比較的健康な歯肉と歯

比較的健康な歯肉と歯

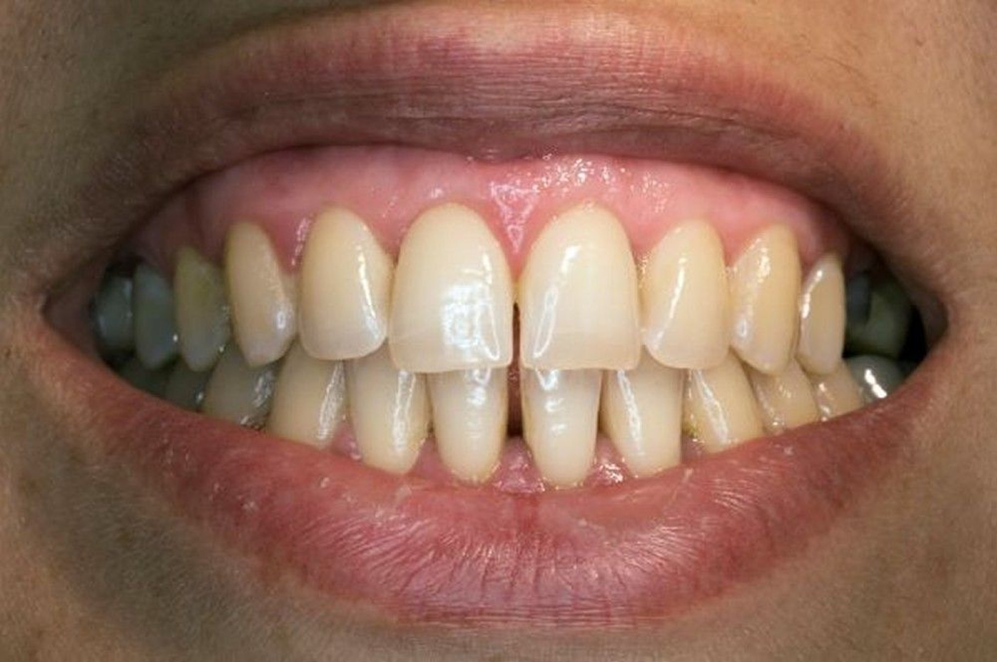
ここに示した比較的健康な口腔には多少の着色や歯石がみられるが,歯肉は健康であり,硬く,歯に密着し,歯間乳頭は先の尖った形状を呈している。

DR ARMEN TARANYAN/SCIENCE PHOTO LIBRARY

関連するトピック