不正咬合

執筆者:Bernard J. Hennessy, DDS, Texas A&M University, College of Dentistry
Reviewed ByDavid F. Murchison, DDS, MMS, The University of Texas at Dallas
レビュー/改訂 2024年 1月 | 修正済み 2024年 7月
v1145720_ja
意見 同じトピックページ はこちら

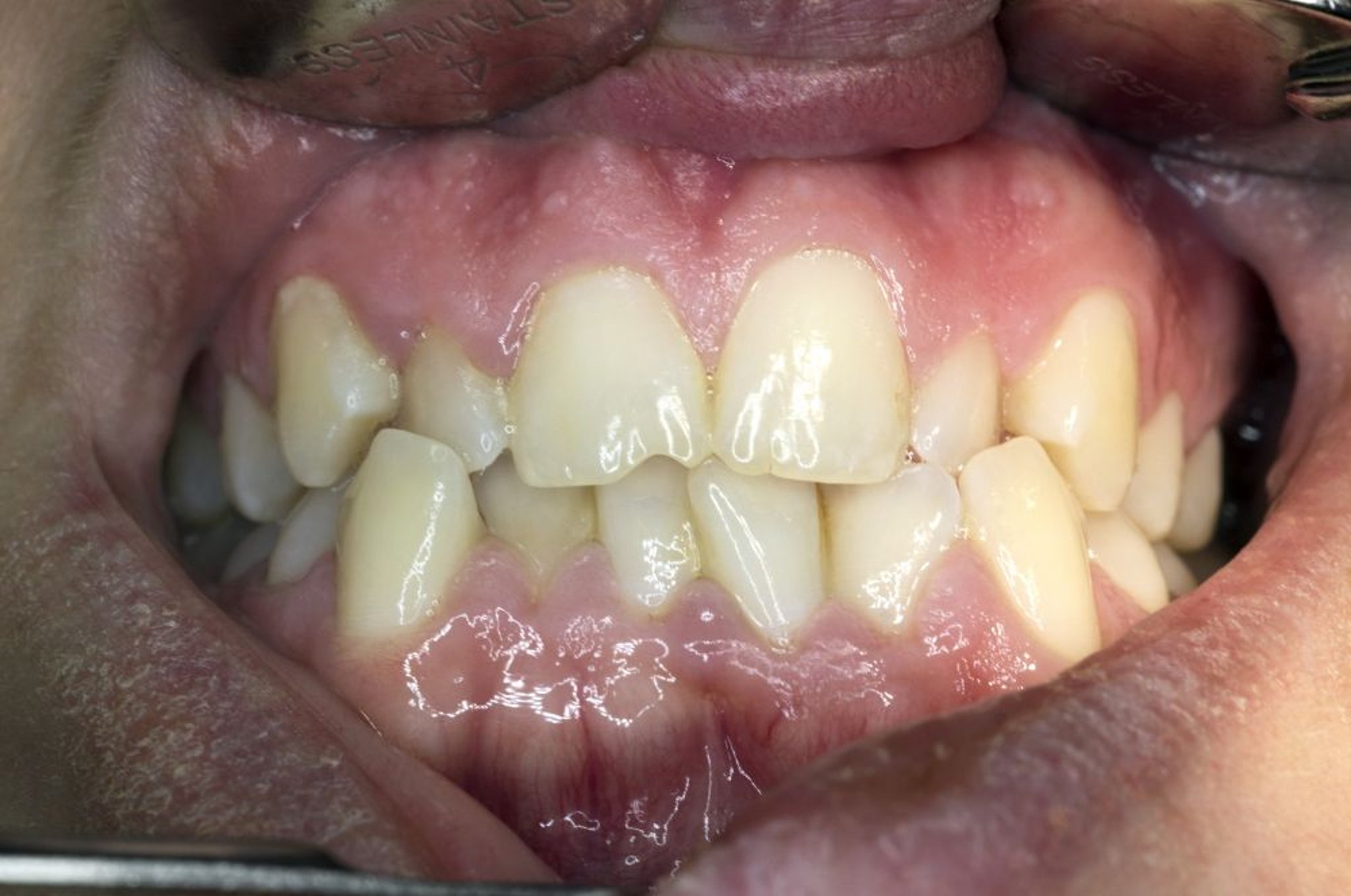
不正咬合とは上下顎の歯の間の異常な接触である。

歯科症状を有する患者の評価も参照のこと。)

通常,上下歯列弓は隣接する歯と接触して列んでいる状態で,滑らかな曲線を形成し,上顎前歯が下顎前歯の上部3分の1を覆っている(の図を参照)。上顎臼歯群の頬側(外側)咬頭は,対応する下顎臼歯群の咬頭の外側に位置している。ほとんどの場合,上顎の第1大臼歯の近心頬側咬頭は下顎第1大臼歯の近心頬側溝と嵌合している。

上顎の歯の外側部分は全て,下顎の歯よりも正常では外側に位置しているため,唇と頬は歯の間から排除され,咬まれることはない。下顎歯列舌側(内側)表面は上顎歯列よりも小さいアーチになっており,舌を閉じ込めて,咬合の際に舌を咬む可能性を最小限に抑えている。全ての上顎歯はその対合の下顎歯と接触するようになっており,それにより咀嚼力(臼歯部で150ポンド = 68kg[1000キロパスカル],睡眠時のクレンチングでは250ポンド = 113kg[1700キロパスカル]を超える)が広く分散される。もしこれらの力が少数の歯だけにかかった場合,最終的にはそれらの歯に動揺もしくは異常な磨耗をもたらすことになる。

永久歯の識別

歯の番号付けにはいくつかの方式があるが,ここに示したのは,米国で最も一般的に用いられているUniversal Numbering Systemである。

(Dental Education Hub: Teeth Names and Numbering Systems: You need to know. May 2020.)

不正咬合の病因

不正咬合の原因としては以下のものがある:

  • 顎と歯のサイズの不適合

  • ある種の口腔習癖(例,母指吸引癖,弄舌癖)

  • 欠損歯

  • 顔面外傷

  • ある種の先天異常

不正咬合はほとんどの場合,顎と歯のサイズの不調和の結果として生じる(すなわち顎が小さすぎ,または歯が顎に対して大きすぎ歯を適切な歯列に収容できない)。母指を吸う,または前歯に舌を押し付ける習癖がある場合は,上顎切歯の前突を徐々に引き起こす。

永久歯を喪失すると,隣在歯が移動し,対合歯が突出するので,これらの動きを阻止するためにブリッジ,インプラント,または局部床義歯(歯科補綴物を参照)により補綴を行わなければ,不正咬合を来すことがある。小児が乳歯を早期に喪失した場合,歯列弓のより遠心の歯または永久歯である第1大臼歯がしばしば前方移動し,他の後継永久歯が萌出するスペースが不十分になる。

顔面の外傷後の不正咬合は,歯の転位および/または歯槽骨もしくは顎の骨折を示唆する。外胚葉異形成症,口蓋裂,またはダウン症候群においては,不正咬合は歯数が少なすぎることが原因で生じる。

不正咬合の評価

  • 身体診察

患者に臼歯を咬み合わせるよう指示し,舌圧子で頬を牽引しつつ両側の咬合をチェックする;患者に咬むように伝えると患者が誤解して切歯同士で咬み合わせることがあり(果物を咬む時のように),これによって臼歯部の咬合が不正に見えることがある。不正咬合は,最初の歯科受診時(1歳時)という早い段階で同定されることがある。早期の同定により,後の処置をより容易かつ効果的に行うことができる。

不正咬合の処置/治療

  • 歯の修正

  • 矯正装置(ブレースまたはアライナー)

  • ときに外科的処置

不正咬合は,主として審美的および心理的理由で矯正される。なお,場合によっては,処置を行うことで,歯の齲蝕(歯並びを整えることによってうまく清掃できるようになる),前歯破折,さらに,おそらくではあるが歯周病または口蓋の歯肉喪失に対する抵抗性が増す。処置は発語および咀嚼も同様に改善しうる。歯を適切に配列させ,早期に接触する歯や修復物を選択的に削合し,また咬合平面下に位置する歯面をクラウンまたはオンレーで修復することによる咬合挙上で,咬合を改善できる。

ブレース(金属製の歯科矯正装置)は,軽度の力を持続的に歯に加え,周囲の歯槽骨を徐々に改変する。1本以上の永久歯の抜去(通常第1小臼歯)が,残存歯を再配列,または安定した歯列へと萌出させるために必要な場合がある。歯並びを整えた後,患者は固定式保定装置(歯の裏側に接着するワイヤー)または可撤式保定装置のいずれかを装着する。可撤式保定装置は,プラスチックおよびワイヤー製または真空成形したプラスチック製であり,当初は1日24時間,その後は夜間のみ2~3年間装着する。

アライナーは一連の透明なプラスチック製の装置で(保定装置と類似),徐々に歯を動かすために特定の順序で使用する(アライナー1枚につき最大0.3mm)。ずれている歯列が矯正されるまで,各アライナーを約2週間装着した後に新しいアライナーに交換する。従来のブレースと同様に,歯が元の位置へ移動するのを防ぐために,保定装置を用いる。

歯科矯正処置だけでは不十分な場合,不正咬合の一因となる顎の成長異常の外科的矯正(顎矯正手術)の適応となる。

quizzes_lightbulb_red
Test your KnowledgeTake a Quiz!
iOS ANDROID
iOS ANDROID
iOS ANDROID