中隔視神経形成異常症を伴う多小脳回症
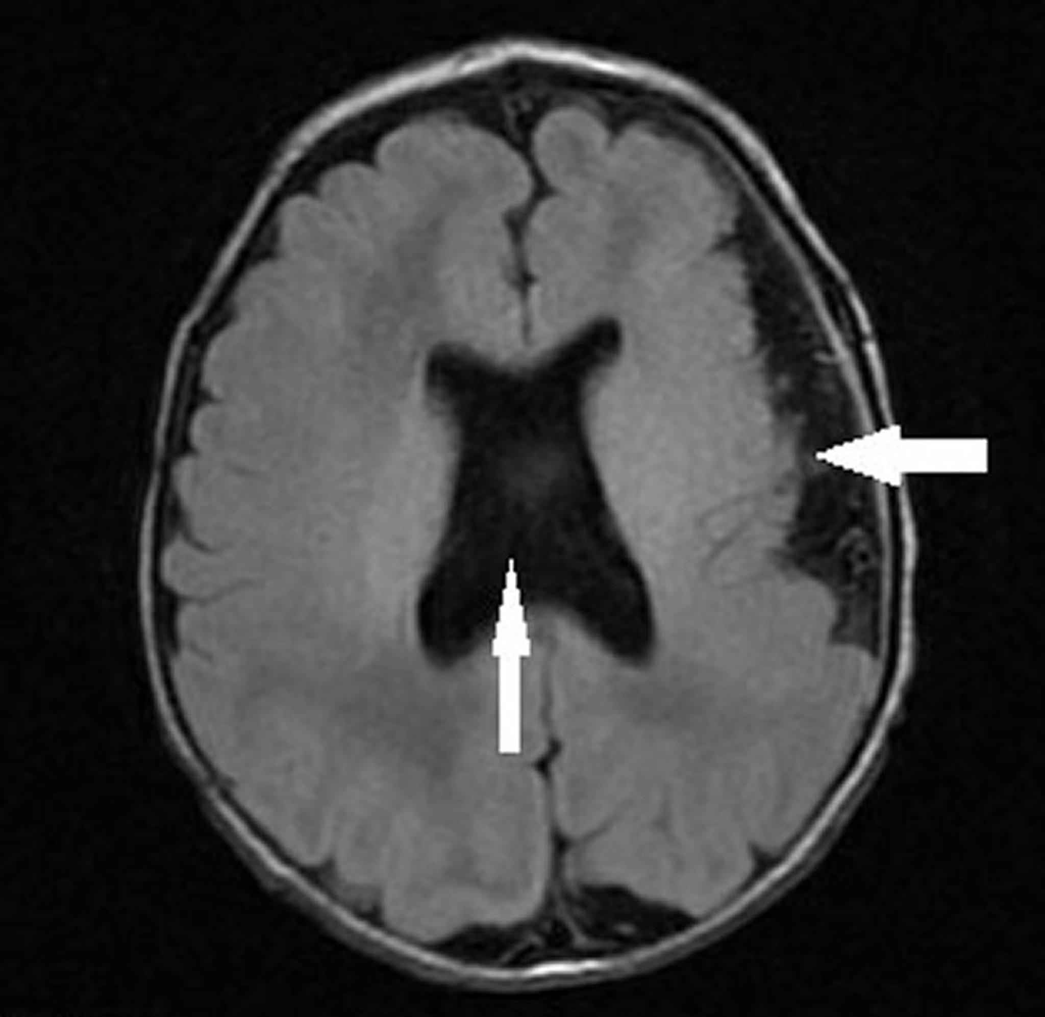
この乳児の画像には,左大脳半球の多小脳回症(左向き矢印)に加えて,中隔視神経形成異常症と一致する脳室形状の異常(視神経低形成,透明中隔の欠損または異常,および下垂体低形成)を伴う透明中隔の欠如(垂直方向の矢印)が認められる。
Image courtesy of Stephen J.Falchek, MD.
関連するトピック
この乳児の画像には,左大脳半球の多小脳回症(左向き矢印)に加えて,中隔視神経形成異常症と一致する脳室形状の異常(視神経低形成,透明中隔の欠損または異常,および下垂体低形成)を伴う透明中隔の欠如(垂直方向の矢印)が認められる。
Image courtesy of Stephen J.Falchek, MD.