心臓サルコイドーシスのMRI所見
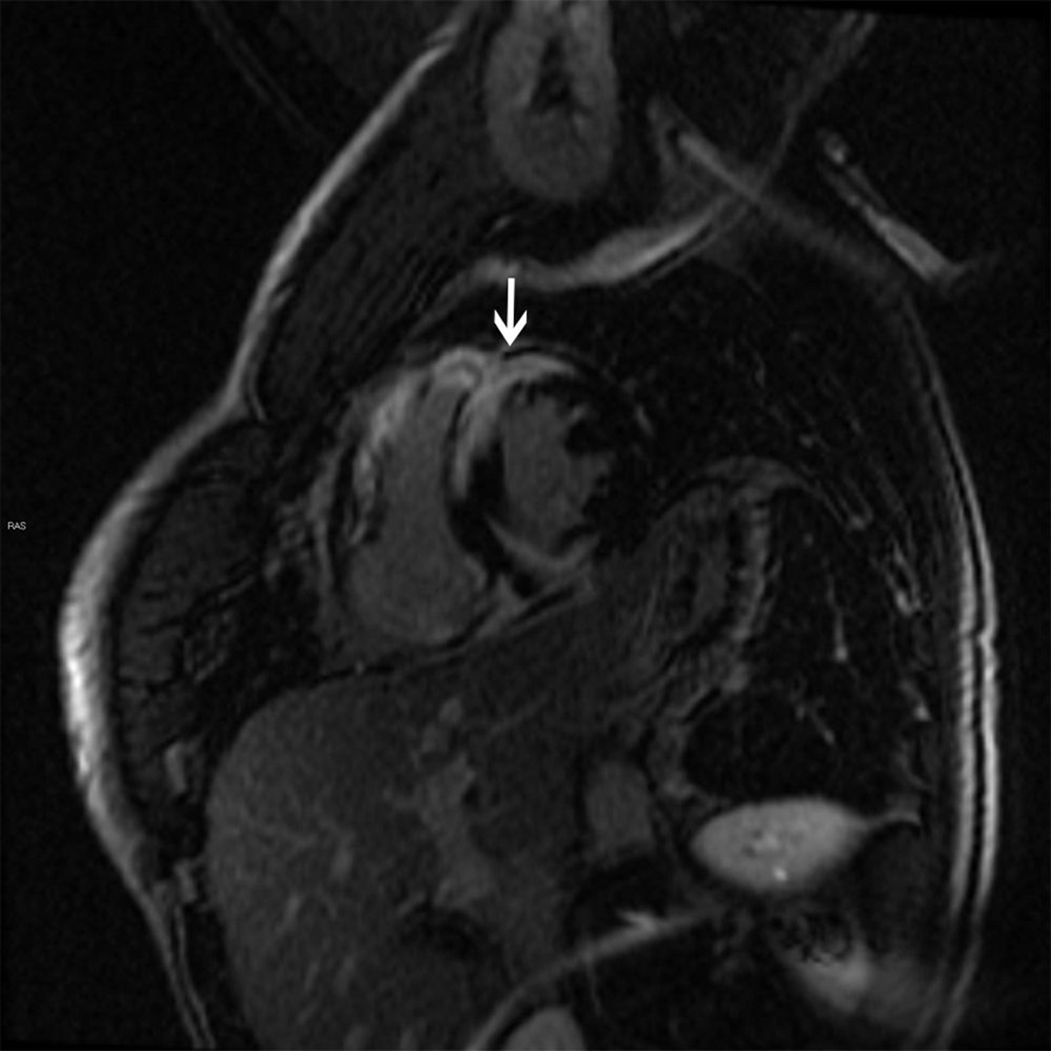
この心臓MRI画像には,サルコイドーシスの特徴である,ガドリニウムによる斑状の遅延造影像(矢印)が認められ,サルコイドーシスは拡張型または肥大型心筋症を引き起こすことがある。
© 2017 Elliot K.Fishman, MD.
関連するトピック
この心臓MRI画像には,サルコイドーシスの特徴である,ガドリニウムによる斑状の遅延造影像(矢印)が認められ,サルコイドーシスは拡張型または肥大型心筋症を引き起こすことがある。
© 2017 Elliot K.Fishman, MD.