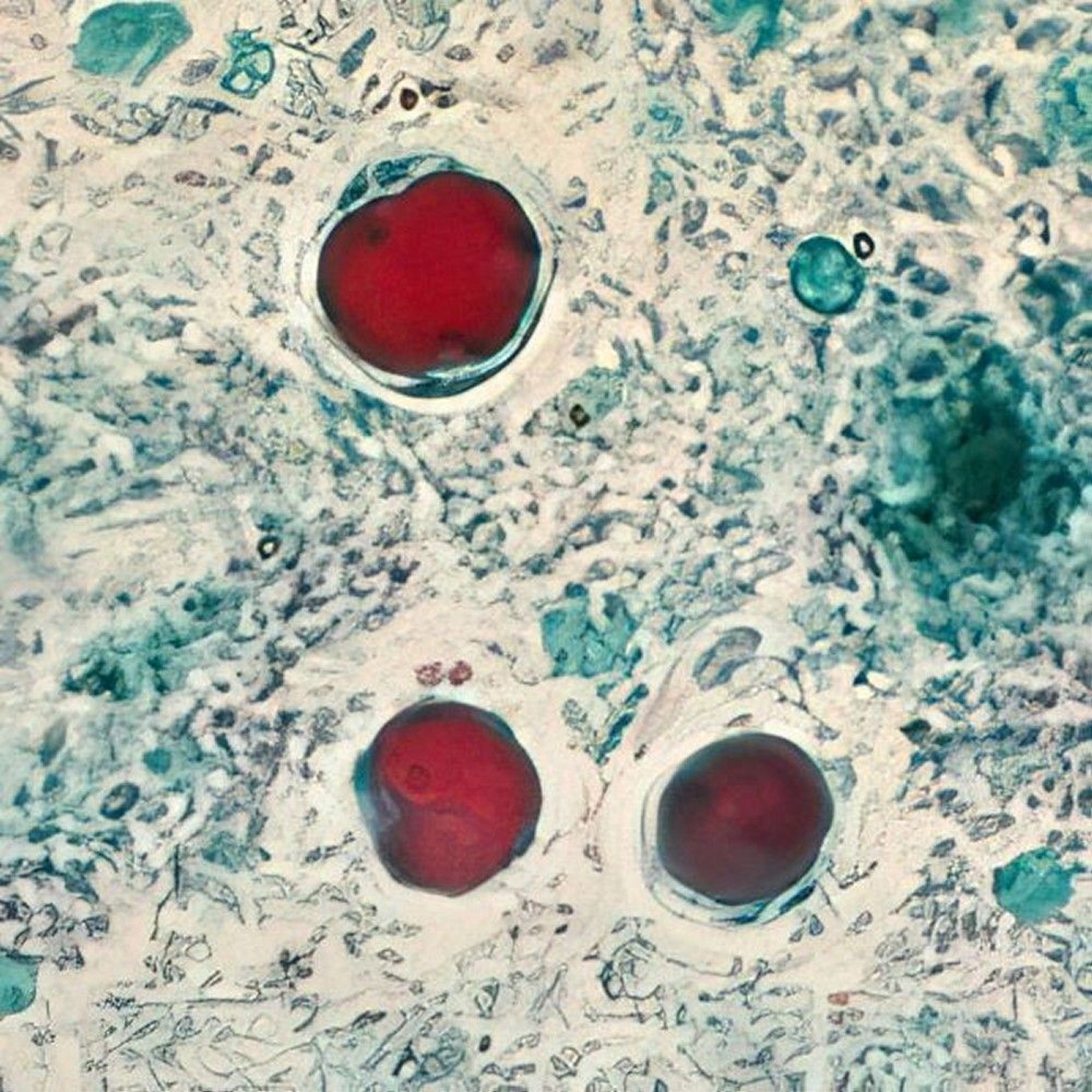
トリクローム染色(Blastocystis属原虫)
この画像には,トリクローム染色が施されたBlastocystis属細菌が写っている。
Image from the Centers for Disease Control and Prevention, Global Health, Division of Parasitic Diseases and Malaria.
関連するトピック
この画像には,トリクローム染色が施されたBlastocystis属細菌が写っている。
Image from the Centers for Disease Control and Prevention, Global Health, Division of Parasitic Diseases and Malaria.