レジオネラ症(胸部X線)

レジオネラ症(胸部X線)

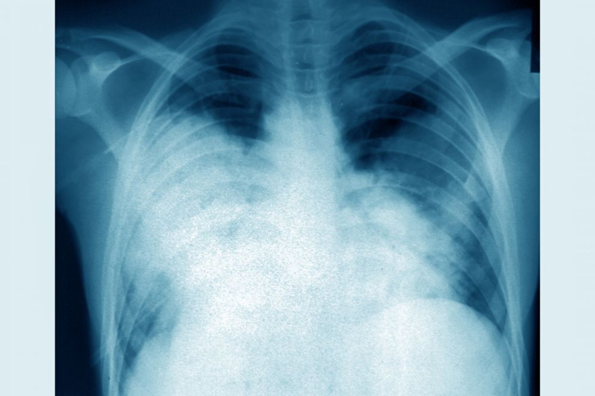
この胸部X線正面像には,急性両側性肺炎(Legionella pneumophilaによるレジオネラ症)が認められる。

CAVALLINI JAMES/BSIP/SCIENCE PHOTO LIBRARY