honeypot link
skip to main content
プロフェッショナル版
家庭版
Msd マニュアル
プロフェッショナル版
医学事典
リソース
コラム
診察・手技ビデオ
クイズ
MSDマニュアルについて
医学事典
リソース
<
画像
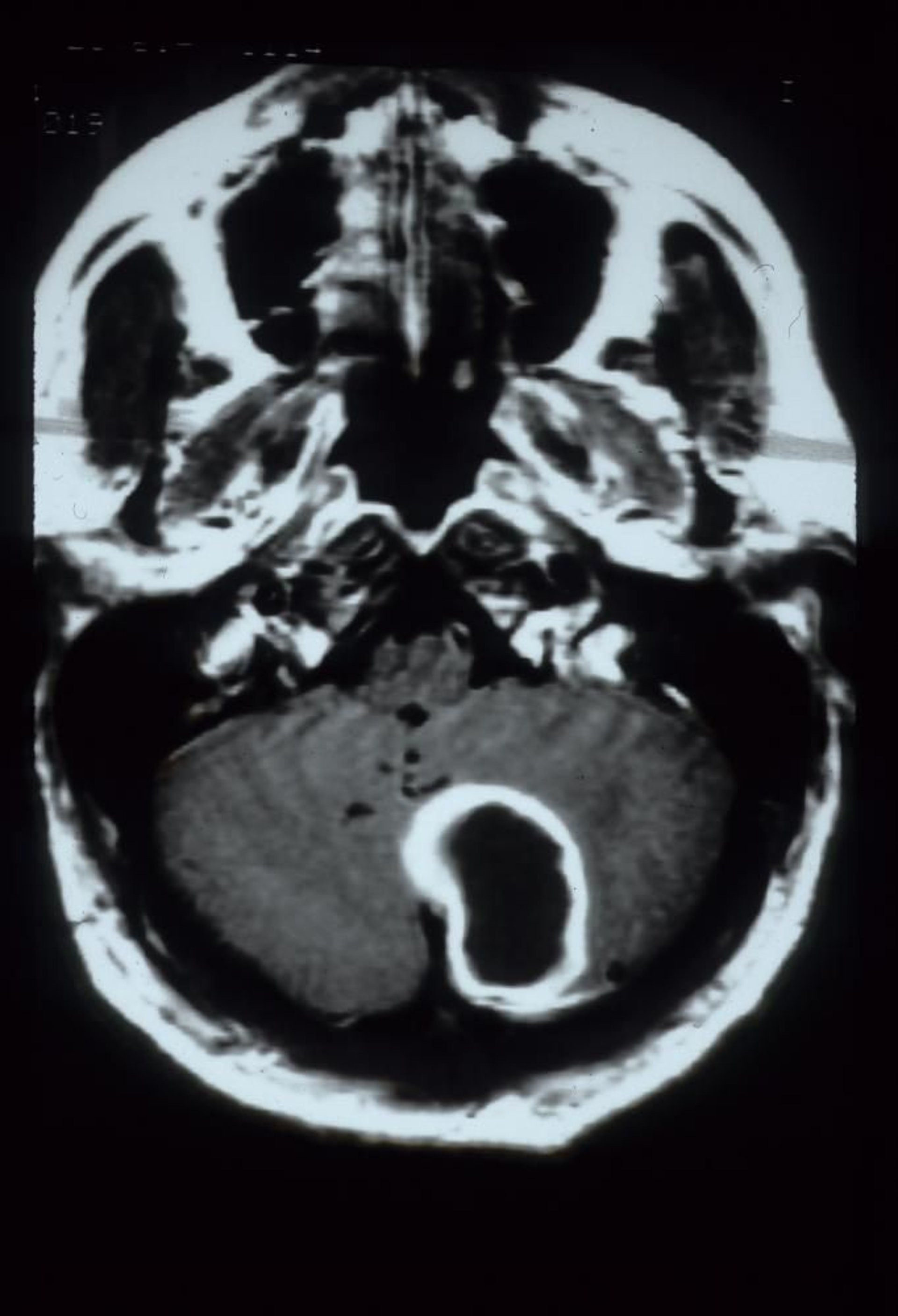
小脳膿瘍
このガドリニウム造影MRI画像では,小脳膿瘍が左小脳半球にリング状の増強効果を示す大きな空洞性病変として認められる。
Courtesy of John E.Greenlee, MD.
関連するトピック
脳膿瘍
>