超音波検査では,信号発生器をトランスデューサーと組み合わせて使用する。信号発生器内部の圧電結晶によって電気が高周波の音波に変換し,これが組織内に送られる。組織は音波を様々な程度で散乱,反射,および吸収する。反射されて返ってきた音波(エコー)が電気信号に変換される。コンピュータがこの信号を分析し,画面上に解剖学的画像を表示する。
超音波検査は機器の持ち運びが可能であり,広く利用でき,比較的安価で,安全である。放射線は使用しない。
Procedure demonstrated by Robert Strony, DO, MBA, RDCS, FACEP, Medical Director, Point of Care Ultrasound, Geisinger; Clinical Associate Professor of Medicine, Geisinger Commonwealth School of Medicine; Associate Professor (Adjunct) Lewis Katz School of Medicine, Temple University.
Procedure demonstrated by Robert Strony, DO, MBA, RDCS, FACEP, Medical Director, Point of Care Ultrasound, Geisinger; Clinical Associate Professor of Medicine, Geisinger Commonwealth School of Medicine; Associate Professor (Adjunct) Lewis Katz School of Medicine, Temple University.
Procedure demonstrated by Robert Strony, DO, MBA, RDCS, FACEP, Medical Director, Point of Care Ultrasound, Geisinger; Clinical Associate Professor of Medicine, Geisinger Commonwealth School of Medicine; Associate Professor (Adjunct) Lewis Katz School of Medicine, Temple University.
超音波検査の使用
超音波検査により表層部の増殖および異物(例,甲状腺,乳房,精巣,四肢,および一部のリンパ節における)を同定できる。より深部の構造では,他の組織および密度(例,骨,ガス)により画像が乱れる可能性がある。
超音波検査は,一般的に以下の評価に用いられる:
心臓(心エコー検査):例,弁および房室の大きさの異常を検出するため,および駆出率および心筋ストレインを推測するため(心エコー検査を参照)
胆嚢および胆道:例,胆石および胆道閉塞を検出するため(I肝臓および胆嚢の画像検査:超音波検査を参照)
尿路:例,腎臓の嚢胞(通常は良性)を充実性腫瘤(しばしば悪性)と鑑別するため,または腎臓,尿管,もしくは膀胱において結石などの閉塞やその他の構造的異常を検出するため(泌尿生殖器の画像検査:超音波検査を参照)
女性生殖器:例,卵巣,卵管,または子宮の腫瘍および炎症を検出するため(婦人科腫瘍に関する序論を参照)
妊娠:例,胎児の成長および発育を評価するため,および胎盤の異常(例,前置胎盤―産科患者の評価:超音波検査を参照)を検出するため。
筋骨格系:筋肉,腱,および神経を評価するため。
この写真には超音波で得られた胎児の画像が写っている。
IAN HOOTON/SCIENCE PHOTO LIBRARY
ベッドサイドの超音波検査(ポイントオブケア超音波検査とも呼ばれる)は,診断(例,体液量の状態,低血圧の原因,異物)と治療(例,静脈内カテーテル留置,関節穿刺)の両方を補助する目的で,急性期ケアの場で行われることが増えている。
超音波検査は生検における採取のガイドや静脈内カテーテル留置のために用いられることもある。
ときに,内視鏡または血管カテーテルの先端に取り付けた小さなトランスデューサーを用いて,体内で超音波検査が行われることがある。
超音波検査のバリエーション
超音波の情報はいくつかの方法で表示できる。
Aモード
Aモードは最も単純である;信号がグラフ上にスパイクとして記録される。画面の縦(Y)軸はエコーの振幅を示し,横(X)軸は患者の体内への深度または距離を示す。
この種類の超音波検査は眼科のスキャンに使用される。
Bモード(グレースケール)
Bモードは画像診断で最もよく使用される;信号が2次元の解剖学的画像として表示される。
Bモードは,一般に発育過程の胎児の評価,ならびに肝臓,脾臓,腎臓,甲状腺,精巣,乳房,子宮,卵巣,および前立腺などの臓器の評価のために使用される。
Bモード超音波検査は,鼓動する心臓や拍動する血管などの動きをリアルタイムで表示できるほどに高速である。リアルタイム撮影では解剖学的情報および機能情報が得られる。
Mモード
Mモードは移動する構造の描画に使用される;移動する構造により反射される信号が,縦軸に連続的に表示される波に変換される。
Mモードは主として胎児心拍の評価,および心臓の画像検査,特に弁膜症の評価に用いられる。
ドプラ
ドプラ超音波検査は血流の評価に使用される。これはドプラ効果(動く物体からの反射により音の周波数が変わること)を利用している。動く物体は血中の赤血球である。
音波の周波数の変化を分析することで,血流の方向および速度が測定される:
反射された音波の周波数が送信された音波よりも低ければ,血流はトランスデューサーから遠ざかっている。
反射された音波の周波数が送信された音波よりも高ければ,血流はトランスデューサーに向かってきている。
周波数の変化の大きさは,血流速度に比例する。
反射された音波の周波数の変化が,血流の方向および速度を示す画像に変換される。
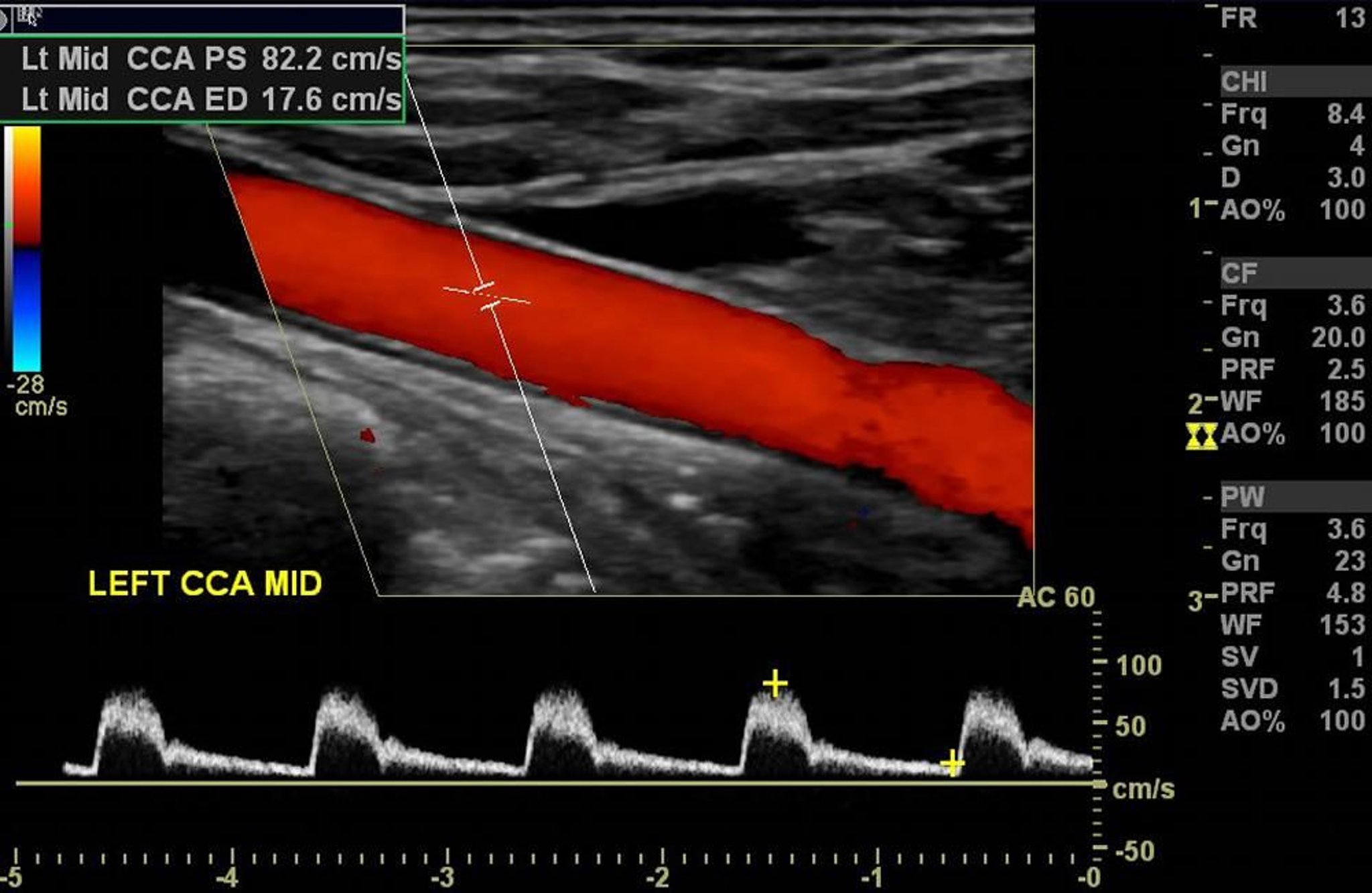
この左頸動脈のカラードプラ超音波検査では,有意な狭窄のない正常な動脈血流がみられる。
Image courtesy of Hakan Ilaslan, MD.
ドプラ超音波検査は以下の目的でも使用される:
スペクトルドプラ超音波検査では,速度を縦軸に,時間を横軸にとったグラフとして血流の情報が表示される。ドプラ入射角(超音波ビームの向きと血流の向きがなす角度)が計測できれば,具体的な速度が測定できる。速度の測定値およびスペクトルドプラ超音波検査の記録の外観によって,血管狭窄の重症度を示せる。
Duplex法によるドプラ超音波検査では,スペクトラルドプラ超音波検査のグラフ表示をBモードの画像と組み合わせる。
カラードプラ超音波検査では,ドプラ法による血流の情報が,血流を色で示したカラー画像に変換される;グレースケールの解剖学的な超音波画像上に表示される。血流の方向は色合いで示される(例,トランスデューサーに向かう血流は赤,トランスデューサーから遠ざかる血流は青)。平均血流速度は色の明るさにより示される(例,明るい赤はトランスデューサーに向かう速い血流を示す;暗い青はトランスデューサーから遠ざかる遅い血流を示す)。
超音波検査の短所
画像の質は操作者の技術に依存する。
過体重の患者では,標的とする構造の明確な画像を得ることが技術的に難しい場合がある。
超音波検査では,骨またはガスを通過する画像は得られないため,状況によっては描出が困難な場合がある。



