下垂体微小腺腫
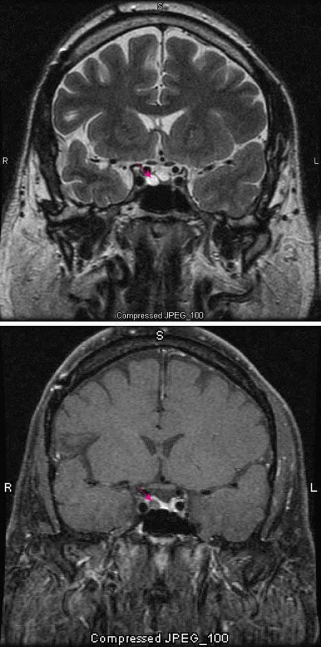
MRIのT2強調画像(上)には,下垂体微小腺腫(赤矢印)が認められる。造影すると(下),正常なら下垂体が増強される(赤矢印)。腺腫はより明るく描出される。
Images courtesy of William R.Shapiro, MD.
関連するトピック
MRIのT2強調画像(上)には,下垂体微小腺腫(赤矢印)が認められる。造影すると(下),正常なら下垂体が増強される(赤矢印)。腺腫はより明るく描出される。
Images courtesy of William R.Shapiro, MD.