くも膜下出血
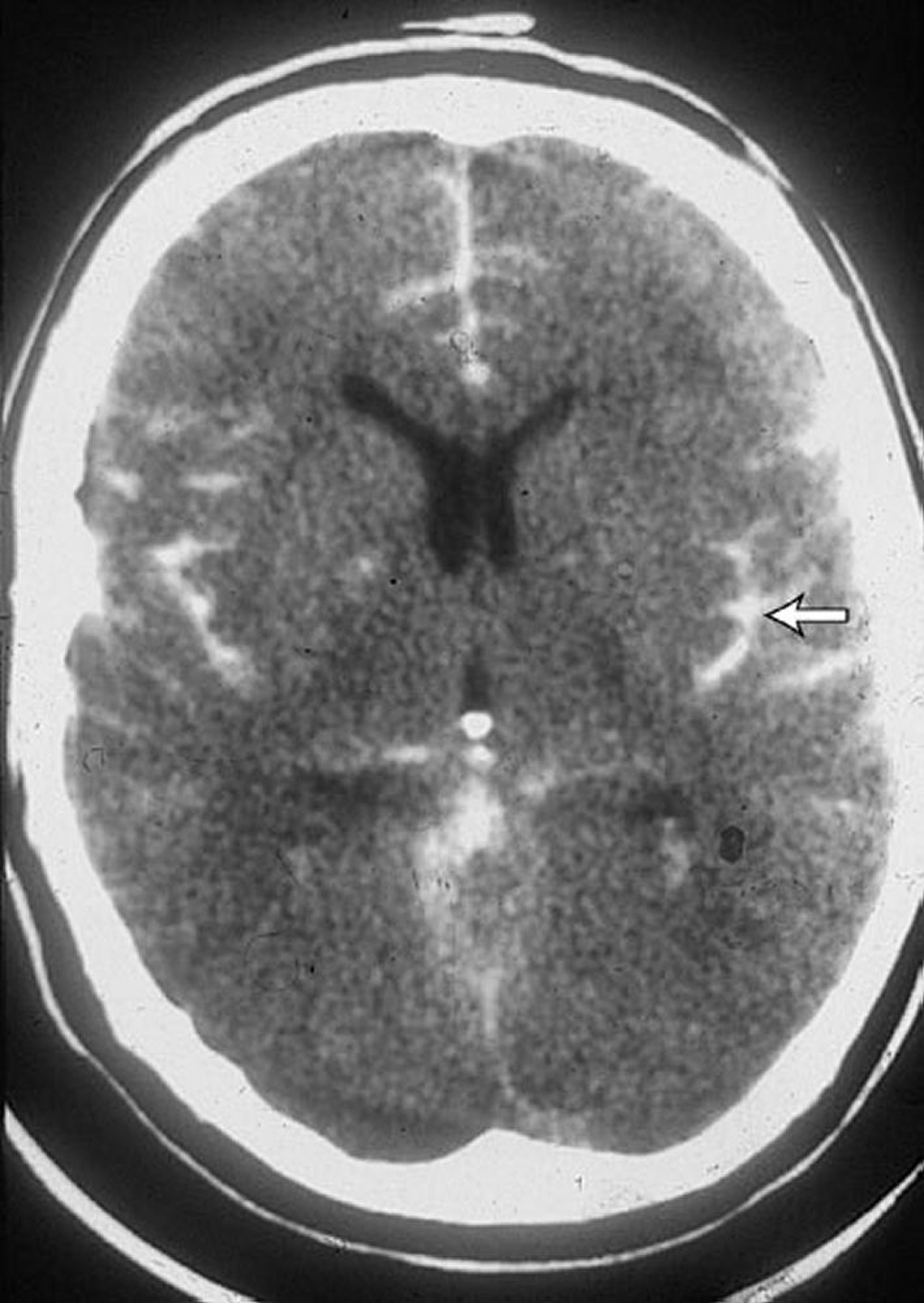
これはくも膜下出血患者のCTであり,脳溝内に血液がみられる(矢印)。血液はしばしば脳室内にもみられる。
By permission of the publisher.From Lenaerts M, Couch J.In Atlas of Clinical Neurology.Edited by RN Rosenberg.Philadelphia, Current Medicine, 2002.
関連するトピック
これはくも膜下出血患者のCTであり,脳溝内に血液がみられる(矢印)。血液はしばしば脳室内にもみられる。
By permission of the publisher.From Lenaerts M, Couch J.In Atlas of Clinical Neurology.Edited by RN Rosenberg.Philadelphia, Current Medicine, 2002.