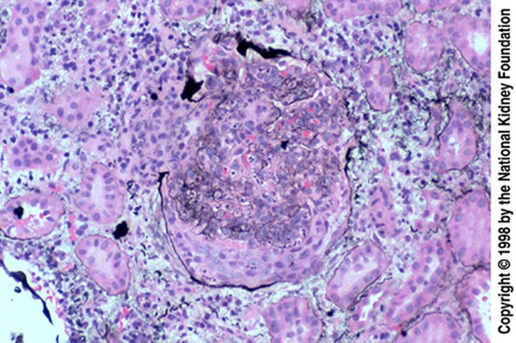
感染後糸球体腎炎(上皮半月体形成)
上皮半月体形成は,治療効果がみられずに後になって生検が施行された場合に特によくみられる。半月体によりボーマン嚢が破裂している(PAM染色,200倍)。
Image provided by Agnes Fogo, MD, and the American Journal of Kidney Diseases' Atlas of Renal Pathology (see www.ajkd.org).
関連するトピック
上皮半月体形成は,治療効果がみられずに後になって生検が施行された場合に特によくみられる。半月体によりボーマン嚢が破裂している(PAM染色,200倍)。
Image provided by Agnes Fogo, MD, and the American Journal of Kidney Diseases' Atlas of Renal Pathology (see www.ajkd.org).