クループの小児のX線(冠状面)

クループの小児のX線(冠状面)

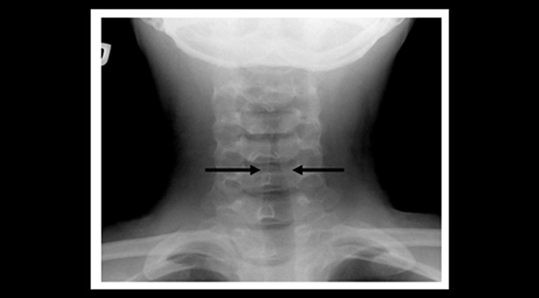
クループの患児の頸部軟部組織X線では,声門下の気道陰影の先細りの狭小化(steeple sign―矢印)および咽頭の気腔の拡大がみられる。

Image courtesy of John McBride, MD.

関連するトピック