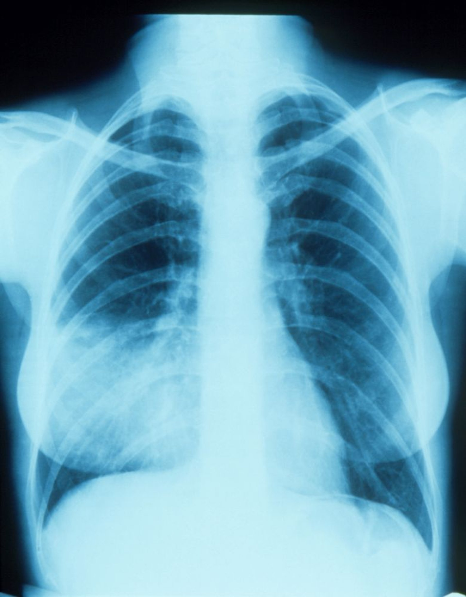
シルエットサインを伴う右中葉の肺炎
この胸部X線画像では,右心縁と融合するような浸潤影(シルエットサイン)がみられる。シルエットサインは,放射線透過性が同等の2つの構造物が連続した位置にあることを示す;右心縁と連続している肺の領域は右中葉であるため,右中葉に肺炎の浸潤影が存在することがわかる。
SCIENCE PHOTO LIBRARY
関連するトピック
この胸部X線画像では,右心縁と融合するような浸潤影(シルエットサイン)がみられる。シルエットサインは,放射線透過性が同等の2つの構造物が連続した位置にあることを示す;右心縁と連続している肺の領域は右中葉であるため,右中葉に肺炎の浸潤影が存在することがわかる。
SCIENCE PHOTO LIBRARY