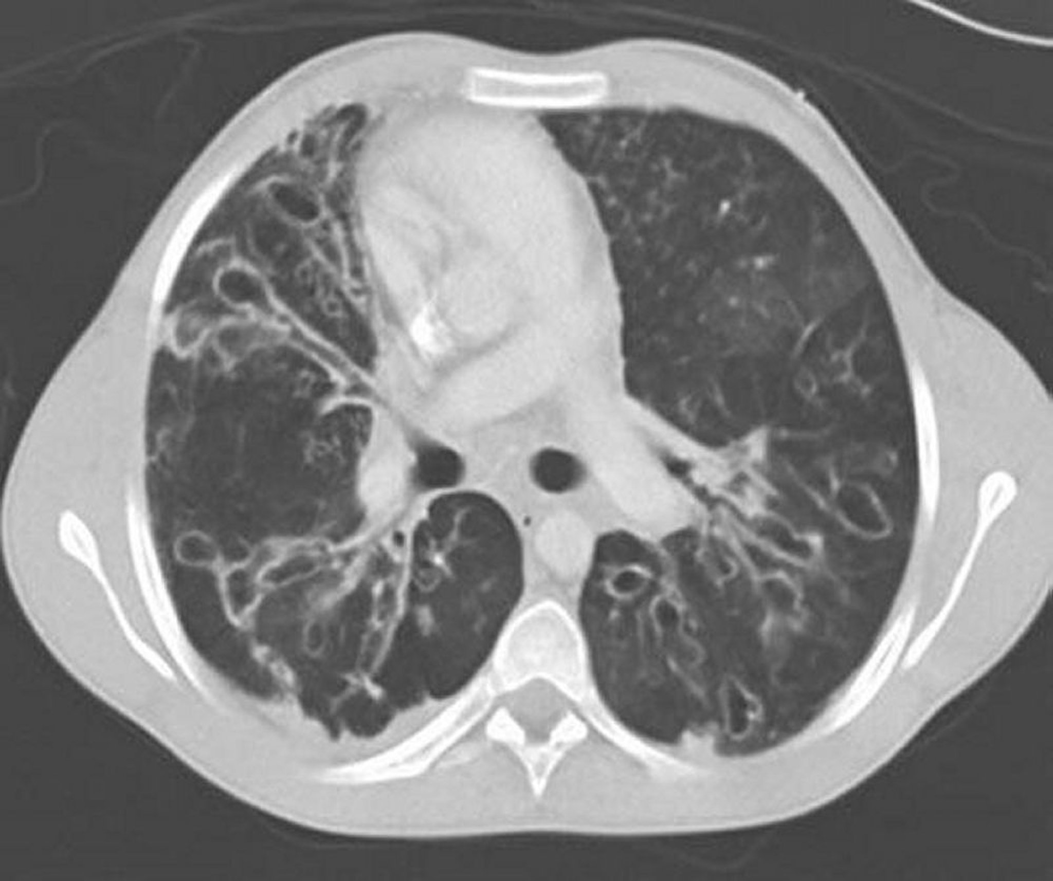
アレルギー性気管支肺アスペルギルス症(気管支拡張症)
胸部造影CTでは中肺野に大きく拡張した気道および嚢胞性変化を伴う重症の気管支拡張がみられる。気道の拡張は,隣接血管に対する気道の比が1を超えることを特徴とする。
By permission of the publisher.From Coakley R, Boucher R, Fiel S, et al.In Bone's Atlas of Pulmonary and Critical Care Medicine.Edited by J Crapo.Philadelphia, Current Medicine, 2005.
関連するトピック
