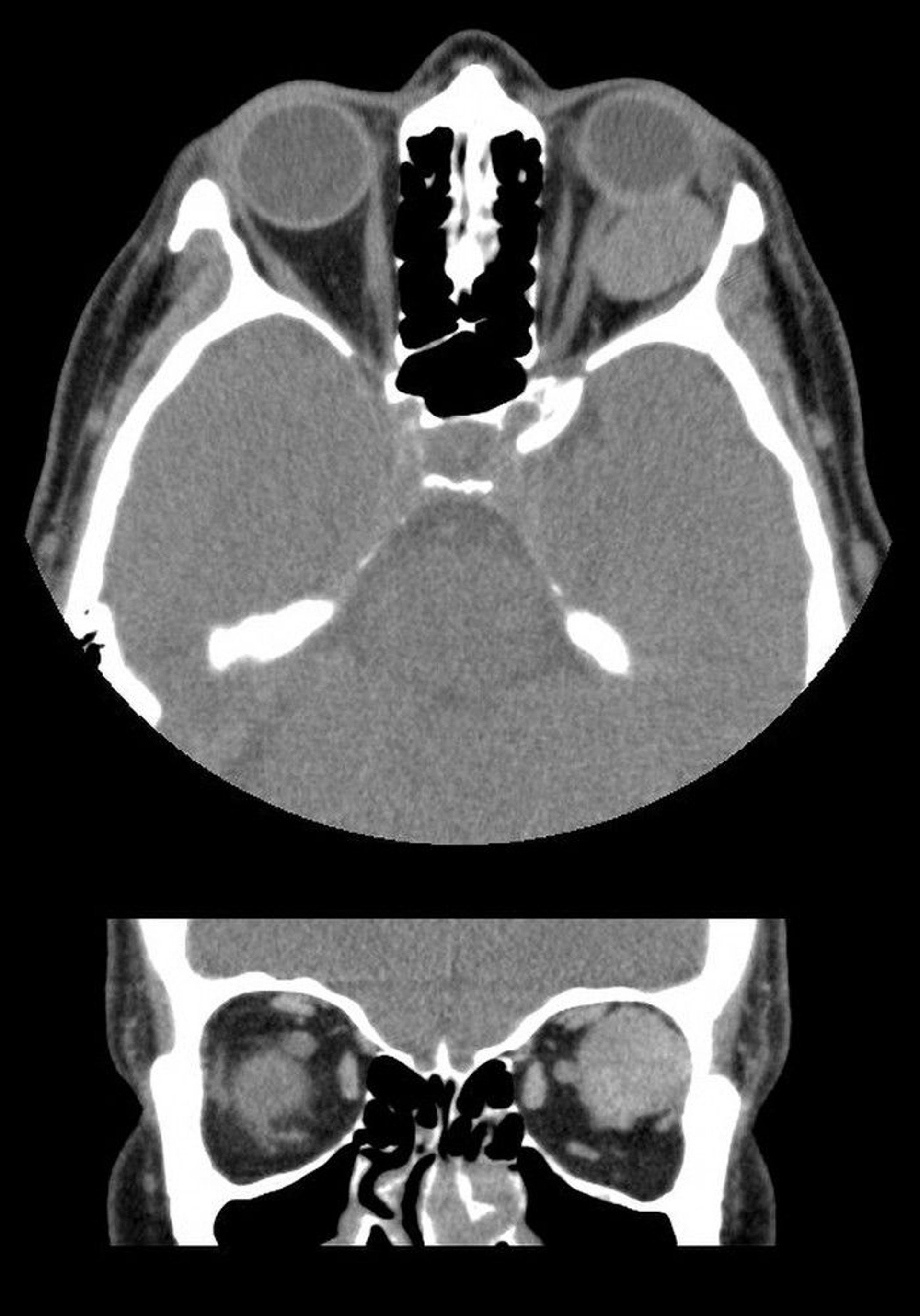
この画像では,CTの水平断像(上)と冠状断像(下)で,左眼球の後方に境界明瞭な眼窩腫瘍が認められる。この腫瘤は海綿状の静脈奇形である。

Images courtesy of James Garrity, MD.

関連するトピック