慢性過敏性肺炎
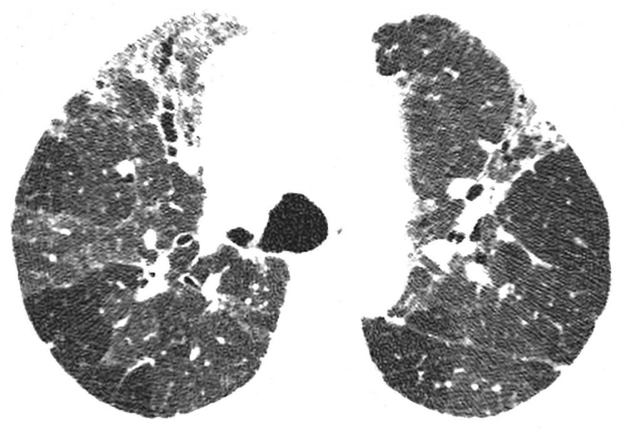
高分解能CTで,不規則網状影および牽引性気管支拡張などの線維化所見がみられる。低吸収領域は,気道が閉塞されている領域と一致する。これら所見の組み合わせにより,過敏性肺炎の診断が示唆される。
Image courtesy of Harold R.Collard, MD.
関連するトピック
高分解能CTで,不規則網状影および牽引性気管支拡張などの線維化所見がみられる。低吸収領域は,気道が閉塞されている領域と一致する。これら所見の組み合わせにより,過敏性肺炎の診断が示唆される。
Image courtesy of Harold R.Collard, MD.