honeypot link
skip to main content
プロフェッショナル版
家庭版
Msd マニュアル
プロフェッショナル版
医学事典
リソース
コラム
診察・手技ビデオ
クイズ
MSDマニュアルについて
医学事典
リソース
<
画像
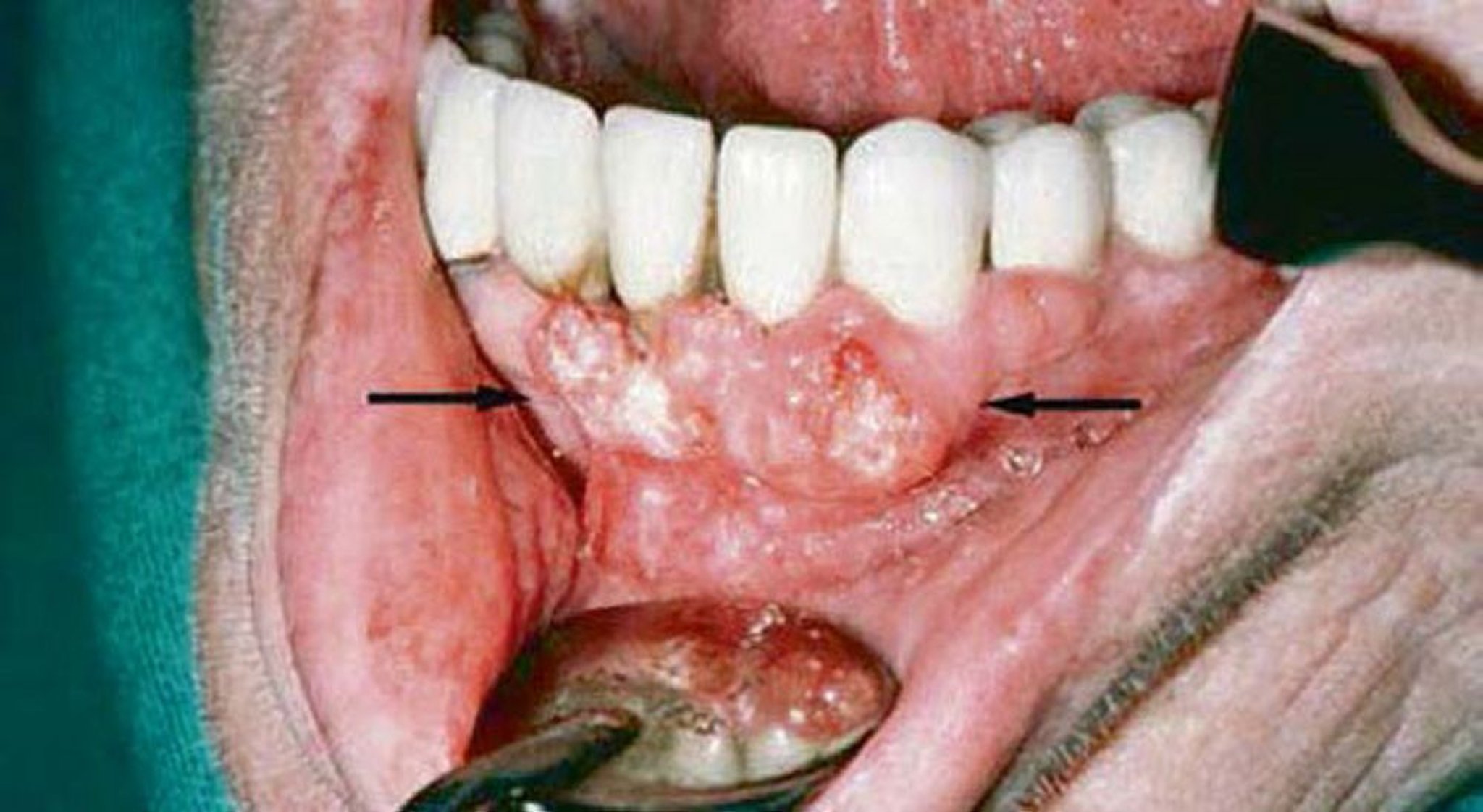
扁平上皮癌(歯肉病変)
この患者の歯肉の診察により,扁平上皮癌の所見が認められた。画像検査で下顎骨の浸潤が認められた。
© Springer Science+Business Media
関連するトピック
顎骨腫瘍
>