微妙な橈骨遠位端骨折

微妙な橈骨遠位端骨折

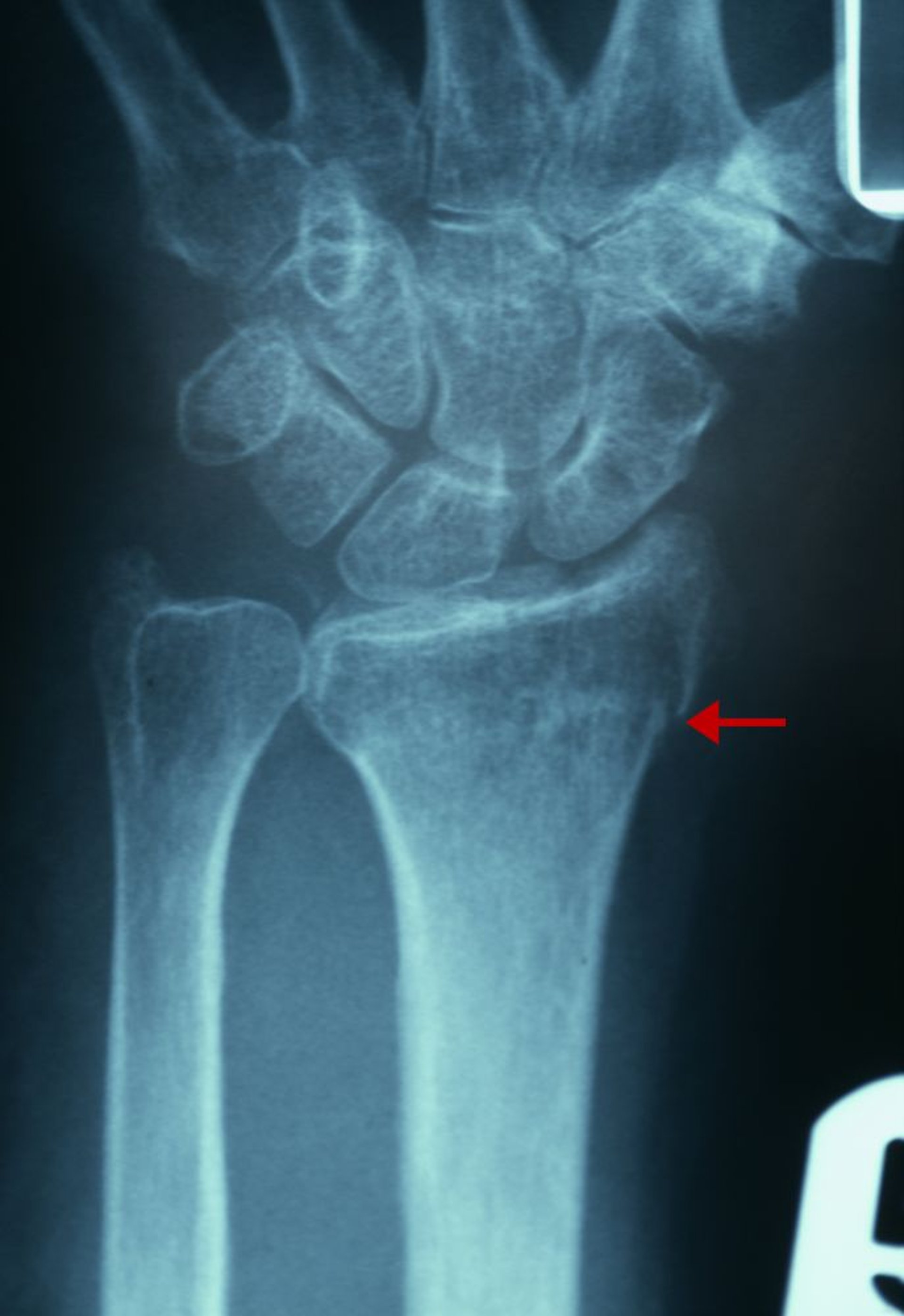
この骨折のX線所見としては,橈骨遠位部における橈側面の皮質にみられる連続性の途切れ(矢印),橈骨遠位部における海綿骨の密度増加などがある。

DR P.MARAZZI/SCIENCE PHOTO LIBRARY

関連するトピック