honeypot link
skip to main content
プロフェッショナル版
家庭版
Msd マニュアル
プロフェッショナル版
医学事典
リソース
コラム
診察・手技ビデオ
クイズ
MSDマニュアルについて
医学事典
リソース
<
画像
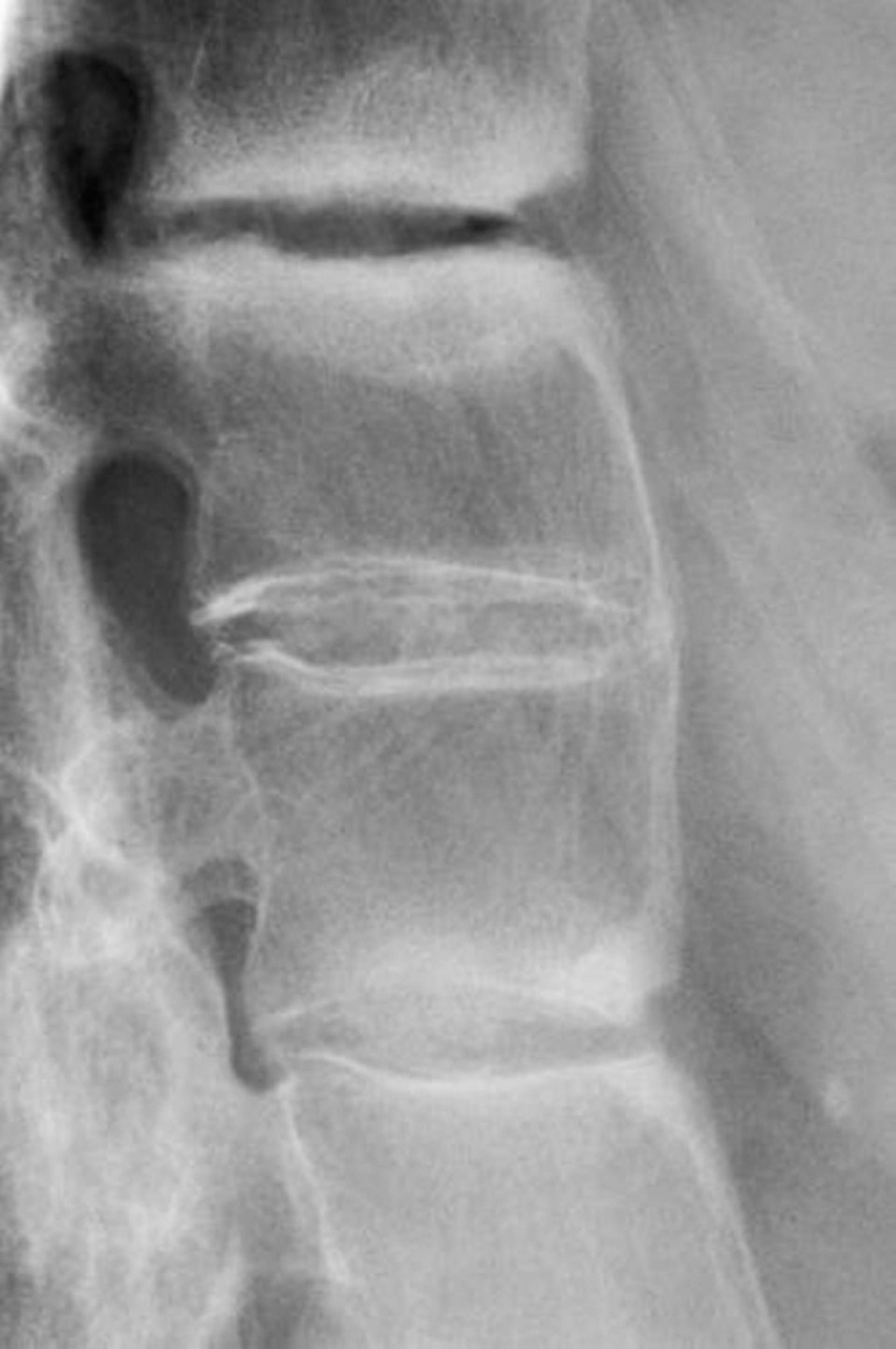
強直性脊椎炎
このX線写真には,腰椎間の硬化像,前弯の減弱,および腰椎の癒合という,進行した強直性脊椎炎を示唆する所見が認められる。
DR P. MARAZZI/SCIENCE PHOTO LIBRARY
関連するトピック
強直性脊椎炎
>