honeypot link
skip to main content
プロフェッショナル版
家庭版
Msd マニュアル
プロフェッショナル版
医学事典
リソース
コラム
診察・手技ビデオ
クイズ
MSDマニュアルについて
医学事典
リソース
<
画像
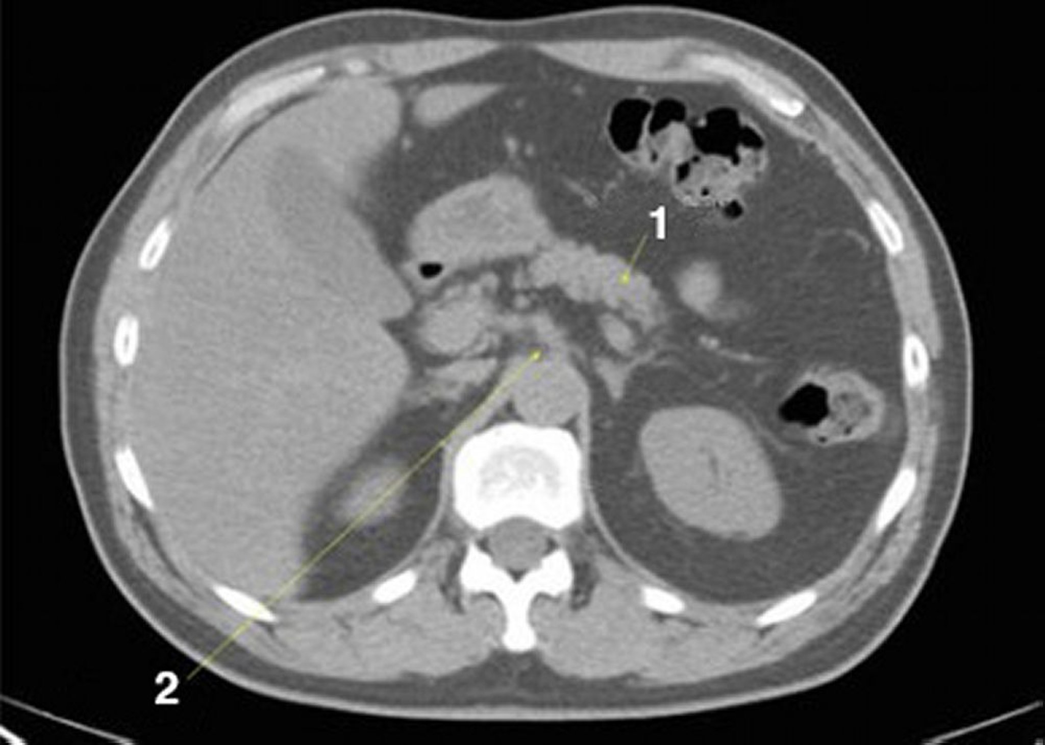
正常解剖を示した腹部および骨盤の単純CT画像(スライド9)
1 = 膵臓;2 = 腹腔動脈。
© Springer Science+Business Media
関連するトピック
消化管症状を有する患者の評価
>