honeypot link
skip to main content
プロフェッショナル版
家庭版
Msd マニュアル
プロフェッショナル版
医学事典
リソース
コラム
診察・手技ビデオ
クイズ
MSDマニュアルについて
医学事典
リソース
<
画像
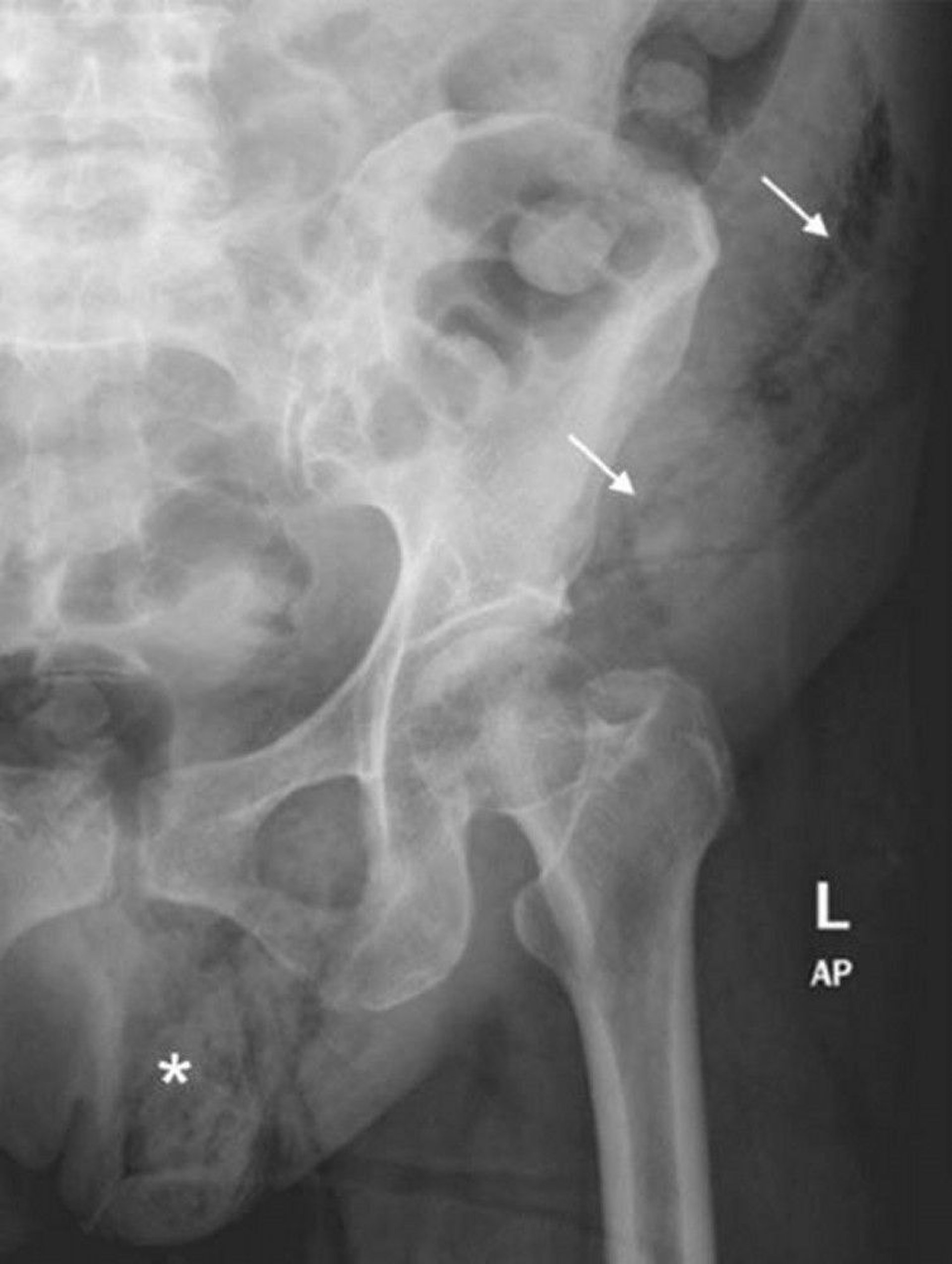
フルニエ壊疽(腹部X線)
この腹部X線写真には,左陰嚢(*)から左腹壁(矢印)にかけて軟部組織ガスが拡大している様子が写っている。
© Springer Science+Business Media
関連するトピック
壊死性軟部組織感染症
>