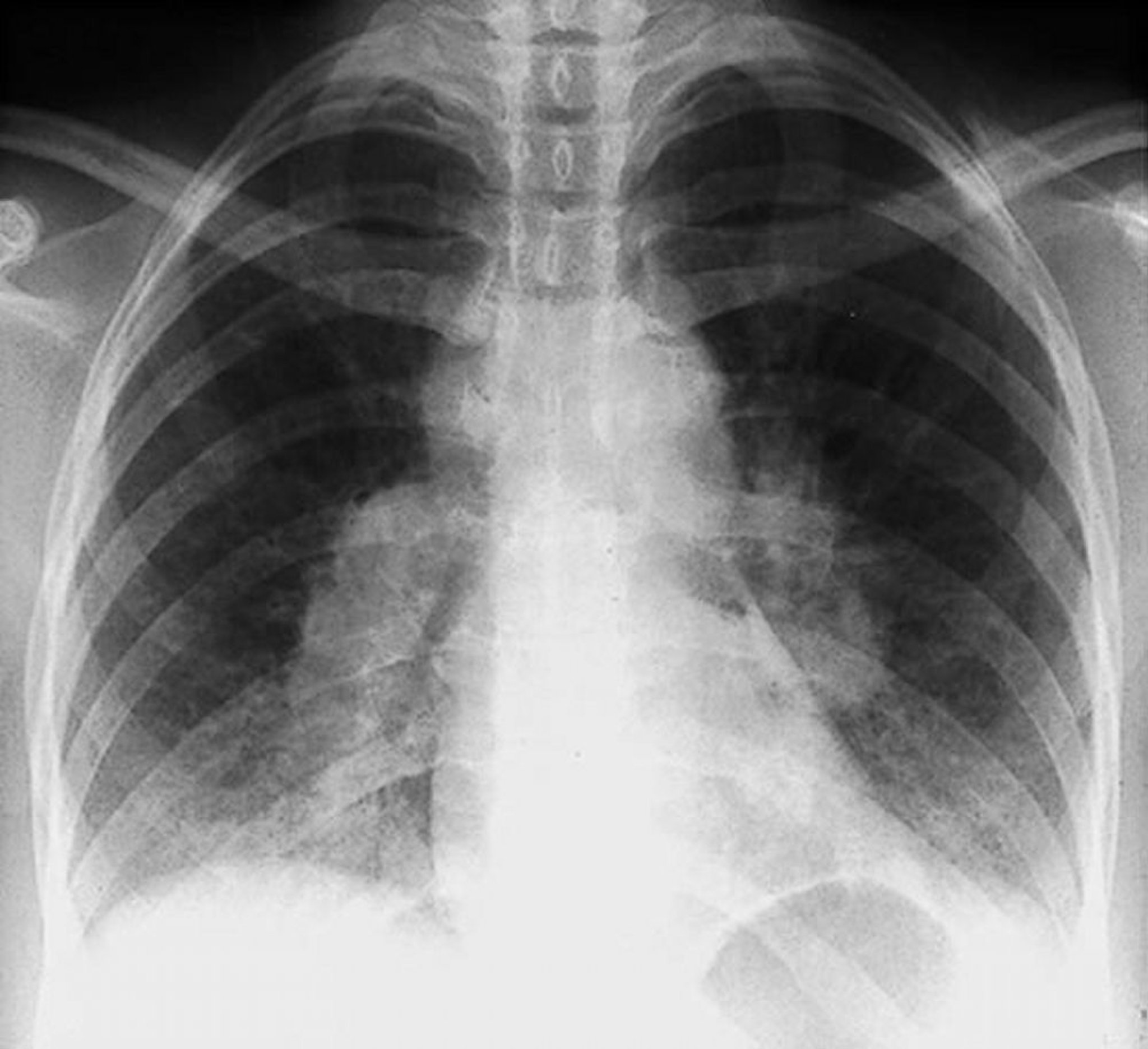
サルコイドーシス(I期)
I期サルコイドーシスにおける,両側肺門リンパ節腫脹。
By permission of the publisher.From Tanoue L, Elias J.In Bone's Atlas of Pulmonary and Critical Care Medicine.Edited by J Crapo.Philadelphia, Current Medicine, 2005.
関連するトピック
I期サルコイドーシスにおける,両側肺門リンパ節腫脹。
By permission of the publisher.From Tanoue L, Elias J.In Bone's Atlas of Pulmonary and Critical Care Medicine.Edited by J Crapo.Philadelphia, Current Medicine, 2005.