honeypot link
skip to main content
プロフェッショナル版
家庭版
Msd マニュアル
プロフェッショナル版
医学事典
リソース
コラム
診察・手技ビデオ
クイズ
MSDマニュアルについて
医学事典
リソース
<
画像
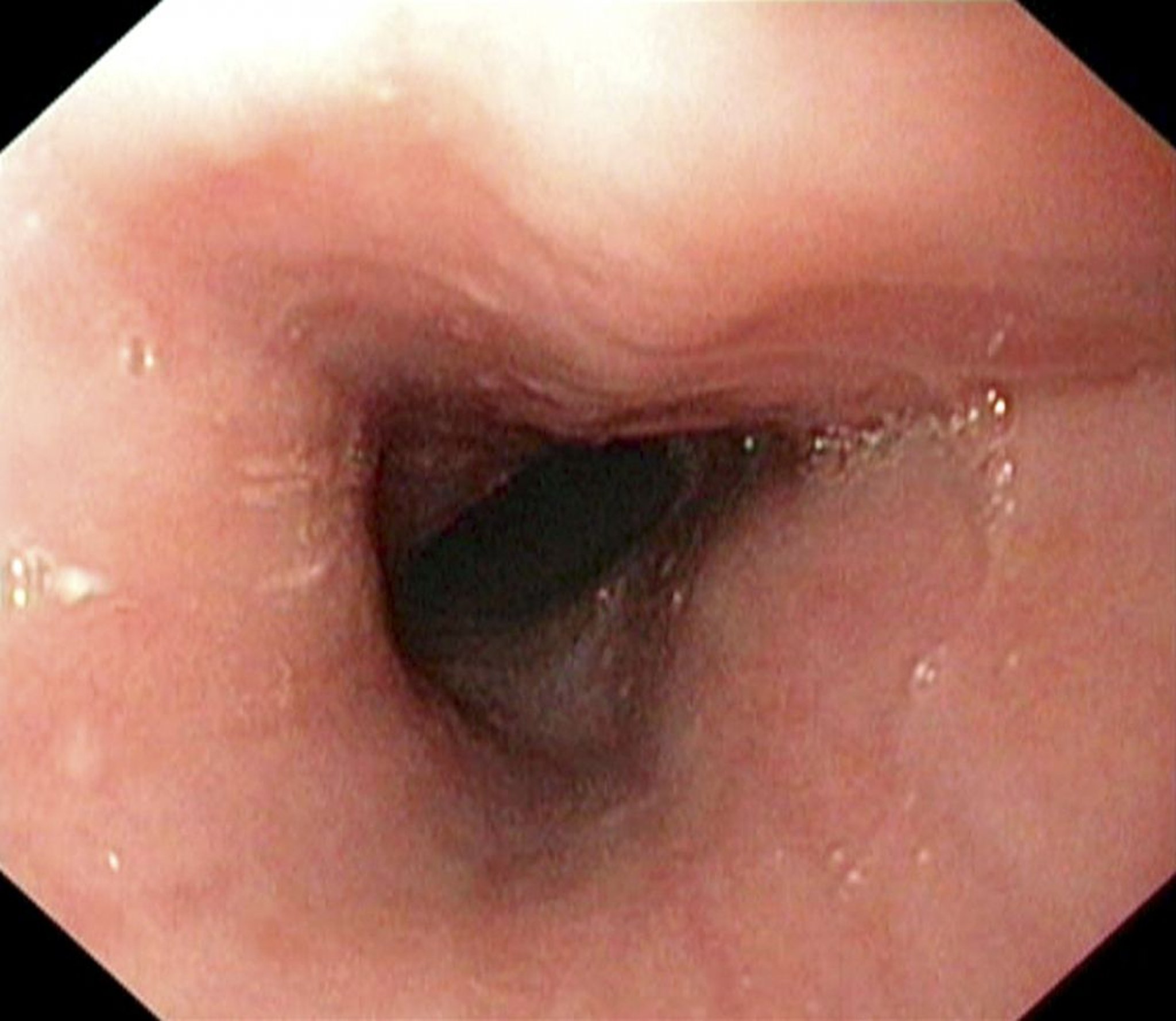
内視鏡検査(食道)
この写真には,正常な食道の内視鏡像が写っている。
GASTROLAB/SCIENCE PHOTO LIBRARY
関連するトピック
内視鏡検査
>