ペストはグラム陰性細菌であるペスト菌(Yersinia pestis)によって引き起こされる。症状としては主に重症肺炎または圧痛のある大きなリンパ節腫脹がみられ,高熱を伴い,しばしば敗血症へと進行する。診断は疫学的および臨床的に行い,培養および血清学的検査により確定する。治療はストレプトマイシンまたはゲンタマイシンにより行い,代替薬はフルオロキノロン系薬剤またはドキシサイクリンである。
ペスト菌(Yersinia pestis)(かつてのPasteurella pestis)は,しばしば双極染色性(特にギムザ染色で)を示し,形態が安全ピンに類似することのある短桿菌である。
ヒトで大流行が発生したことがある(例,中世の黒死病,1911年の満州での流行)。
最近でも,ペストの散発的または局地的なアウトブレイクが発生している。
米国では,都市部におけるラットに関連したペストのアウトブレイクは,1924年から1925年にかけてロサンゼルスで発生したのが最後である。それ以降,米国ではヒトペスト症例の90%以上が南西部(特にニューメキシコ州,アリゾナ州,カリフォルニア州,およびコロラド州)の農村または半農村地域で発生している。
1990年代以来,世界の症例の大半がアフリカで発生しており,コンゴ民主共和国とマダガスカルで最も流行している。ペルーも流行国の1つである。過去数年間に発生した症例は,ほぼ全てが大都市ではなく,小さな町や集落や農村に住む人々に発生したものである。
伝播
ペストはまず野生の齧歯類(例,ラット,マウス,リス,プレーリードッグ)に発生し,媒介生物である感染ラットノミによる刺咬を介して齧歯類からヒトに伝播する。ペストは,感染した動物の体液または組織との接触を介して広がることもある。
ヒトからヒトへの伝播は,肺感染症(原発性肺ペスト)の患者に由来する感染性の高い飛沫の吸入によって起こる。
米国の流行地域においては,家庭内のペット,特にネコ(感染した齧歯類を捕食することによって感染する)による感染が数例発生している。ネコからの伝播は,感染ノミによる刺咬を介して起こるか,肺ペストのネコから感染性飛沫を吸入することで起こる。
肺ペストは,実験室での曝露またはバイオテロとして意図的にエアロゾルを撒き散らす行為により感染することもある。
ペストの症状と徴候
ペストには明確に異なる臨床像がいくつかある:
腺ペスト(最も高頻度)
肺ペスト(原発性または続発性)
敗血症ペスト
軽症ペスト
咽頭ペストとペスト髄膜炎はまれな病型である。
腺ペスト
腺ペストは最も頻度が高く,潜伏期間は通常2~5日であるが,数時間から12日までの幅がある。
39.5~41℃の発熱で突然発症し,しばしば悪寒を伴う。脈拍が速く弱くなることがあり,低血圧を来すこともある。
細菌接種部位からの排膿を伴うリンパ節は腫脹し圧痛を伴うようになるが(横痃),これは発熱後しばらくしてから現れる。大腿または鼠径リンパ節が最もよく侵され,腋窩,頸部,または複数部位のリンパ節がそれに続く。典型例では,リンパ節には極度の圧痛と硬結があり,その周囲には著明な浮腫が生じる。2週目にはリンパ節が化膿することがある。患部の皮膚は平滑で発赤するが,熱感はないことが多い。
ノミの刺咬部位に原発性皮膚病変(丘疹,膿疱,潰瘍,または痂皮)が形成されることがある。
患者は不穏,せん妄,錯乱を来し,協調運動が障害される。肝臓および脾臓が腫大することがある。
起因菌は血流を介して他の部位へ伝播できるため,腺ペストは血行性(続発性)の肺ペストを併発することがある。
腺ペスト患者の無治療での致死率は約60%であるが(1),死亡例の大半は3~5日以内に敗血症により発生する。
横痃(圧痛を伴う硬化したリンパ節腫大)は,ペスト菌(Yersinia pestis)の感染によって引き起こされる。この写真には大腿部の横痃が写っている。
横痃(圧痛を伴う硬化したリンパ節腫大)は,ペスト菌(Yersinia pestis)の感染によって引き起こされる。この写真には大腿部の横痃が写っている。
Image courtesy of Drs. Margaret Parsons and Karl F.Meyer via the Public Health Image Library of the Centers for Disease Control and Prevention.
横痃(圧痛を伴う硬化したリンパ節腫大)は,ペスト菌(Yersinia pestis)の感染によって引き起こされる。この写真には腫脹した鼠径部の横痃が写っている。
横痃(圧痛を伴う硬化したリンパ節腫大)は,ペスト菌(Yersinia pestis)の感染によって引き起こされる。この写真には腫脹した鼠径部の横痃が写っている。
Image courtesy of the Public Health Image Library of the Centers for Disease Control and Prevention.
横痃(圧痛を伴う硬化したリンパ節腫大)は,ペスト菌(Yersinia pestis)の感染によって引き起こされる。この写真には腋窩の横痃が写っている。
横痃(圧痛を伴う硬化したリンパ節腫大)は,ペスト菌(Yersinia pestis)の感染によって引き起こされる。この写真には腋窩の横痃が写っている。
Image courtesy of Drs. Margaret Parsons and Karl F.Meyer via the Public Health Image Library of the Centers for Disease Control and Prevention.
肺ペスト
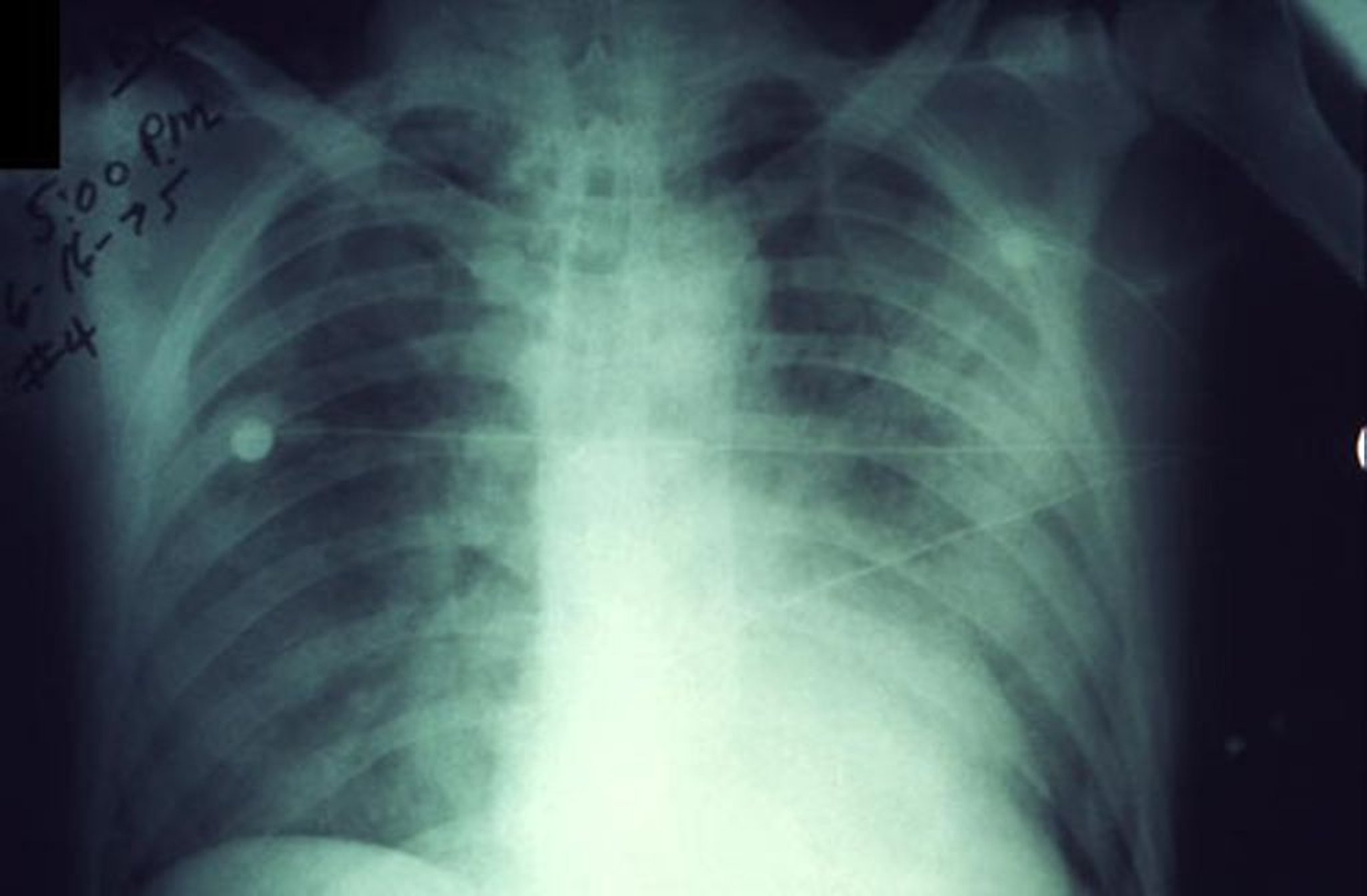
原発性肺ペストは,2~3日の潜伏期に続いて高熱,悪寒,頻脈,胸痛,および頭痛で突然発症し,しばしば重症となる。咳嗽は(初期には目立たないが)24時間以内に出現する。痰は当初粘液状であるが,すぐに斑状の血液がみられるようになり,やがて一様なピンク色または明赤色(ラズベリーシロップに似る)を呈する泡沫状となる。頻呼吸および呼吸困難がみられるが,胸膜性胸痛はない。硬化の徴候はまれであり,ラ音が聴かれないこともある。
胸部X線では,当初は大葉性肺炎がみられ,その後は濃い浸潤影(consolidation)と同側肺の他領域または対側肺への気管支肺炎の進展がみられる。
無治療の原発性肺ペストはほぼ常に死に至り(1),発症から24時間以内に治療を開始しない場合の死亡リスクは依然として有意に高い。
続発性肺ペストは,原発性のものよりよくみられ,横痃やその他の感染巣から病原体が血行性に播種して起こる。
敗血症ペスト
敗血症ペストは,急性かつ劇症の疾患として生じ,腺ペストを伴う場合と腺ペストを伴わない場合(原発性敗血症ペストと呼ばれる)がある。
多くの患者で腹痛がみられ,これはおそらく腸間膜リンパ節腫脹に起因する(2)。一部の患者には下痢がみられる。最終的には播種性血管内凝固症候群,四肢の壊疽(これが黒死病という名称の由来である),および多臓器不全が発生する。
敗血症ペストでは,腺ペストまたは肺ペストの臨床像が主体となる前に死に至ることがある。
軽症ペスト
軽症ペスト(pestis minor)(腺ペストの良性型)は,通常は流行地域のみで発生する。
リンパ節炎,発熱,頭痛,および極度の疲労は1週間以内に治まる。
症状と徴候に関する参考文献
1.Prentice MB, Rahalison L.Plague. Lancet.2007;369(9568):1196-1207.doi:10.1016/S0140-6736(07)60566-2
2.Hull HF, Montes JM, Mann JM.Plague masquerading as gastrointestinal illness. West J Med.1986;145(4):485-487.
ペストの診断
染色,培養,血清学的検査,およびPCR検査
治療が遅れれば遅れるほど,死亡率が有意に上昇していくため,ペストは迅速な診断が重要である。
診断は,典型的には横痃の穿刺吸引(外科的排膿では菌の播種を招く可能性がある)による検体の染色および培養によるが,血液および喀痰培養も行うべきである。
その他の検査として,蛍光抗体染色と血清学的検査があり,抗体価が16倍を超えるか,急性期と回復期で4倍の上昇を認める場合を陽性とする。可能であれば,PCR検査で診断に至る(1)。
予防接種歴があってもペストを除外することはできず,予防接種を受けた個人でも臨床的な感染が起こることがある。
検体の適切な取扱いを確実にし,伝播の可能性を回避するため,ペストが疑われる場合は検査室に情報を提供しておくべきである。ペスト菌(Y. pestis)は生物兵器として使用される可能性があるため,肺ペストが診断または考慮された場合は,関係当局に情報を提供すべきである。
肺の症状または徴候がみられる患者に対しては,胸部X線を施行すべきである(肺ペストでは急速に進行する肺炎像が認められる)。白血球数は通常10,000~20,000/μL(10~20 × 109/L)で,多数の未熟好中球を認める。
予防接種歴があってもペストを除外することはできず,予防接種を受けた個人でも臨床的な感染が起こることがある。
(世界保健機関[World Health Organization:WHO]のWHO guidelines for plague management: revised recommendations for the use of rapid diagnostic tests, fluoroquinolones for case management and personal protective equipment for prevention of post-mortem transmissionおよび米国疾病予防管理センター[Centers for Disease Control and Prevention:CDC]のPlague: CDC Yellow Book 2024も参照のこと。)
診断に関する参考文献
1.Zhang Y, Wang Z, Wang W, Yu H, Jin M.Applications of polymerase chain reaction-based methods for the diagnosis of plague (Review). Exp Ther Med.2022;24(2):511.Published 2022 Jun 14.doi:10.3892/etm.2022.11438
ペストの治療
ストレプトマイシンまたはゲンタマイシン
代替薬はドキシサイクリン,シプロフロキサシン,レボフロキサシン,モキシフロキサシン,またはクロラムフェニコール
抗菌薬が使用される以前(1900~1941年)の米国におけるペスト感染者の致死率は66%であった。1990~2010年までには,抗菌薬治療によりペストの致死率は11%まで低下した(1)。
敗血症ペストまたは肺ペストの場合,腎機能が正常であれば,24時間以内に以下のいずれかによる治療を開始しなければならない(2):
ストレプトマイシン1g,静注または筋注,1日2回
ゲンタマイシン5mg/kg,筋注または静注,1日1回(または2mg/kgの負荷投与に続き,8時間毎に1.7mg/kg)
抗菌薬の投与は10日間,または体温正常化の3日後まで継続する。ドキシサイクリン200mg,静注または経口の負荷投与に続いて100mg,静注または経口,12時間毎,14日間が代替治療である。シプロフロキサシン,レボフロキサシン,モキシフロキサシン,およびクロラムフェニコールも効果的である。
他の抗菌薬では十分に移行しない組織の感染症(例,ペスト髄膜炎,ペスト眼内炎)患者に対しては,クロラムフェニコールが推奨される。クロラムフェニコールは,負荷量25mg/kgの静注に続いて12.5mg/kg,静注または経口,6時間毎で投与すべきである(3)。
腺ペスト患者に対しては,ルーチンの隔離予防策で十分である。原発性または続発性肺ペストの患者には,厳格な空気感染隔離と飛沫感染予防策が必要である。
腺ペストまたは咽頭ペストには,敗血症ペストまたは肺ペストの治療に使用される抗菌薬のほかに,ドキシサイクリンを使用することができる。
(米国疾病予防管理センター[Centers for Disease Control and Prevention:CDC]の2007 Guideline for Isolation Precautions: Preventing Transmission of Infectious Agents in Healthcare Settingsも参照のこと。)
治療に関する参考文献
1.CDC: What is the death rate of plague?Accessed March 22, 2024.
2.Nelson CA, Meaney-Delman D, Fleck-Derderian S, et al: Antimicrobial treatment and prophylaxis of plague: Recommendations for naturally acquired infections and bioterrorism response.MMWR Recomm Rep 70(3);1–27, 2021.doi:10.15585/mmwr.rr7003a1
3.Nelson CA, Meaney-Delman D, Fleck-Derderian S, et al.Antimicrobial Treatment and Prophylaxis of Plague: Recommendations for Naturally Acquired Infections and Bioterrorism Response. MMWR Recomm Rep.2021;70(3):1-27.Published 2021 Jul 16.doi:10.15585/mmwr.rr7003a1
ペストの予防
肺ペストでは全ての接触者に対して医学的サーベイランスを実施すべきである。体温測定を4時間毎に6日間行うべきである。それらの接触者に加えて,ペスト肺炎患者の濃厚接触者と感染者の体液および組織に直接触れた接触者にも,以下の経口薬の予防投与を7日間行うべきである(1):
ドキシサイクリン100mg,12時間毎
シプロフロキサシン500mg,12時間毎
8歳未満の小児には,トリメトプリム/スルファメトキサゾール(TMP/SMX)20mg/kg(SMXとして),12時間毎
レボフロキサシンの7日間の服用が代替選択肢である。
ペストワクチン(不活化全菌体ワクチンと弱毒生ワクチン)は米国ではもはや入手できない。
齧歯類を駆除すべきであり,また防虫剤を使用してノミによる刺咬を最小限に抑えるべきである。
予防に関する参考文献
1.World Health Organization: WHO guidelines for plague management: revised recommendations for the use of rapid diagnostic tests, fluoroquinolones for case management and personal protective equipment for prevention of post-mortem transmission. World Health Organization.License: CC BY-NC-SA 3.0 IGO
要点
ペストは非常に感染性の高い生命を脅かす感染症であり,米国では,主に南西部の農村または半農業地域で発生している;世界的には,1990年代以降の大半の症例がアフリカで発生している。
ペストは,圧痛を伴いしばしば化膿性の大きなリンパ節腫脹(横痃),重度の肺感染症,および/または敗血症を引き起こすことがある。
治療が遅れれば遅れるほど,死亡率は有意に上昇していくため,染色および培養による迅速診断が重要である。
肺ペスト患者には厳格な空気感染隔離を適用するが,その他の病型の患者はルーチンの隔離で十分である。
治療はストレプトマイシンまたはゲンタマイシンによるが,許容可能な代替薬として,ドキシサイクリン,シプロフロキサシン,レボフロキサシン,クロラムフェニコールなどがある。
濃厚接触者は注意深くモニタリングし,ドキシサイクリン,シプロフロキサシン,またはレボフロキサシンで予防的治療を行い,小児の場合はTMP/SMXで治療する;ペストワクチンは米国ではもはや入手できない。
より詳細な情報
有用となりうる英語の資料を以下に示す。ただし,本マニュアルはこれらの資料の内容について責任を負わないことに留意されたい。
Centers for Disease Control and Prevention (CDC): Guideline for Isolation Precautions: Preventing Transmission of Infectious Agents in Healthcare Settings (2007)
World Health Organization: Guidelines for plague management: revised recommendations for the use of rapid diagnostic tests, fluoroquinolones for case management and personal protective equipment for prevention of post-mortem transmission
Yersinia属細菌によるその他の感染症
腸炎エルシニア(Yersinia enterocolitica)およびY. pseudotuberculosisは,世界中でみられる人獣共通細菌であり,汚染された食品(最も多いのは生または加熱調理不十分な豚肉製品および無殺菌牛乳または乳製品)や水の摂取または取扱いのほか,ときに動物との接触によって感染する。
腸炎エルシニア(Y. enterocolitica)は,下痢性疾患および臨床的に虫垂炎に類似する腸間膜リンパ節炎の一般的な原因菌である。Y. pseudotuberculosisは,最も一般的には腸間膜リンパ節炎を引き起こすほか,間質性腎炎,溶血性尿毒症症候群,および猩紅熱様疾患の症例における原因として疑われている。どちらの菌種も咽頭炎,敗血症,複数臓器の局所感染,ならびに感染後の結節性紅斑および反応性関節炎を引き起こす。慢性肝疾患または鉄過剰症の患者では,治療を行った場合でも敗血症の致死率が50%に達することがある(1)。
起因菌の同定は,本来は無菌の部位から採取した検体の標準的な培養で可能である。下痢性疾患に対する便培養など,無菌でない検体には選択培養法が必要である。便中にエルシニア(Yersinia)感染が疑われる場合は,特別な培地を使用できるように検査室に報告しておくことが重要である。血清学的検査は可能であるが難しく,標準化もされていない。診断(特に反応性関節炎の診断)には,強い疑いをもつことと,臨床検査室との緊密な連携が必要である。
自然に軽快する疾患であるため,下痢の治療は支持療法となる。敗血症の合併症には,感受性試験の結果に基づき選択したβ-ラクタマーゼ抵抗性抗菌薬が必要である。第3世代セファロスポリン系薬剤,フルオロキノロン系薬剤,およびトリメトプリム/スルファメトキサゾール(TMP/SMX)が推奨される。
予防については,食品の取扱いと調理,家庭内のペット,および疑われるアウトブレイクの疫学的調査に重点を置く。
参考文献
1.Saebø A, Lassen J.Survival and causes of death among patients with Yersinia enterocolitica infection.A Norwegian 10-year follow-up study on 458 hospitalized patients. Scand J Infect Dis.1992;24(5):613-617.doi:10.3109/00365549209054647



