気管支拡張症(CT)
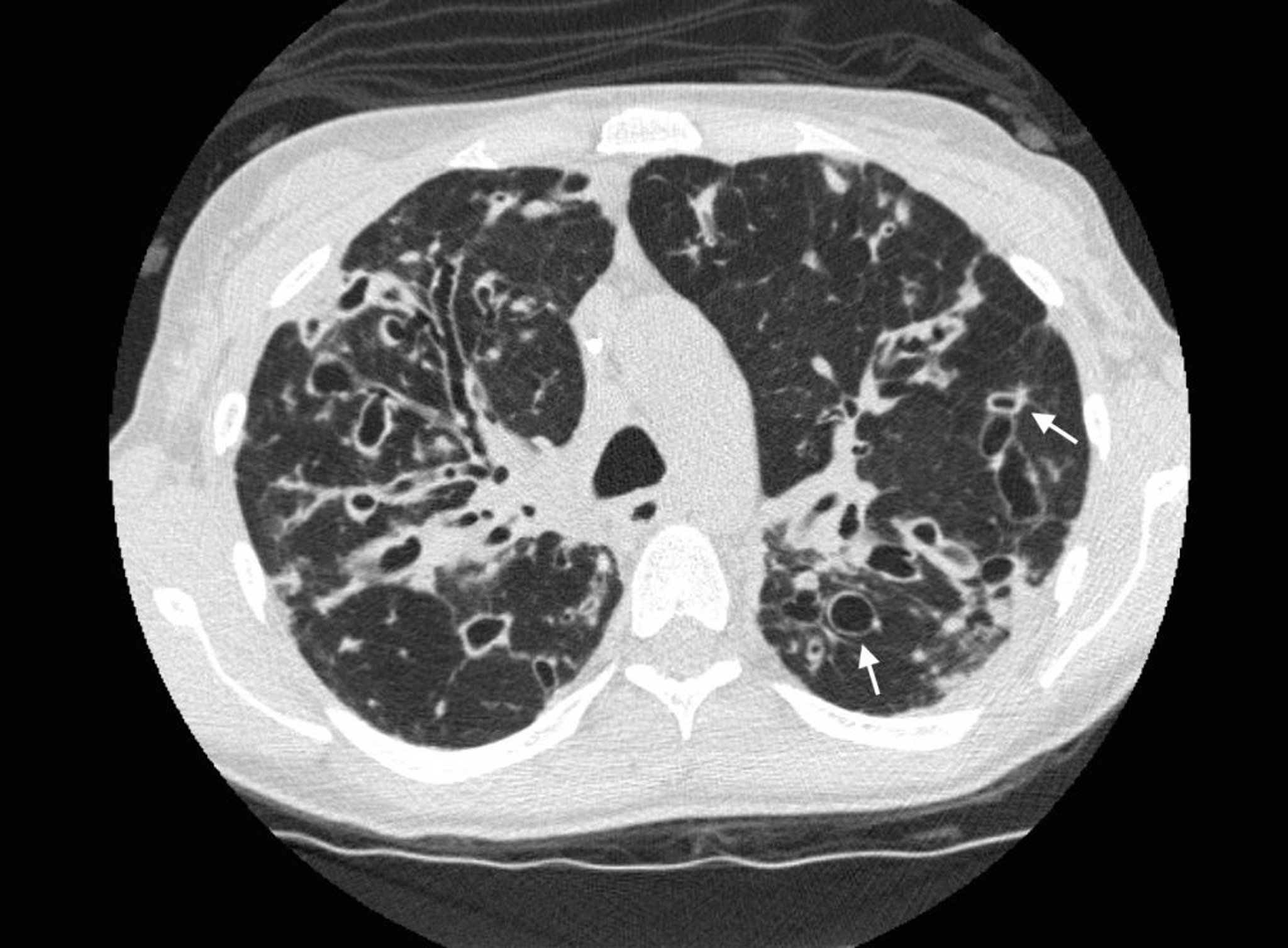
上肺野に,拡張した気道および嚢胞性変化を伴う重度の気管支拡張がみられる,嚢胞性線維症患者の胸部CT。矢印はsignet ring signを示し,拡張した気道(リング状の陰影)がより細い動脈(リングの上端)に接している。正常では,気道の径は近接する動脈と同じか,それよりも小さい。
Photo courtesy of Başak Çoruh, MD.
関連するトピック
上肺野に,拡張した気道および嚢胞性変化を伴う重度の気管支拡張がみられる,嚢胞性線維症患者の胸部CT。矢印はsignet ring signを示し,拡張した気道(リング状の陰影)がより細い動脈(リングの上端)に接している。正常では,気道の径は近接する動脈と同じか,それよりも小さい。
Photo courtesy of Başak Çoruh, MD.