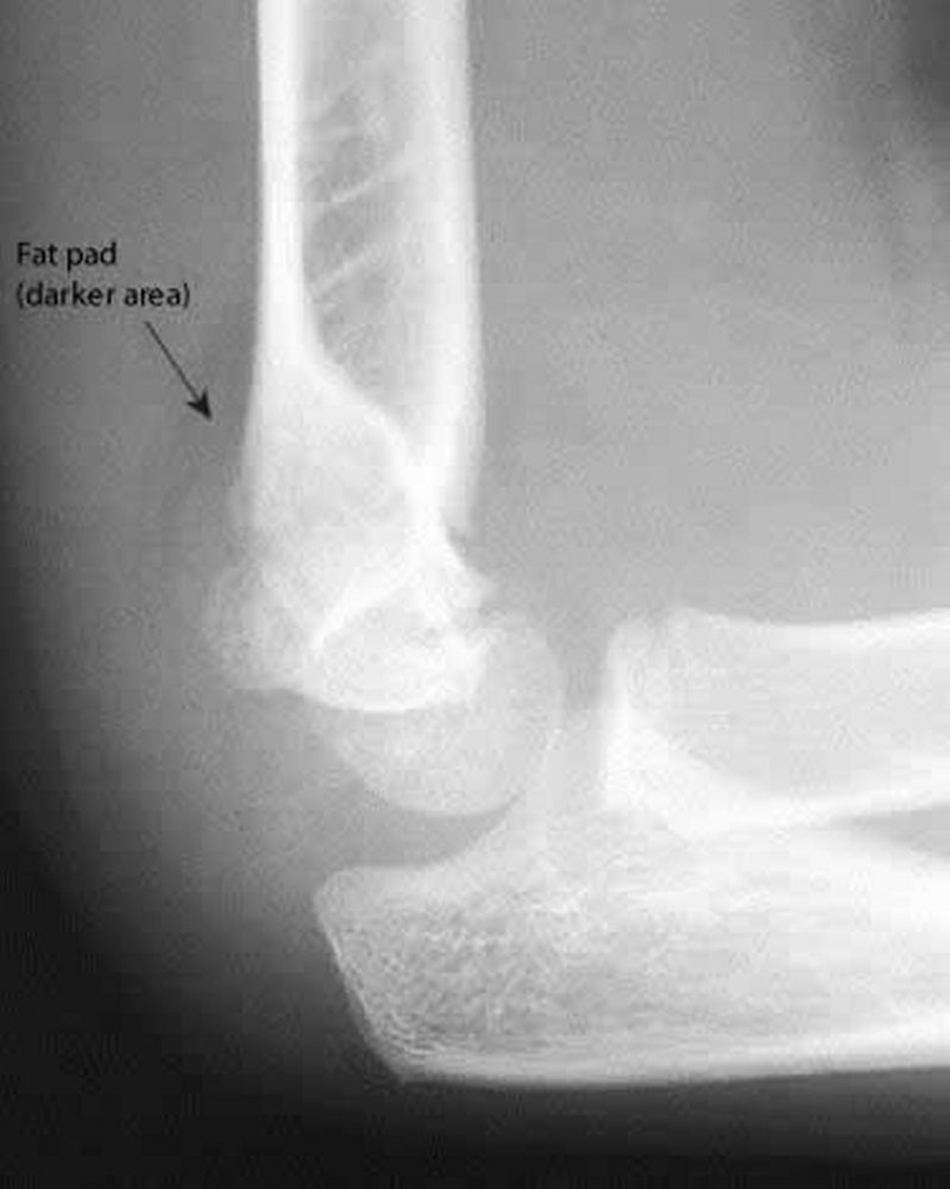
後方fat pad

後方fat pad

後方fat padは常に異常である。またこのX線上では,anterior humeral lineが上腕骨小頭の中央を横断しない。

Image courtesy of Danielle Campagne, MD.

関連するトピック