honeypot link
skip to main content
プロフェッショナル版
家庭版
Msd マニュアル
プロフェッショナル版
医学事典
リソース
コラム
診察・手技ビデオ
クイズ
MSDマニュアルについて
医学事典
リソース
<
画像
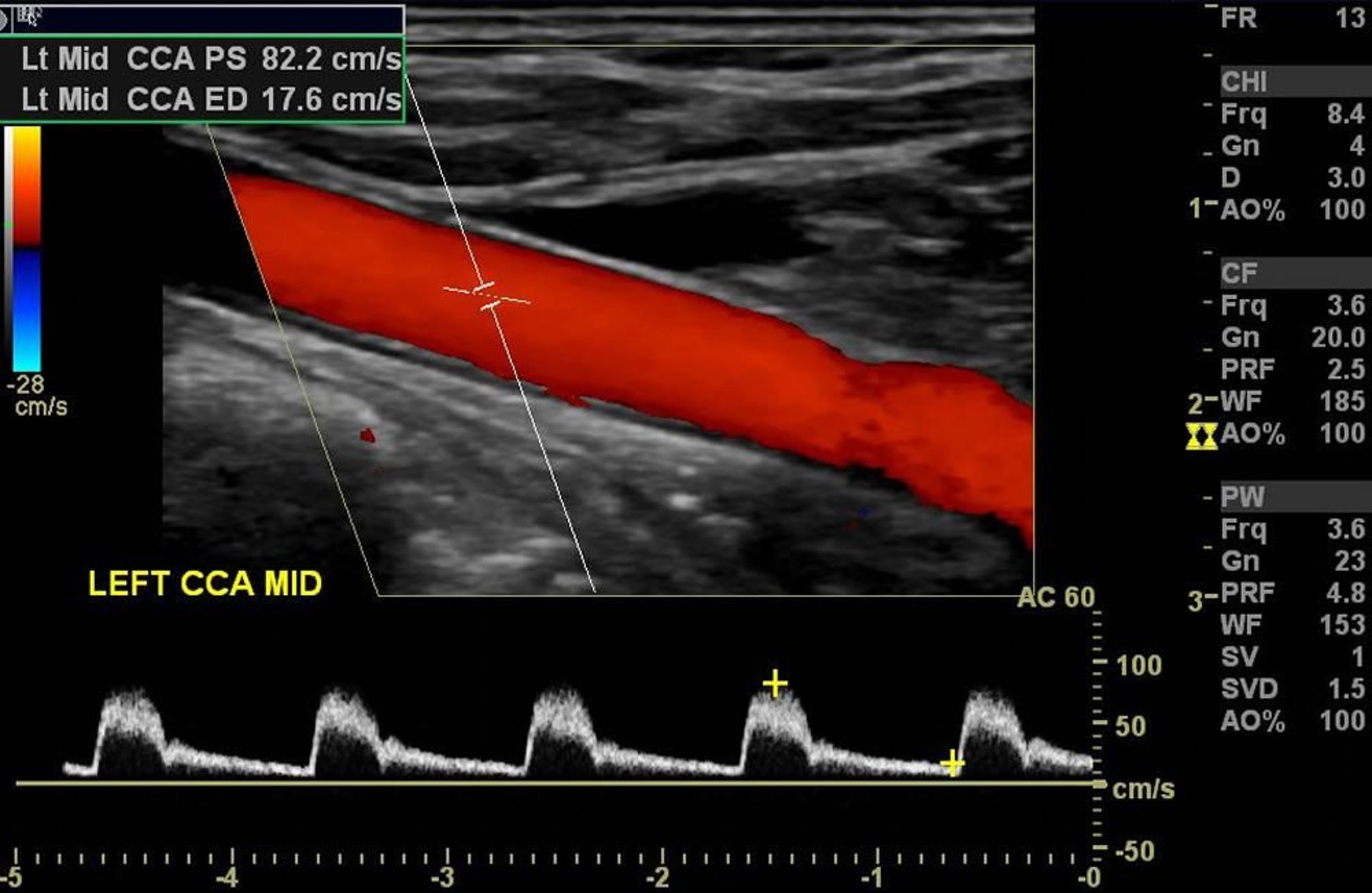
カラードプラ超音波検査
この左頸動脈のカラードプラ超音波検査では,有意な狭窄のない正常な動脈血流がみられる。
Image courtesy of Hakan Ilaslan, MD.
関連するトピック
超音波検査
>