子宮頸管炎は,頸管に生じる感染性または非感染性の炎症である。所見としては,頸管または腟分泌物や頸管の発赤と脆弱性などがみられる。診断は子宮頸部感染症の検査による。腟炎および骨盤内炎症性疾患の感染性の原因がないか検査し,ときに経験的にクラミジアおよび淋菌感染症に対する治療を行う。
急性子宮頸管炎は通常,感染が原因である;慢性子宮頸管炎は通常,感染性ではない。子宮頸管炎が上行し,子宮内膜炎および骨盤内炎症性疾患(PID)の原因となることがある。
子宮頸管炎の病因
急性子宮頸管炎は通常,性感染症が原因である;子宮頸管炎で最も頻度の高い感染性の原因はChlamydia trachomatisであり,次に淋菌(Neisseria gonorrhea)である。その他の原因としては,単純ヘルペスウイルス(HSV),腟トリコモナス(Trichomonas vaginalis),性器マイコプラズマ(Mycoplasma genitalium)などがある。しばしば病原体を特定できないことがある。
腟炎の一部として頸管が炎症を起こすことがあるが,感染は伴わない(例,細菌性腟症,トリコモナス症)。
子宮頸管炎の非感染性の原因には婦人科的手技,異物(例,ペッサリー,バリア式避妊具),化学物質(例,腟洗浄液や避妊用のクリームまたはジェルに含まれるもの),およびアレルゲン(例,ラテックス)などがある。
子宮頸管炎の症状と徴候
子宮頸管炎は症状を起こさないこともある。最も一般的な症状は,帯下および月経間期または性交後の性器出血である。一部の女性では性交痛がみられる。
By permission of the publisher. From Goldfarb A. In Atlas of Clinical Gynecology: Pediatric and Adolescent Gynecology.Edited by M Stenchever (series editor) and AF Goldfarb.Philadelphia, Current Medicine, 1998.
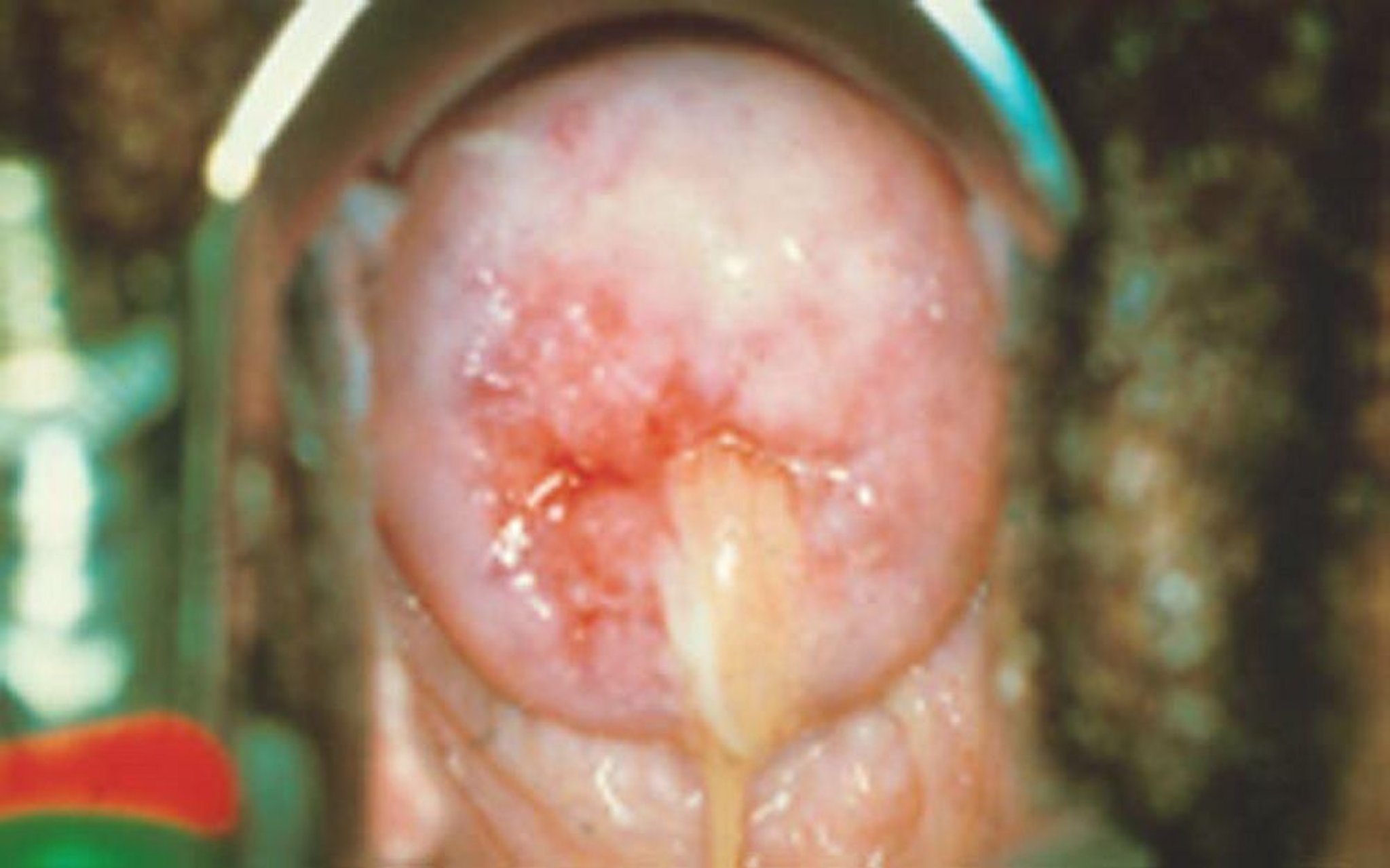
診察所見には,膿性または粘液膿性の分泌物,頸管の脆弱性(例,スワブで頸管を触った後の出血),頸部の発赤および浮腫が含まれる。
子宮頸管炎の診断
子宮頸管炎の治療
通常,クラミジアおよび淋菌感染症に対する治療
特定の臨床状況では,子宮頸管炎を示唆する徴候および症状がみられる患者には,検査結果が出る前であっても,淋菌感染症およびクラミジアに対する経験的治療を行うべきである。これには,患者のフォローアップが不確実な状況(例,救急部門,救急医療施設)や,臨床的に疑いが強く,治療を迅速に行うことが患者に有益となりうる場合が含まれる。治療は以下の通りである:
クラミジア:アジスロマイシン1g,経口,1回,またはドキシサイクリン100mg,経口,1日2回,7日間
淋菌感染症:セフトリアキソンを体重150 kg未満の場合は500mg,筋注,1回または体重150 kg以上の場合は1g,筋注,1回 + アジスロマイシン1g,経口,1回(淋菌[N. gonorrhoeae]のセファロスポリン系に対する耐性出現のため)
微生物学的検査で原因が同定されれば,その後はそれに応じて適切な治療を行う。
原因が単純ヘルペスウイルスである場合,感染症は通常生涯続く。抗ウイルス薬によってこれらの感染症を管理できるが,治癒させることはできない。
治療にもかかわらず,子宮頸管炎が持続する場合は,クラミジアおよび淋菌(N. gonorrhoeae)の再感染を除外すべきであり,可能性のある性器マイコプラズマ(M. genitalium)感染をカバーするためにモキシフロキサシン400mg,経口,1日1回,7~14日間(例,10日間)の経験的治療を開始すべきである。性器マイコプラズマ(M.genitalium)は,子宮頸管炎,骨盤内炎症性疾患,早産,および不妊との関連が報告されており,PCR検査が可能であれば,非淋菌性および非クラミジア性の子宮頸管炎患者でも検討すべきである。
原因が細菌性の性感染症である場合,セックスパートナーの検査を行い,同時に治療すべきである。患者自身および全てのパートナーの感染がなくなるまで,性交を控えるべきである。
再感染が一般的であるため,クラミジアまたは淋菌感染症が確定した全ての患者およびトリコモナス症と診断された全ての患者は治療後3カ月の間に検査を受けるべきである。
要点
急性子宮頸管炎は通常,性感染症が原因であり,PIDに発展することがある。
感染は無症状のことがあり,症状としては帯下ならびに月経間期および性交後の性器出血などがある。
クラミジア,淋菌感染症,細菌性腟症,およびトリコモナス症についての検査を行う。
大半の女性には初診時にクラミジアおよび淋菌感染症の治療を行う。



