正常な頭部CT(成人,74歳)―スライド5
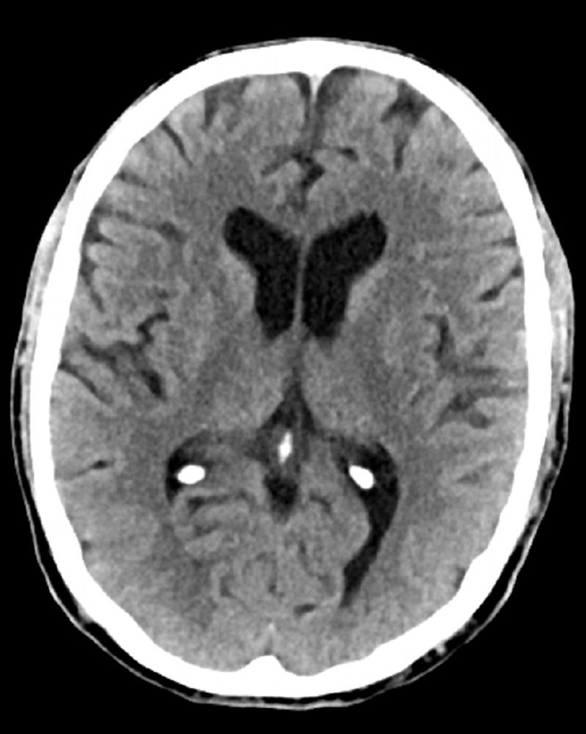
これは74歳成人の正常な頭部CT画像である。30歳の正常な頭部CT画像と比較すると,脳室および脳溝がより大きくなっている。これらの所見はこの年齢層では正常である。
© 2017 Elliot K.Fishman, MD.
関連するトピック
これは74歳成人の正常な頭部CT画像である。30歳の正常な頭部CT画像と比較すると,脳室および脳溝がより大きくなっている。これらの所見はこの年齢層では正常である。
© 2017 Elliot K.Fishman, MD.