honeypot link
skip to main content
プロフェッショナル版
家庭版
Msd マニュアル
プロフェッショナル版
医学事典
リソース
コラム
診察・手技ビデオ
クイズ
MSDマニュアルについて
医学事典
リソース
<
画像
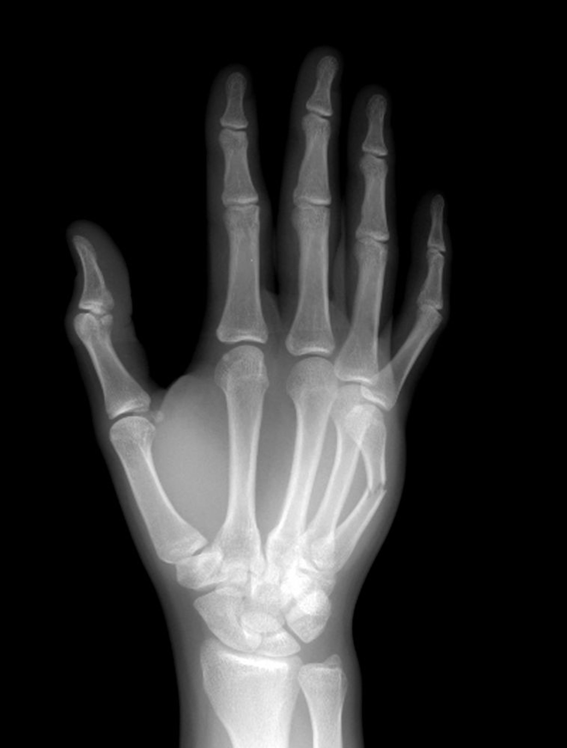
中手骨頸部骨折
第5中手骨頸部が骨幹部で骨折している。
LIVING ART ENTERPRISES, LLC/SCIENCE PHOTO LIBRARY
関連するトピック
中手骨頸部骨折
>