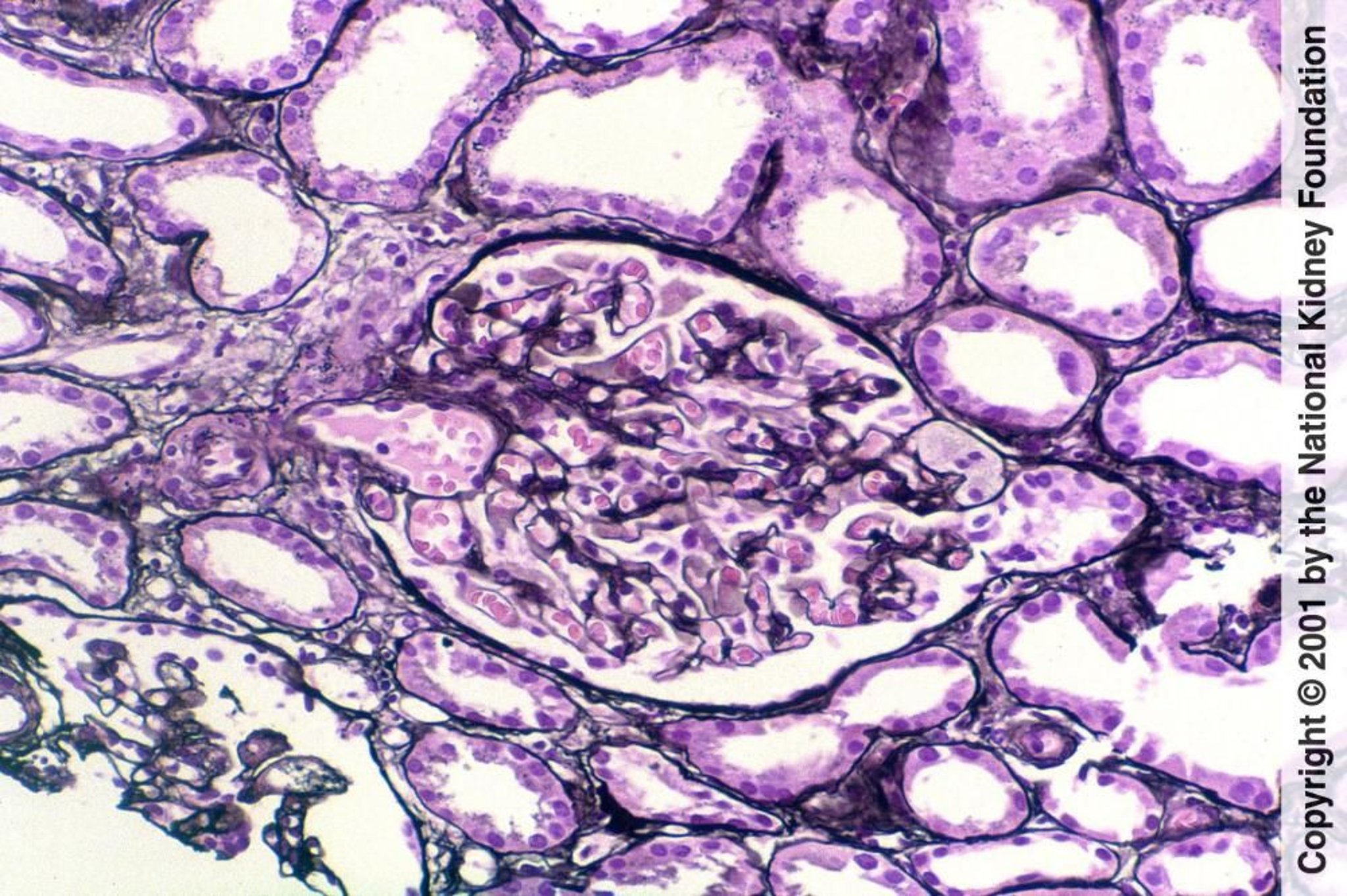
巣状分節性糸球体硬化症(尖端病変[Tip Lesion])
尖端病変(tip lesion)は,尿細管の起点である糸球体極に限定された分節性硬化である。予後改善のマーカーである可能性がある(PAM染色,200倍)。
Image provided by Agnes Fogo, MD, and the American Journal of Kidney Diseases' Atlas of Renal Pathology (see www.ajkd.org).
関連するトピック
尖端病変(tip lesion)は,尿細管の起点である糸球体極に限定された分節性硬化である。予後改善のマーカーである可能性がある(PAM染色,200倍)。
Image provided by Agnes Fogo, MD, and the American Journal of Kidney Diseases' Atlas of Renal Pathology (see www.ajkd.org).