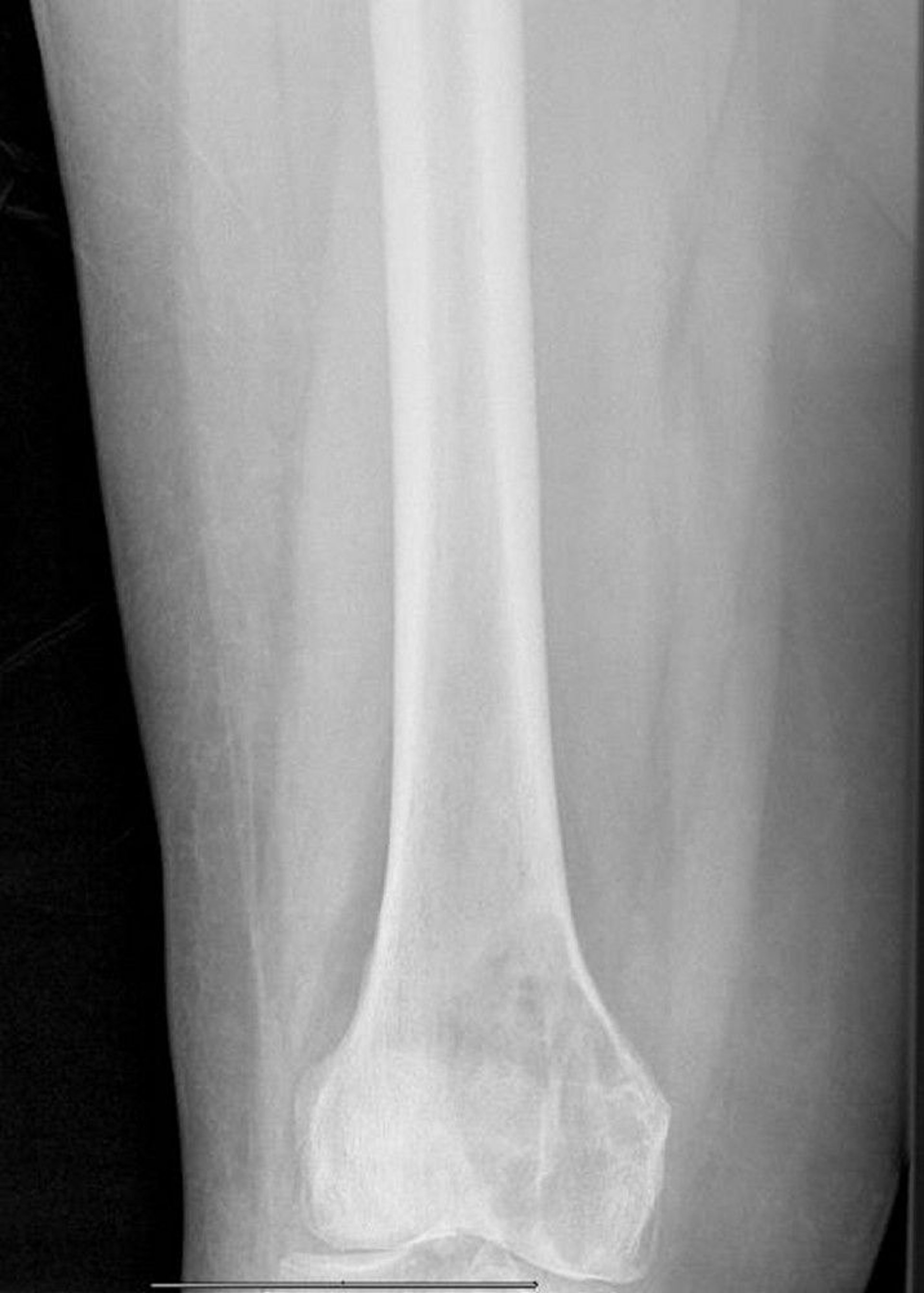
大腿骨遠位部の溶骨性転移

大腿骨遠位部の溶骨性転移

このX線写真には,大腿骨内顆に生じて切迫骨折の状態にある溶骨性の大きな転移性病変が写っている。

Image courtesy of Michael J.Joyce, MD, and David M.Joyce, MD.

関連するトピック