齲蝕

執筆者:Bernard J. Hennessy, DDS, Texas A&M University, College of Dentistry
Reviewed ByDavid F. Murchison, DDS, MMS, The University of Texas at Dallas
レビュー/改訂 修正済み 2024年 11月
v949981_ja
意見 同じトピックページ はこちら

齲蝕は歯の崩壊であり一般的に虫歯と呼ばれている。刺激痛や歯痛といった症状は後になって現れる。診断は,視診,先端の鋭い金属製の器具である探針を用いたエナメル質表面の診査,および歯科X線に基づく。処置として,罹患した歯の組織の除去と種々の材料による修復を行う。フッ素,入念な口腔衛生,シーラント,および適切な食事によりほぼ全ての齲蝕の予防が可能である。

齲蝕の病因

齲蝕の病因は多因子性かつ動的と表現するのが最良である。多くの齲蝕は,口腔内に日々蓄積していくプラーク(口腔バイオフィルム)に起因する(1)。プラーク内の特定の細菌は炭水化物を発酵させることができ,硬い歯質の脱灰につながる酸を産生する。プラークは最初,細菌,ムチン,死んだ上皮細胞,および食物残渣からできた軟らかく薄い膜で,これは歯の清掃後,約24時間以内に歯の表面に生じる。ミュータンス群(Streptococcus mutans)と呼ばれる一群の細菌は,プラーク内で増殖して齲蝕を引き起こす可能性がある。菌株の中には,他よりも齲蝕発現性があるものがある。最終的に(一般的には72時間後),軟らかいプラークは(主にカルシウムとリン酸塩とともに)石灰化して歯石(硬いプラーク)となり,歯ブラシでは容易に除去できなくなる。

危険因子

齲蝕にはいくつかの危険因子がある:

  • プラークと歯石のコントロール不良

  • 歯質の欠損

  • 食事,特に炭水化物(糖を含む)および強酸性飲食物の頻繁な摂取

  • 口腔内フッ素摂取量の低さ

  • 唾液の特徴(唾液流量の減少[例,薬剤,放射線療法,唾液腺機能不全を引き起こす全身性疾患による],緩衝能,およびpHなど)

  • 遺伝因子

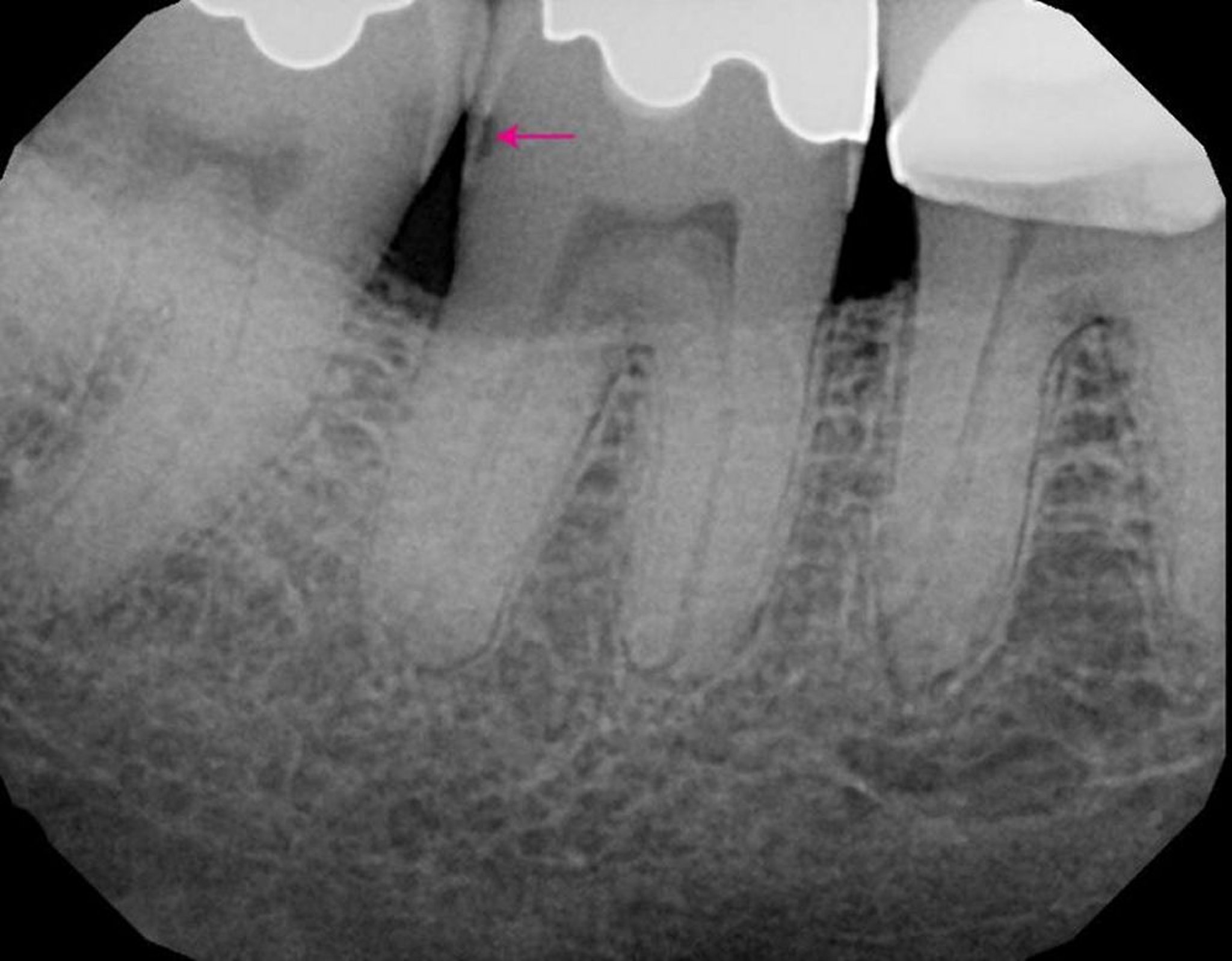
多くの歯には,表面に向かって開放しているエナメル小窩,裂溝があり,それらは表面から象牙質へと及んでいることがある(の図を参照)。これらの凹面部は細菌が寄生するには十分な広さがあるが,効果的な清掃には狭すぎる場合がある。これらは歯の齲蝕の素因となる。

炭水化物や砂糖の頻繁な摂取は,プラークを生成する細菌の増殖を促進する。幼児期における乳歯の重度の齲蝕(ランパントカリエス)の発生は,粉ミルク,牛乳またはジュースへの長時間の接触が考えられ,この典型例は乳児が哺乳瓶をもったまま就寝する場合である(乳児齲蝕,または哺乳瓶齲蝕)。したがって就寝時の哺乳瓶には水のみを入れるべきである。

歯の表面の石灰化が不十分,フッ素への曝露が少ない,および/または酸性環境にある場合,齲蝕に罹患しやすくなる。通常は,歯のpHが5.5を下回ると脱灰が始まる。この状況は,乳酸を産生する細菌が定着した場合か,ソフトドリンク,スポーツドリンク,またはエナジードリンク(いずれも一般的にpH5.5未満)を飲んだ場合に生じる。

高齢者はしばしば唾液流量を減少させる薬剤を服用し,このことが齲蝕の素因となる。また,高齢者は歯肉の退縮と歯根面の露出,および手の運動能力低下(これにより良好な口腔衛生を維持できない)のため,根面齲蝕の発生率が高い。

齲蝕の種類

合併症

未治療の齲蝕は,歯質の崩壊,感染,抜歯につながり,補綴治療が必要となる。小児の齲蝕は,乳歯の早期喪失とそれに伴う隣在歯の偏位につながり,後続永久歯の萌出の妨げになる可能性がある。

参考文献

  1. 1.Wong A, Subar PE, Young DA.Dental caries: An update on dental trends and therapy.Adv Pediatr 64(1):307-330, 2017. doi: 10.1016/j.yapd.2017.03.011

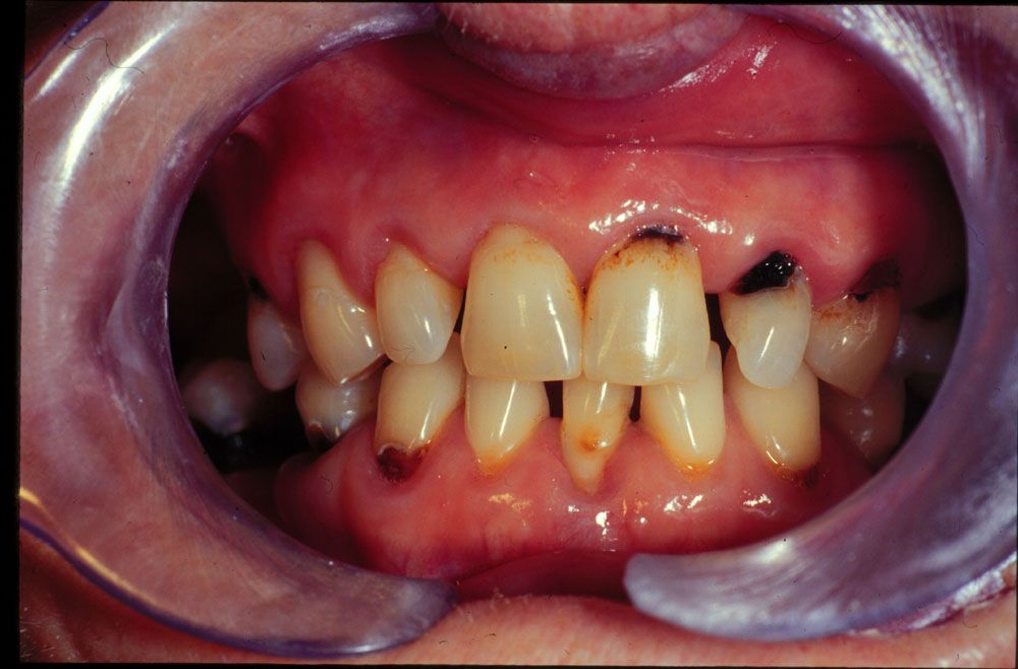
齲蝕の症状と徴候

齲蝕は当初エナメル質のみに限局し,無症状である。象牙質に達する齲蝕は,最初は熱い,冷たい,または甘い食べ物や飲み物が歯に触れると痛みが生じ,後には噛んだり叩いたりすると,疼痛を生じる。歯髄への齲蝕浸潤が重度になると(歯髄炎),疼痛は強烈で持続性となる。

齲蝕の診断

  • 直接視診と歯科用探針の慎重な使用

  • 定期的な歯科X線検査

  • ときに特殊な補助検査

定期的かつ頻繁な臨床的評価(歯科医師により評価された患者の齲蝕のリスクに応じて3~12カ月毎)を行えば,早期に齲蝕を同定し,最小限の介入で進行を阻止できる。細い探針,ときに特別な色素,および光ファイバーによる透視法が用いられ,まれではあるが,電気伝導度,レーザーの反射率,または透過光の変化によって齲蝕を検出する新しい装置もそれらを補完するものとして使用されている(近赤外線を用いた装置の使用を含む)。しかしながら,X線検査は依然として齲蝕の発見と進行度の判定,および既存の修復物の下にある齲蝕の同定に最も重要な役割を果たす。

齲蝕の処置

  • 修復治療

  • ときに根管治療と歯冠補綴

歯の再石灰化

初期齲蝕(患部はエナメル質に限局)のある歯の再石灰化は通常,ホームケア(ブラッシングとデンタルフロス)の改善,頻回の口腔清掃,高濃度フッ素添加歯磨剤の処方,および歯科医院での複数回のフッ素塗布によって試みられる(1)。エナメル質に限局した初期の齲蝕病変はレジン浸潤で治療することもある(2)。

カルシウムとリン酸塩のみを含有する再石灰化用の外用剤は,フッ素よりも効果が低い。フッ化ジアンミン銀(SDF)により,齲蝕病変の進行抑制および再石灰化が可能である(3)。ただし,大半のSDFは齲蝕を永続的に黒く染めるため,一般に乳歯にのみ使用される。

歯の修復

象牙質に及ぶ齲蝕の基本的な処置は切削器具による病変の機械的除去とその結果生じた窩洞の充填である。

齲蝕の処置に用いる修復材は,齲蝕病変の部位と大きさによって異なる。咀嚼圧に耐える臼歯部の咬合面には,以下のような強度の高い材料を充填しなければならない:

  • 銀アマルガム

  • コンポジットレジン

  • 強化型グラスアイオノマー

銀アマルガムは,銀,水銀,,錫,およびときとして亜鉛,パラジウム,またはインジウムの合金である。アマルガムは安価であり,平均14年もつ。しかし,口腔衛生の徹底と,ラバーダム装着により唾液による汚染をコントロールして処置すれば,多くの場合,アマルガム充填は40年以上も機能することが可能である。一般に,アマルガム修復はコンポジットレジン修復よりも寿命が長く二次齲蝕に対する抵抗性が高い(4)。

アマルガム以外の歯科材料の使用に向かう傾向がみられる(5)。アマルガムの使用は,いくつかの理由から減少している:

  • 審美的な結果がコンポジットレジンやグラスアイオノマーほど満足できる水準にない。

  • コンポジットレジンの耐久性が改善されている。

  • 最新の歯学教育カリキュラムには,一般的にアマルガム以外の修復材の使用が盛り込まれている。

  • アマルガムに含まれる水銀の除去および廃棄に関する環境的な問題が考慮されることが増えてきている。

「水銀中毒」について懸念が上がっているが,血中の水銀濃度はアマルガム充填の数と相関しない。費用,歯質へのダメージ,実際に患者の水銀への曝露を増加させること,およびアマルガムに含まれる水銀の環境中への拡散を防ぐためにアマルガム分離装置の使用を必要とするという点から,アマルガムを除去し新たに充填し直すことは推奨されていない。

より自然な外観を呈するコンポジットレジンは,審美性が重要視され咬合圧が少ない前歯に対して,長年にわたり使用されている。臼歯部にもコンポジットレジン修復を望む患者も多く,現在では,一般的に臼歯部にも使用されている。初期のコンポジットレジンは,咬合圧が大きい部位での寿命がアマルガムの半分以下で,二次齲蝕を引き起こす可能性があった;これはコンポジットレジンが硬化時に収縮し,天然歯やその他の充填材料と比較して温度変化による膨張と収縮が大きいことに起因する。現在のコンポジットはエナメル質により近似した硬度をもち,初期のコンポジットに比べると二次齲蝕の発生率の点で向上がみられ,充填物としての寿命も長くなっているとされている。接着型コンポジットレジンを用いた修復は,アマルガム修復での窩洞形成よりも歯質の保存が可能となる。

歯に類似した色調をもつグラスアイオノマーは充填されるとフッ素を徐放し,これは齲蝕に罹患しやすい患者にとって有益である。この材料は過剰な歯磨きによってできた歯のダメージの修復にも使用される。グラスアイオノマーはコンポジットより審美性は劣り,磨耗率が高いため咬合面には使用すべきではない。レジン添加型グラスアイオノマー材料も使用可能であり,従来のグラスアイオノマーと比較して,審美性がある程度改善されている。

齲蝕により,全体または部分的に覆う修復物の支持に必要な量の健康象牙質が残らない場合には,象牙質が喪失した部分にセメント,アマルガム,コンポジット,またはその他の材料で支台を作製する。歯冠部の象牙質を補う金,銀,またはコンポジットコアをサポートするために,ときにポストを根管に挿入する場合がある。この処置には開口部を歯に設け,歯髄組織の除去を必要とする根管充填を行うことが前提となる。根管内を徹底的に清掃形成後,ガッタパーチャを充填する。次に,歯冠外側表面(エナメル質が存在していた部分)を切削し,補綴物(通常は金属,ポーセレンまたはセラミックで作製)を装着できるようにする。前歯に対する補綴物(クラウン・冠・被せ物)はポーセレンもしくはセラミックで作製される。

治療に関する参考文献

  1. 1.Wong A, Subar PE, Young DA.Dental caries: An update on dental trends and therapy.Adv Pediatr 64(1):307-330, 2017. doi: 10.1016/j.yapd.2017.03.011

  2. 2. Bourouni S, Dritsas K, Kloukos D, Wierichs RJ.Efficacy of resin infiltration to mask post-orthodontic or non-post-orthodontic white spot lesions or fluorosis - a systematic review and meta-analysis. Clin Oral Investig 2021;25(8):4711-4719.doi:10.1007/s00784-021-03931-7

  3. 3.Fontana M, Gonzalez-Cabezas C.Evidence-Based Dentistry Caries Risk Assessment and Disease Management. Dent Clin North Am 2019;63(1):119-128.doi:10.1016/j.cden.2018.08.007

  4. 4.Moraschini V, Fai CK, Alto RM, et al.Amalgam and resin composite longevity of posterior restorations: A systematic review and meta-analysis.J Dent 43(9):1043-1050, 2015. doi: 10.1016/j.jdent.2015.06.005

  5. 5.Lamsal R, Estrich CG, Sandmann D, Bartelt K, Lipman RD.Declining US dental amalgam restorations in US Food and Drug Administration-identified populations: 2017-2023. J Am Dent Assoc 2024;155(10):816-824.doi:10.1016/j.adaj.2024.07.015

齲蝕の予防

  • 定期的な歯磨きとデンタルフロスの使用

  • 水道水,歯磨剤,またはその両方へのフッ素添加

  • 専門家による定期的な口腔清掃

  • まれにクロルヘキシジン含嗽とフッ素局所塗布

齲蝕は大半の人にとって予防可能である。最初の齲蝕は10歳代前半から20歳代後半にかけて永久歯にできる。齲蝕が生じやすい人は典型的にはフッ素への曝露が少なく,比較的齲蝕を起こしやすい細菌叢を母親や社会的接触を通じて獲得している。

良好な口腔衛生を維持することが特に重要であり,食事因子でも,特に砂糖および酸性飲料の摂取量を最小限にして,カルシウムを多く含んだ食事を摂ることが重要である。

通常,歯磨きとデンタルフロスによる,少なくとも24時間毎のプラークの除去は,齲蝕の予防に役立つ。歯の歯肉側3分の1は清掃が最も重要な部分であるが,最も多く磨き残している部分でもある。電動歯ブラシによる2分間の歯磨きが最良であり,通常の軟らかい歯ブラシによる歯磨きでは3分から4分で十分である。過剰な歯磨剤の使用は,特に研磨剤入りのタイプは歯の表面に磨耗を引き起こすことがある。デンタルフロスは各歯間に挿入し,歯の側面に併せて弯曲させ,歯肉縁下まで3回上下させる。非常に細いフロスまたはワックスやポリテトラエチレンでコーティングされたデンタルフロスは,歯の隣接面のコンタクトが強い場合や粗造な充填物のマージンが存在するなどの場合に使用できる。器用さに問題のある患者と歯科矯正処置を受けている患者には,ウォーターフロスの使用を考慮してもよい。

フッ素が歯に取り込まれると,エナメル質は酸による脱灰に対する抵抗性が高くなり,pH上昇時に再石灰化が起こりやすくなる。フッ素添加歯磨剤は全年齢層で使用すべきである。

もし飲料水のフロリデーションが十分でなければ,生後6カ月から16歳までの小児において経口フッ素サプリメントの投与が推奨される。妊婦へのフッ素サプリメントの投与は小児の齲蝕を予防するということは証明されていないため,もはや推奨されていない(1)。

小児用の経口フッ素サプリメントとしては,歯磨剤,液剤(乳児用のスポイトで使用),ジェル,および錠剤がある。局所的なフッ素の吸収を高めるため,口の中で錠剤をなめてから飲み込むようにする。フッ素の投与量は飲料水および食事に含まれるフッ素量,小児の年齢,フッ素添加歯磨剤の使用および/または歯科予防措置中のフッ素使用の有無によって決定しなければならない。過剰なフッ素への曝露は歯のフッ素症の原因となり,軽度から重度の歯の変色を引き起こすことがある。幼児は歯磨剤をブラッシング時に飲み込み,フッ素症を引き起こす可能性があることから,フッ素濃度が低い小児用の歯磨剤を使用すべきである。

上水道のフロリデーションでは,小窩や裂溝齲蝕に対しての予防効果が,平滑面齲蝕に対しての効果よりも劣る。深く狭い小窩や裂溝には,シーラント(エナメル質の表面に強固に接着するレジン材料)を使用して栄養が細菌に到達するのを防ぐことで,細菌の繁殖や酸の産生を減少させる必要がある。

もしこれらの方法で齲蝕の発生が減少しなければ,より集中的な治療法で細菌叢の変化を目指す。齲蝕の処置および小窩や裂溝のシーラント処置に続いて,プラーク中の齲蝕原性細菌を減少させ,S. mutansの齲蝕原性の低い菌株の再増殖を促すために,0.12%クロルヘキシジンの含嗽剤の使用(60秒間,1日2回,2週間)が推奨される。ただし,クロルヘキシジンが齲蝕を減少させる効果については不確かである。 (2)。齲蝕原性の低い菌株による口腔細菌叢の再増殖を促すためには,硬い飴やチューインガムに添加したキシリトール(5分間)を1日3回使用する。さらに,5000ppmの高濃度フッ素添加歯磨剤が処方されることがあり,また歯科医院での局所のフッ素塗布,もしくはカスタムメイドのフッ素入りマウスピースを夜間に装着する場合がある。

重度の齲蝕の既往がある妊婦では,出生前介入により母親から児への齲蝕原性細菌の伝播を減少させ,児における齲蝕の形成を遅らせることができる可能性がある。妊娠中の予防策としては母体の口腔健康状態の改善に重点を置くが,具体的には,砂糖を含む飲食物の制限,フッ素添加歯磨剤での1日2回の歯磨き,デンタルフロスによる毎日の清掃などが挙げられる。これが難しい場合は,分娩後から母親が児の食事の味見(齲蝕の伝播経路として提唱されている)をしなくなる時期まで母親がキシリトールを使用することも可能である。

乳児における乳歯の齲蝕予防のため(萌出後),就寝時の哺乳瓶には水のみを入れるべきである。

予防に関する参考文献

  1. 1.Richards D.No evidence that fluoride supplements taken during pregnancy prevent caries.Evid Based Dent 19(3):73, 2018.doi: 10.1038/sj.ebd.6401320

  2. 2.Walsh T, Oliveira-Neto JM, Moore D.Chlorhexidine treatment for the prevention of dental caries in children and adolescents. Cochrane Database Syst Rev 2015;2015(4):CD008457.Published 2015 Apr 13.doi:10.1002/14651858.CD008457.pub2

要点

  • 齲蝕はプラーク中の細菌により産生される酸によって引き起こされる。

  • 危険因子には,既存歯質欠損部,唾液流量の減少,酸性の口腔内環境,炭水化物と砂糖の頻繁な摂取,フッ素に対する不十分な曝露などが挙げられる。

  • エナメル質に限局した初期齲蝕の処置は,ホームケア(ブラッシングとデンタルフロス)の改善,口腔清掃,高濃度フッ素添加歯磨剤の処方,および歯科医院での複数回のフッ素塗布による再石灰化を試みることがある。

  • 象牙質に及ぶ齲蝕の処置としては,虫歯の部分を切削除去し,欠損部をアマルガム,コンポジットレジン,またはグラスアイオノマーで修復する方法がある。

  • 予防には入念かつ規則的な歯磨き,デンタルフロスの使用,および専門家による口腔清掃がある;歯磨剤中には十分な量のフッ素が含まれているべきであり,飲料水中に含まれていない場合には,小児ではサプリメントとして服用させる。

quizzes_lightbulb_red
Test your KnowledgeTake a Quiz!
iOS ANDROID
iOS ANDROID
iOS ANDROID