意見 同じトピックページ はこちら
肘頭単独骨折は通常,伸ばした手から落ちる転倒または肘関節への直接打撃による。肘頭の剥離骨折は,まれに上腕三頭筋腱が肘頭の一部を引き剥がした際に起こる。
肘頭単独骨折の症状と徴候
患者は肘頭の疼痛,腫脹,および圧痛を呈し,変形がみられることもある。肘関節の伸展は制限されているか不可能である。
肘頭単独骨折の診断
神経血管系の診察
画像検査
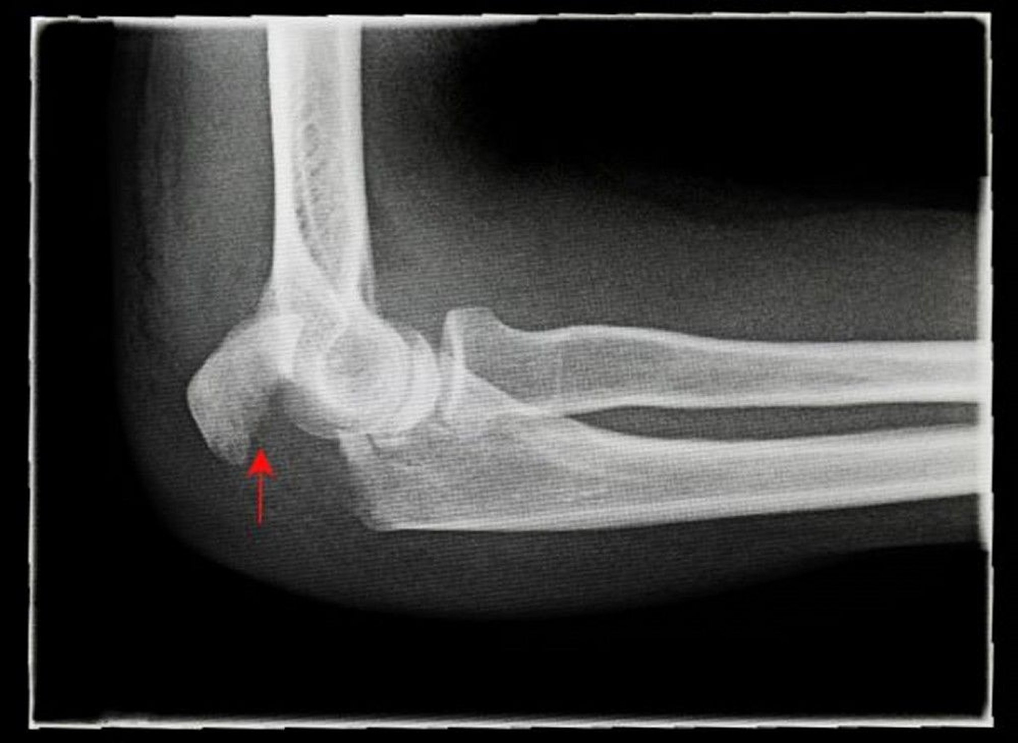
尺骨神経が損傷を受ける可能性があるため,末梢の神経血管の診察が極めて重要である。肘関節の標準的な前後像および側面像で大半の骨折が明らかになり,側面像で最も顕著である。
肘頭骨折
Credit line: ANTONIA REEVE/SCIENCE PHOTO LIBRARY
肘頭単独骨折の治療
手術
後面の長上肢副子
抗菌薬および整形外科医のコンサルテーション(開放骨折の場合)
転位および/または粉砕の重症度がより高い場合は,通常は外科的管理が必要となる。Mayo分類は,転位,粉砕および安定性の程度を分類するために一般的に用いられる(1)。大半の症例に対する初期治療は,後面の長上肢副子および綿密な整形外科的フォローアップである。開放骨折は,直ちに抗菌薬の投与と整形外科医のコンサルテーションを行って管理すべきである。
治療に関する参考文献
1.Sullivan CW, Desai K: Classifications in brief: Mayo classification of olecranon fractures.Clin Orthop Relat Res 477(4):908–910, 2019.doi: 10.1097/CORR.0000000000000614

Test your KnowledgeTake a Quiz!


