この脳のT1強調矢状断像には,正常な正中線の構造が示されている。
Image courtesy of Hakan Ilaslan, MD.
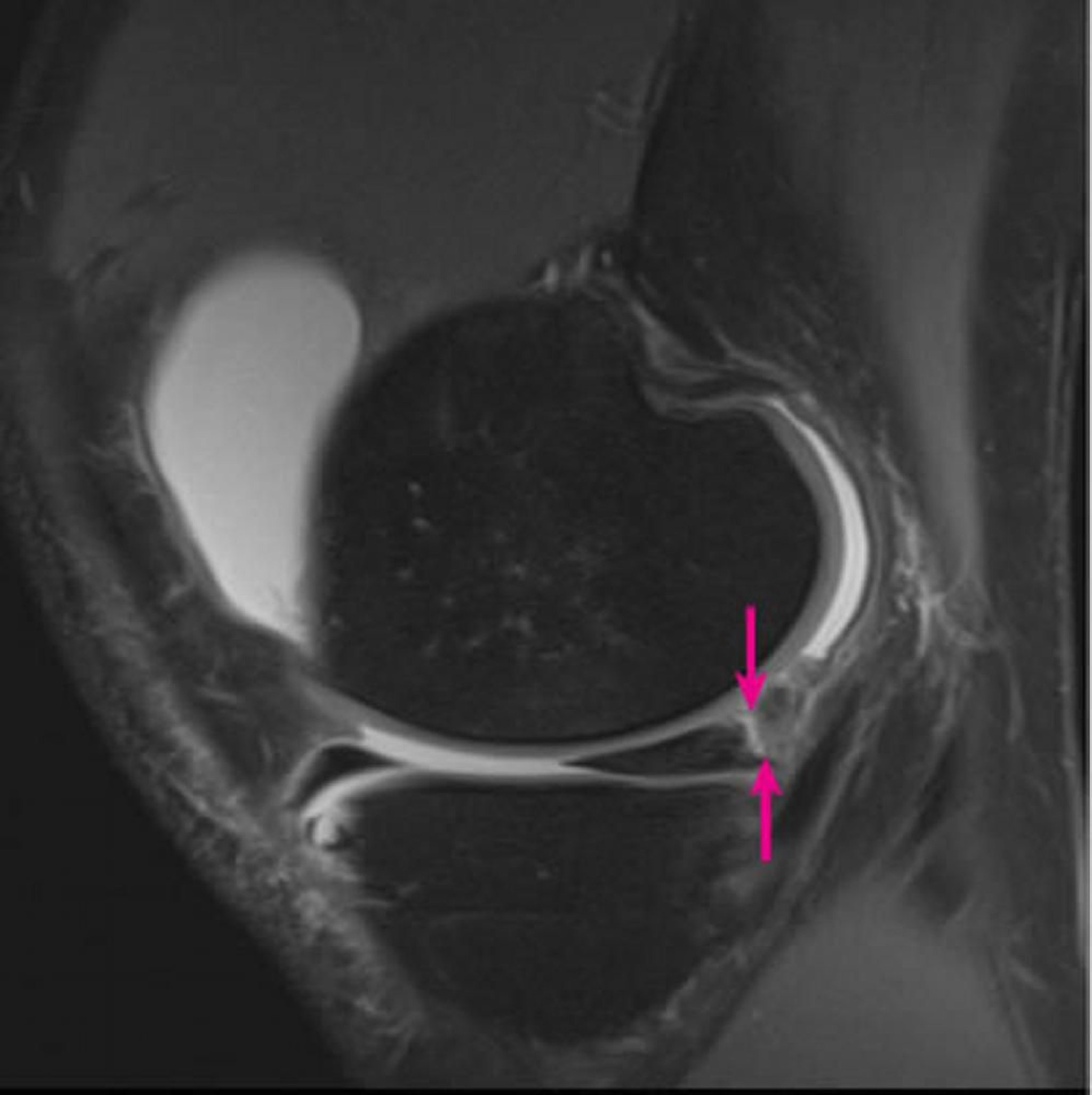
この右膝関節の3テスラMRIプロトン密度強調矢状断像では,内側半月後角でmeniscocapsular separation(矢印)が認められる。
Image courtesy of Hakan Ilaslan, MD.
Image courtesy of Hakan Ilaslan, MD.
MRIは,磁場およびラジオ波を用いて組織の薄層画像(断層画像)を作成する。正常では,組織内のプロトンは回転し,ランダムに配列した小さな磁場を生み出している。MRI装置の強力な磁場に囲まれると,磁気軸は磁場に沿って整列する。そこでRFパルスが印加され,高エネルギー状態の多くのプロトンの軸が,磁場と垂直方向に一時的に整列する。パルスの後,プロトンがMRI装置の磁場内部で緩和して元の配置に戻る。この配置に戻る際(T1緩和)およびその過程においてプロトンが揺れる(歳差運動)(T2緩和)際のエネルギー放出の大きさおよび速度が,MRI装置内に備えつけられたコイル(アンテナ)により,空間的に位置が同定された信号強度として記録される。コンピュータアルゴリズムがこの信号を分析し,詳細な解剖学的画像を作成する。
MRI画像における組織の相対的な信号強度(明るさ)は,以下のものなどの因子によって決まる:
撮像に用いられるRFパルスおよび勾配波形
それぞれの組織固有のT1およびT2特性
それぞれの組織のプロトン密度
RFパルスおよび勾配波形を制御することで,コンピュータプログラムが特定のパルスシーケンスを生み出し,これによってどのように画像を取得(強調)するか,および様々な組織がどのように見えるかが決まる。画像には以下のものがある:
T1強調像
T2強調像
プロトン密度強調像
例えば,脂肪はT1強調像では明るく(信号強度が高く),T2強調像では比較的暗く(信号強度が低く)見える;水および液体はT1強調像では比較的暗く,T2強調像では明るく見える。T1強調像は,正常軟部組織の解剖および脂肪を示すのに最適である(例,脂肪を含有する腫瘤の確認のため)。T2強調像は,液体および異常(例,腫瘍,炎症,外傷)を示すのに最適である。臨床では,T1強調像およびT2強調像から相補的な情報が得られるため,異常の特徴を示すには両方が重要である。
最近導入された高分解能MRIにより,画像の質と診断精度が向上しており,組織や腫瘍をより詳細に検討できる追加のパルスシーケンスとして様々なものが導入されている。
MRIの使用
軟部組織のコントラスト分解能が非常に細かいものである必要がある場合(例,頭蓋内または脊髄の異常,炎症,外傷,筋骨格系の腫瘍の疑い,または関節内の障害を評価する際),CTよりもMRIが好まれる。以下の場合にもMRIが有用である:
血管画像検査:MRアンギオグラフィー(MRA)は,診断精度の高い動脈画像を得るために用いられ,また従来の血管造影に比べて侵襲性が低い。ときにガドリニウム造影剤が用いられる。MRAは,胸部および腹部大動脈,ならびに脳,頸部,腹部臓器,腎臓,および下肢の動脈の画像撮影に使用できる。静脈撮影(磁気共鳴静脈造影[MRV])では,血栓および形成異常など,静脈の異常の最良の画像が得られる。
肝および胆道の異常:磁気共鳴胆道膵管造影(MRCP)が,非侵襲的で非常に精度の高い胆管および膵管系の撮像法として特に価値が高い。
女性生殖器の腫瘤:付属器腫瘤の特徴をより詳しく示すため,および子宮腫瘍の病期分類のためにMRIによって超音波検査を補助する。
一部の骨折:例えば,MRIで骨減少症患者の股関節骨折の正確な画像が得られる。
骨髄浸潤および骨転移:MRIは,骨シンチグラフィーが陽性でX線所見が正常な患者の評価,および骨髄異常が転移病変か良性病変かを鑑別する上で特に有用である。
MRIはまた,ヨード造影剤に反応するリスクが高い患者において,造影CTの代わりに用いられることもある。
造影剤
MRIでは,血管構造を強調し,炎症および腫瘍の特徴を示すのに役立てるためにしばしば造影剤が用いられる。
最もよく用いられる造影剤はガドリニウム誘導体であり,これはプロトンの緩和時間に影響を及ぼす磁気特性をもつ。関節内構造のMRIでは,希釈したガドリニウム誘導体を関節内に注射することがある。
MRIのバリエーション
拡散強調MRI
信号強度が組織内の水分子の拡散に関連して増減する。この種類のMRIは以下の目的で用いられる:
初期の脳虚血および脳梗塞の検出
脳の白質疾患の検出
膿瘍と嚢胞性腫瘍の鑑別
非小細胞肺癌など様々な腫瘍の病期分類
エコープラナー法
この超高速撮影法(撮像時間が1秒未満)は,脳および心臓の拡散,灌流,および機能画像の撮像に使用される。長所となりうる点としては,脳および心臓の活動を示すことや,モーションアーチファクトが減少することなどがある。しかしながら,特別な技術によるハードウェアが必要であり,従来のMRIに比べて様々なアーチファクトに対する感度が高いため,使用は限られる。
機能的MRI
機能的MRIは,脳の部位毎の活動の評価に用いられる。
最も一般的なタイプでは,非常に高い頻度(例,2~3秒毎)で解像度の低い脳の画像が撮影される。酸化ヘモグロビンの変化を認識し,脳の様々な部位の代謝活性の評価に使用できる。
ときに研究者が被験者に様々な認知課題(例,数学の方程式を解く)を行わせながら機能的MRIを施行するが,そのときに活発な代謝を示す脳の部位が,その特定の課題に最も関与している構造であると考えられている。このように脳機能と解剖を相関させることを脳マッピングと呼ぶ。
機能的MRIは研究と診療の両面で利用できる。診療としては特に,腫瘍や動静脈奇形など頭蓋内の異常に対して手術を予定している患者において運動または言語皮質(切除されると感覚処理,運動機能,または言語処理に障害が生じる皮質領域)のマッピングを行う際に役立つ。てんかん手術の計画にも用いられることが増えてきている。
グラディエントエコー法
グラディエントエコー法は,動きのある血流および髄液の高速撮像(例,MRAにおいて)に使用できるパルスシーケンスである。この手技は迅速なため,患者が息を止める必要がある撮影中(例,心臓,肺,および腹部の構造の撮影)のモーションアーチファクトを低減できる。
磁気共鳴スペクトロスコピー(MRS)
MRSでは,MRIによって得た情報(主に組織の水および脂肪の含有量に基づく)と,核磁気共鳴(NMR)によって得た情報を組み合わせる。NMRにより,組織の代謝物および生化学的異常に関する情報が得られる;この情報は,特定の型の腫瘍と他の異常との鑑別に役立つことがある。
MRエンテログラフィー
MRエンテログラフィーが普及しており,特に小腸の炎症性疾患が判明している小児のフォローアップ検査としてよく用いられている。
MRエンテログラフィーは電離放射線を必要としないため,CTエンテログラフィーとの比較で利点がある。
灌流MRI
灌流MRIは,相対的脳血流の評価法である。以下のものの検出に使用できる:
脳卒中に対する画像検査の際の虚血領域
腫瘍を示唆している可能性がある血管分布が増加した領域
この情報は生検の指標として役立つことがある。
PET(陽電子放出断層撮影)–MRI
PET/MRI は,機能的PETを全身MRIと組み合わせたものである。T1強調像とSTIR(short T1 inversion recovery)画像がしばしば用いられる。この方法は新しく,少数の主要な医療施設でのみ利用できる。
MRIの短所
MRIは比較的高価で,CTよりも撮影に時間がかかり,どこでもすぐに使用できるわけではない可能性がある。
その他の短所には以下に関連する問題などがある:
磁場
患者の閉所恐怖症
造影剤反応
磁場
強力な磁場の影響を受ける可能性がある材料が埋め込まれている患者では,MRIは相対的禁忌である。そのような材料には以下のものがある:
強磁性金属(すなわち,鉄を含む)
磁気作動式または電子制御式の医療機器(例,ペースメーカー,植込み型除細動器,人工内耳)
非強磁性体の電線または材料(例,ペースメーカーの導線,特定の肺動脈カテーテル)
強磁性体は,強磁場により移動して付近の臓器を損傷することがある;例えば,血管クリップが移動すると出血を来すことがある。その材料が留置されてから6週間未満(瘢痕組織形成前)の場合は,移動する可能性がより高い。強磁性体は画像のアーチファクトを引き起こすことがある。
磁気作動式の医療機器は,磁場に曝されると誤作動することがある。
磁場は,あらゆる伝導性の材料に,組織を燃やすのに十分な熱を産生できる強さの電流を引き起こす可能性がある。
特定の装置がMRIに適合するかどうかは,装置の種類,構成部品,および製造業者によって異なる(MRIsafety.comを参照)。植込み型デバイスがある患者は,そうした装置を入れてもMRIが安全であることを検者が確信するまでMRIの磁場に入れるべきではない。また,磁場強度の異なるMRI装置では,材料に与える影響も異なるため,ある装置における安全性は別の装置における安全性を保証しない。
MRIの磁場は非常に強力であり,常時働いている場合がある。それゆえ,検査室入り口の強磁性体の物体(例,酸素ボンベ,金属棒)が高速でマグネットボアに引き寄せられ,その経路にいる人を負傷させる可能性がある。マグネットから物体を引き離す唯一の方法として磁場を消失(クエンチ)させるしかない場合がある。
閉所恐怖症
MRI装置の撮影を行う管は狭い囲まれた空間であり,元々恐怖症または不安症のない患者にさえ閉所恐怖症を誘発する可能性がある。また,一部の肥満患者は台や装置内部の大きさに合わない。大半の不安患者に対して,撮影15~30分前の抗不安薬(例,アルプラゾラムまたはロラゼパム1~2mg,経口)の前投薬が効果的である。
閉所恐怖症患者(または重度の肥満患者)にはサイドが開いているMRIスキャナを使用できる。オープン型MRIで得た画像は,マグネットの磁場の強さによっては閉鎖型スキャナの画像に劣る可能性があるが,通常は診断を下すには十分である。
撮影中には,MRI装置が大きなドンドンという音を発することを患者に注意しておくべきである。
造影剤反応
ガドリニウム造影剤を静注すると,頭痛,悪心,疼痛,および味覚変化のほか,注射部の冷感が生じることがある。
重篤な造影剤反応はまれであり,ヨード造影剤に比べてはるかに頻度が低い。
しかしながら,進行した慢性腎臓病患者の少数で腎性全身性線維症(NSF)が報告されており,これらの症例の大半はGroup Iのガドリニウム造影剤(GBCM)と関連している。NSFはまれであるが生命を脅かす疾患であり,皮膚,血管,および内臓の線維化が生じ,重度の障害または死に至る。Group IのGBCMは米国および欧州ではもはや宣伝されていない(European Medicines Agency, November 2009 press releaseを参照)。
Group IIのGBCMの投与を受けた患者では,高リスク患者であっても,NSFや腎毒性を発症する可能性は極めて低い。American College of RadiologyとNational Kidney Foundationによるコンセンサスステートメントでは,Group IIのGBCMには腎機能スクリーニングは必須ではないと示されている(1)。ガドリニウム造影剤は,必要な場合に限り,可能な限り低用量で使用すべきである。
参考文献
1.Weinreb JC, Rodby RA, Yee J, et al: Use of Intravenous Gadolinium-based Contrast Media in Patients with Kidney Disease: Consensus Statements from the American College of Radiology and the National Kidney Foundation. Radiology 298(1):28-35, 2021.doi:10.1148/radiol.2020202903




